Skip to main content

Presenilin-1 Antibody (APS 18)

Novus Biologicals, part of Bio-Techne | Catalog # NB100-74510

Novus Biologicals, part of Bio-Techne
Catalog #
Availability
Size / Price
Qty
Loading...
NB100-74510-50ug
NB100-74510

Key Product Details

Species Reactivity

Validated:

Human, Mouse, Rat, Primate

Cited:

Mouse

Applications

Validated:

Immunohistochemistry, Immunohistochemistry-Paraffin, Western Blot, ELISA, Immunocytochemistry/ Immunofluorescence, Immunoprecipitation

Cited:

Western Blot, ELISA, Immunocytochemistry/ Immunofluorescence, Immunoprecipitation, IF/IHC

Label

Unconjugated

Antibody Source

Monoclonal Mouse IgG1 Clone # APS 18

Concentration

1 mg/ml

Product Specifications

Immunogen

Synthetic peptide corresponding to residues C S(313) K Y N A E S T E R E S Q D T V A E N D D G(334) of humen PS1.

Reactivity Notes

Please note that this antibody is reactive to Mouse and derived from the same host, Mouse. Additional Mouse on Mouse blocking steps may be required for IHC and ICC experiments. Please contact Technical Support for more information.

Localization

Integral membrane protein. Golgi and endoplasmic reticulum. Bound to Notch1 which is also at the cell surface.

Specificity

Presenilin 1 (APS 18)

Clonality

Monoclonal

Host

Mouse

Isotype

IgG1

Description

Novus Biologicals Mouse Presenilin-1 Antibody (APS 18) (NB100-74510) is a monoclonal antibody validated for use in IHC, WB, ELISA, ICC/IF and IP. Anti-Presenilin-1 Antibody: Cited in 5 publications. All Novus Biologicals antibodies are covered by our 100% guarantee.

Scientific Data Images for Presenilin-1 Antibody (APS 18)

Western Blot: Presenilin-1 Antibody (APS 18) [NB100-74510]

Western Blot: Presenilin-1 Antibody (APS 18) [NB100-74510]

Western Blot: Presenilin-1 Antibody (APS 18) [NB100-74510] - Analysis of THP-1 cell lysate.
Immunocytochemistry/ Immunofluorescence: Presenilin-1 Antibody (APS 18) [NB100-74510]

Immunocytochemistry/ Immunofluorescence: Presenilin-1 Antibody (APS 18) [NB100-74510]

Immunocytochemistry/Immunofluorescence: Presenilin-1 Antibody (APS 18) [NB100-74510] - Analysis of Presenilin 1 using Presenilin 1 Monoclonal antibody (APS 18) shows staining in A2058 melanoma cells. Presenilin 1 staining (green), F-Actin staining with Phalloidin (red) and nuclei with DAPI (blue) is shown. Cells were grown on chamber slides and fixed with formaldehyde prior to staining. Cells were probed without (control) or with or an antibody recognizing Presenilin 1 at a dilution of 1:20-1:100 over night at 4C, washed with PBS and incubated with a DyLight-488 conjugated.
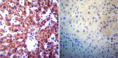
Immunohistochemistry-Paraffin: Presenilin-1 Antibody (APS 18) [NB100-74510]

Immunohistochemistry-Paraffin: Presenilin-1 Antibody (APS 18) [NB100-74510]

Immunohistochemistry-Paraffin: Presenilin-1 Antibody (APS 18) [NB100-74510] - Normal biopsies of deparaffinized Human liver tissue.

Applications for Presenilin-1 Antibody (APS 18)

Application
Recommended Usage

ELISA

1:1000

Immunocytochemistry/ Immunofluorescence

1:50 - 1:200

Immunohistochemistry

1:20 - 1:200

Immunohistochemistry-Paraffin

1:20 - 1:200

Immunoprecipitation

1:10 - 1:500

Western Blot

1:50 - 1:250
Application Notes
IP usage was reported in scientific literatures (PMID: 9852041 and 10092585).

Reviewed Applications

Read 1 review rated 5 using NB100-74510 in the following applications:

Formulation, Preparation, and Storage

Purification

Protein G purified

Formulation

PBS with 1 mg/ml BSA

Preservative

0.05% Sodium Azide

Concentration

1 mg/ml

Shipping

The product is shipped with polar packs. Upon receipt, store it immediately at the temperature recommended below.

Stability & Storage

Store at -20C. Avoid freeze-thaw cycles.

Background: Presenilin-1

Familial Alzheimer's disease is often characterized by an early (<60 years of age) and rapid deterioration of the central nervous system. The symptoms are caused by the abnormal buildup of senile plaques composed of the 42 residue amyloid-beta peptide. This peptide is the result of the amyloid precursor protein being cleaved by the presenilin-gamma-secretase complex. Recent studies have linked mutations in presenilin 1 (PS1) and presenilin 2 (PS2) to a rapid increase in plaque accumulation. PS1 and PS2 are integral membrane proteins that contain 6-8 transmembrane domains and are predominantly localized within the endoplasmic reticulum and Golgi of neurons within the brain. Within the transmembrane regions of PS1 and PS2 there is over 60% homology, with the largest divergence found at the N-terminus and large loop region.

Alternate Names

Presenilin1, PSEN1, S182

Entrez Gene IDs

5663 (Human); 19164 (Mouse); 29192 (Rat)

Gene Symbol

PSEN1

Additional Presenilin-1 Products

Product Documents for Presenilin-1 Antibody (APS 18)

Certificate of Analysis

To download a Certificate of Analysis, please enter a lot number in the search box below.

Product Specific Notices for Presenilin-1 Antibody (APS 18)

This product is for research use only and is not approved for use in humans or in clinical diagnosis. Primary Antibodies are guaranteed for 1 year from date of receipt.

Loading...
Loading...
Loading...
Loading...