Skip to main content

Proapoptotic Caspase Adaptor Protein Antibody - BSA Free

Novus Biologicals, part of Bio-Techne | Catalog # NBP2-55874

Novus Biologicals, part of Bio-Techne
Catalog #
Availability
Size / Price
Qty
Loading...
NBP2-55874

Key Product Details

Validated by

Orthogonal Validation, Independent Antibodies

Species Reactivity

Human

Applications

Immunohistochemistry, Immunohistochemistry-Paraffin, Western Blot

Label

Unconjugated

Antibody Source

Polyclonal Rabbit IgG

Format

BSA Free

Concentration

Concentrations vary lot to lot. See vial label for concentration. If unlisted please contact technical services.

Product Specifications

Immunogen

This antibody was developed against a recombinant protein corresponding to the following amino acid sequence: TATAPQLDDEEMYSAHMPAHLRCDACRAVAYQMWQNLAKAETKLHTSNSGGRRELSELVYTDVLDRS

Clonality

Polyclonal

Host

Rabbit

Isotype

IgG

Description

Novus Biologicals Rabbit Proapoptotic Caspase Adaptor Protein Antibody - BSA Free (NBP2-55874) is a polyclonal antibody validated for use in IHC and WB. All Novus Biologicals antibodies are covered by our 100% guarantee.

Scientific Data Images for Proapoptotic Caspase Adaptor Protein Antibody - BSA Free

Western Blot: Proapoptotic Caspase Adaptor Protein Antibody [NBP2-55874]

Western Blot: Proapoptotic Caspase Adaptor Protein Antibody [NBP2-55874]

Western Blot: Proapoptotic Caspase Adaptor Protein Antibody [NBP2-55874] - Analysis using Anti-MZB1 antibody NBP2-55874 (A) shows similar pattern to independent antibody NBP1-92287 (B).
Immunohistochemistry-Paraffin: Proapoptotic Caspase Adaptor Protein Antibody [NBP2-55874]

Immunohistochemistry-Paraffin: Proapoptotic Caspase Adaptor Protein Antibody [NBP2-55874]

Immunohistochemistry-Paraffin: Proapoptotic Caspase Adaptor Protein Antibody [NBP2-55874] - Staining of human liver shows no positivity in hepatocytes as expected.
Immunohistochemistry-Paraffin: Proapoptotic Caspase Adaptor Protein Antibody [NBP2-55874]

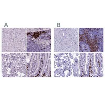
Immunohistochemistry-Paraffin: Proapoptotic Caspase Adaptor Protein Antibody [NBP2-55874]

Immunohistochemistry-Paraffin: Proapoptotic Caspase Adaptor Protein Antibody [NBP2-55874] - Staining of human liver, lymph node, placenta and small intestine using Anti-MZB1 antibody NBP2-55874 (A) shows similar protein distribution across tissues to independent antibody NBP1-92287 (B).

Applications for Proapoptotic Caspase Adaptor Protein Antibody - BSA Free

Application
Recommended Usage

Immunohistochemistry

1:500 - 1:1000

Immunohistochemistry-Paraffin

1:500 - 1:1000

Western Blot

0.04 - 0.4 ug/ml
Application Notes
For IHC-Paraffin, HIER pH 6 retrieval is recommended.

Formulation, Preparation, and Storage

Purification

Affinity purified

Formulation

PBS (pH 7.2) and 40% Glycerol

Format

BSA Free

Preservative

0.02% Sodium Azide

Concentration

Concentrations vary lot to lot. See vial label for concentration. If unlisted please contact technical services.

Shipping

The product is shipped with polar packs. Upon receipt, store it immediately at the temperature recommended below.

Stability & Storage

Store at 4C short term. Aliquot and store at -20C long term. Avoid freeze-thaw cycles.

Background: Proapoptotic Caspase Adaptor Protein

Proapoptotic Caspase Adaptor Protein may be involved in regulation of apoptosis

Alternate Names

caspase-2 binding protein, FLJ32987, HSPC190, marginal zone B and B1 cell-specific protein, MGC29506, PACAP, pERp1, plasma cell-induced ER protein 1, plasma cell-induced resident endoplasmic reticulum protein, Plasma cell-induced resident ER protein, Proapoptotic caspase adapter protein, proapoptotic caspase adaptor protein

Gene Symbol

MZB1

Additional Proapoptotic Caspase Adaptor Protein Products

Product Documents for Proapoptotic Caspase Adaptor Protein Antibody - BSA Free

Certificate of Analysis

To download a Certificate of Analysis, please enter a lot number in the search box below.

Product Specific Notices for Proapoptotic Caspase Adaptor Protein Antibody - BSA Free

This product is for research use only and is not approved for use in humans or in clinical diagnosis. Primary Antibodies are guaranteed for 1 year from date of receipt.

Loading...
Loading...
Loading...
Loading...