Skip to main content

PPP4R2 Antibody

Novus Biologicals, part of Bio-Techne | Catalog # NB100-2877

Novus Biologicals, part of Bio-Techne
Catalog #
Availability
Size / Price
Qty
Loading...
NB100-2877

Key Product Details

Validated by

Biological Validation

Species Reactivity

Validated:

Human, Mouse

Predicted:

Primate (100%). Backed by our 100% Guarantee.

Applications

Immunohistochemistry, Immunohistochemistry-Paraffin, Western Blot, Immunoprecipitation

Label

Unconjugated

Antibody Source

Polyclonal Rabbit IgG

Concentration

0.2 mg/ml

Product Specifications

Immunogen

The immunogen recognized by this antibody maps to a region between residue 370 and the C-terminus (residue 417) of human Protein Phosphatase 4, Regulatory Subunit 2 using the numbering given in entry NP_777567.1 (GeneID 151987).

Reactivity Notes

Orangutan (100%).

Clonality

Polyclonal

Host

Rabbit

Isotype

IgG

Description

Novus Biologicals Rabbit PPP4R2 Antibody (NB100-2877) is a polyclonal antibody validated for use in IHC, WB and IP. Anti-PPP4R2 Antibody: Cited in 2 publications. All Novus Biologicals antibodies are covered by our 100% guarantee.

Scientific Data Images for PPP4R2 Antibody

Western Blot: PPP4R2 Antibody [NB100-2877]

Western Blot: PPP4R2 Antibody [NB100-2877]

Western Blot: PPP4R2 Antibody [NB100-2877] - Detection of Human and Mouse PPP4R2 by Western Blot. Samples: Whole cell lysate (50 ug) prepared using NETN buffer from HeLa, 293T, Jurkat, mouse TCMK-1, and mouse NIH3T3 cells. Antibodies: Affinity purified rabbit anti-PPP4R2 antibody NB100-2877 used for WB at 0.2 ug/ml. Detection: Chemiluminescence with an exposure time of 75 seconds.
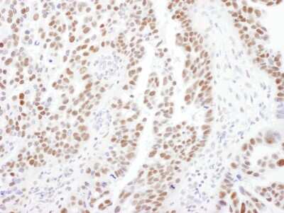
Immunohistochemistry-Paraffin: PPP4R2 Antibody [NB100-2877]

Immunohistochemistry-Paraffin: PPP4R2 Antibody [NB100-2877]

Immunohistochemistry-Paraffin: PPP4R2 Antibody [NB100-2877] - Section of human ovarian carcinoma. Antibody: Affinity purified rabbit anti- PPP4R2 used at a dilution of 1:200 (1ug/ml). Detection: DAB
Immunoprecipitation: PPP4R2 Antibody [NB100-2877]

Immunoprecipitation: PPP4R2 Antibody [NB100-2877]

Immunoprecipitation: PPP4R2 Antibody [NB100-2877] - Detection of human PPP4R2 by western blot of immunoprecipitates. Samples: Whole cell lysate (1 mg for IP; 20% of IP loaded) prepared using NETN buffer from HeLa cells. Antibodies: Affinity purified rabbit anti-PPP4R2 antibody NB100-2877 (lotNB100-2877-2) used for IP at 6 ug per reaction. PPP4R2 was also immunoprecipitated by a previous lot of this antibody (lot NB100-2877-1). For blotting immunoprecipitated PPP4R2 ,NB100-2877 was used at 1 ug/ml. Detection: Chemiluminescence with an exposure time of 30 seconds.

Applications for PPP4R2 Antibody

Application
Recommended Usage

Immunohistochemistry

1:100- 1:500

Immunohistochemistry-Paraffin

1:100- 1:500

Immunoprecipitation

2 - 10 ug/mg lysate

Western Blot

1:2000-1:10000
Application Notes
Epitope retrieval with citrate buffer pH6.0 is recommended for FFPE tissue sections.

Formulation, Preparation, and Storage

Purification

Immunogen affinity purified

Formulation

TBS and 0.1% BSA

Preservative

0.09% Sodium Azide

Concentration

0.2 mg/ml

Shipping

The product is shipped with polar packs. Upon receipt, store it immediately at the temperature recommended below.

Stability & Storage

Store at 4C. Do not freeze.

Background: PPP4R2

Regulatory subunit of serine/threonine-protein phosphatase 4 (PP4). May regulate the activity of PPP4C atcentrosomal microtubule organizing centers. Its interaction with the SMN complex leads to enhance the temporallocalization of snRNPs, suggesting a role of PPP4C in maturation of spliceosomal snRNPs. The PPP4C-PPP4R2-PPP4R3A PP4complex specifically dephosphorylates H2AFX phosphorylated on 'Ser-140' (gamma-H2AFX) generated during DNA replicationand required for DNA DSB repair

Alternate Names

MGC131930, PP4R2, protein phosphatase 4, regulatory subunit 2, serine/threonine-protein phosphatase 4 regulatory subunit 2

Entrez Gene IDs

151987 (Human); 232314 (Mouse)

Gene Symbol

PPP4R2

Additional PPP4R2 Products

Product Documents for PPP4R2 Antibody

Certificate of Analysis

To download a Certificate of Analysis, please enter a lot number in the search box below.

Product Specific Notices for PPP4R2 Antibody

This product is for research use only and is not approved for use in humans or in clinical diagnosis. Primary Antibodies are guaranteed for 1 year from date of receipt.

Loading...
Loading...
Loading...
Loading...