Skip to main content

Podocalyxin Like Antibody (2A4)

Novus Biologicals, part of Bio-Techne | Catalog # NBP2-45169

Novus Biologicals, part of Bio-Techne
Catalog #
Availability
Size / Price
Qty
Loading...
NBP2-45169-0.1mg
NBP2-45169-0.02mg

Key Product Details

Species Reactivity

Human, Rat, Rabbit

Applications

Immunohistochemistry, Immunohistochemistry-Paraffin, Western Blot, Flow Cytometry, Immunofluorescence, Immunocytochemistry/ Immunofluorescence

Label

Unconjugated

Antibody Source

Monoclonal Mouse IgM Kappa Clone # 2A4

Concentration

0.2 mg/ml

Product Specifications

Immunogen

A recombinant protein fragment containing the intracellular, transmembrane, and part of the extracellular domain of human Podocalyxin Like (Uniprot: O00592)

Localization

Cell surface and Cytoplasmic

Specificity

Podocalyxin is a member of the CD34 transmembrane sialomucin family. It is over-expressed on the podocyte foot projections and plays essential roles in kidney development and homeostasis, blood filtration and urine formation. It is also expressed on vascular endothelia, hematopoietic progenitors and a subset of neurons. Overexpression of podocalyxin may be linked to more aggressive tumor behavior. Podocalyxin antibody can identify podocytes in the urine (podocyturia) that may indicate glomerular disease, pre-eclampsia, and other kidney pathology.

Marker

Hematopoietic Stem Cell Marker

Clonality

Monoclonal

Host

Mouse

Isotype

IgM Kappa

Description

200ug/ml of antibody purified from Bioreactor Concentrate. Prepared in 10 mM PBS with 0.05% BSA & 0.05% azide. Also available WITHOUT BSA & azide at 1.0 mg/ml. (NBP2-47750)

Antibody with azide - store at 2 to 8C. Antibody without azide - store at -20 to -80C.

Scientific Data Images for Podocalyxin Like Antibody (2A4)

Western Blot: Podocalyxin Like Antibody (2A4) [NBP2-45169]

Western Blot: Podocalyxin Like Antibody (2A4) [NBP2-45169]

Western Blot: Podocalyxin Like Antibody (2A4) [NBP2-45169] - Western Blot Analysis of HeLa cell lysate using Podocalyxin Like Antibody (2A4).
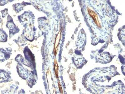
Immunohistochemistry-Paraffin: Podocalyxin Like Antibody (2A4) [NBP2-45169]

Immunohistochemistry-Paraffin: Podocalyxin Like Antibody (2A4) [NBP2-45169]

Immunohistochemistry-Paraffin: Podocalyxin Like Antibody (2A4) [NBP2-45169] - Human Placenta stained with Podocalyxin Monoclonal Antibody (2A4).
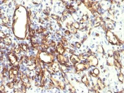
Immunohistochemistry-Paraffin: Podocalyxin Like Antibody (2A4) [NBP2-45169]

Immunohistochemistry-Paraffin: Podocalyxin Like Antibody (2A4) [NBP2-45169]

Immunohistochemistry-Paraffin: Podocalyxin Like Antibody (2A4) [NBP2-45169] - Human Angiosarcoma stained with Podocalyxin Monoclonal Antibody (2A4).

Applications for Podocalyxin Like Antibody (2A4)

Application
Recommended Usage

Flow Cytometry

1-2 ug/million cells

Immunocytochemistry/ Immunofluorescence

1-2 ug/ml

Immunofluorescence

1:25 - 1:50

Immunohistochemistry-Paraffin

1-2 ug/ml

Western Blot

1-2 ug/ml
Application Notes
Immunohistochemistry (Formalin-fixed): 1-2ug/ml for 30 min at RT. Staining of formalin-fixed tissues requires heating tissue sections in 10mM Tris with 1mM EDTA, pH 9.0, for 45 min at 95C followed by cooling at RT for 20 minutes.
Optimal dilution for a specific application should be determined.

Formulation, Preparation, and Storage

Purification

Protein L or PEG purified

Formulation

10 mM PBS with 0.05% BSA

Preservative

0.05% Sodium Azide

Concentration

0.2 mg/ml

Shipping

The product is shipped with polar packs. Upon receipt, store it immediately at the temperature recommended below.

Stability & Storage

Store at 4C.

Background: Podocalyxin

Podocalyxin (PODXL) is a CD34 family member expressed by podocytes, vascular endothelium, mesothelium, and a subset of hematopoietic progenitors. It is the major sialoprotein in the glycocalyx of glomerular podocytes. The physiological role of podocalyxin in leukemic blasts is unknown. However, it is thought of as a candidate prostate cancer tumor aggressiveness gene. Podocalyxin appears to complement CD34 as a useful cell surface marker for hemangioblasts, the common precursors of hematopoietic and endothelial cells.

Alternate Names

GCTM, PCLP, POD XL, PODXL

Gene Symbol

PODXL

UniProt

Additional Podocalyxin Products

Product Documents for Podocalyxin Like Antibody (2A4)

Certificate of Analysis

To download a Certificate of Analysis, please enter a lot number in the search box below.

Product Specific Notices for Podocalyxin Like Antibody (2A4)

This product is for research use only and is not approved for use in humans or in clinical diagnosis. Primary Antibodies are guaranteed for 1 year from date of receipt.

Loading...
Loading...
Loading...
Loading...
Loading...