Skip to main content

PIG3 Antibody (OTI3B11)

Novus Biologicals, part of Bio-Techne | Catalog # NBP2-01301

Novus Biologicals, part of Bio-Techne

Key Product Details

Species Reactivity

Human

Applications

Validated:

Immunohistochemistry, Immunohistochemistry-Paraffin, Western Blot

Cited:

Western Blot

Label

Unconjugated

Antibody Source

Monoclonal Mouse IgG1 Clone # OTI3B11

Concentration

1 mg/ml

Product Specifications

Immunogen

Full length human recombinant protein of human TP53I3(NP_671713) produced in HEK293T cell.

Clonality

Monoclonal

Host

Mouse

Isotype

IgG1

Theoretical MW

35.4 kDa.
Disclaimer note: The observed molecular weight of the protein may vary from the listed predicted molecular weight due to post translational modifications, post translation cleavages, relative charges, and other experimental factors.

Description

Novus Biologicals Mouse PIG3 Antibody (OTI3B11) (NBP2-01301) is a monoclonal antibody validated for use in IHC and WB. Anti-PIG3 Antibody: Cited in 1 publication. All Novus Biologicals antibodies are covered by our 100% guarantee.

Scientific Data Images for PIG3 Antibody (OTI3B11)

Western Blot: PIG3 Antibody (OTI3B11) [NBP2-01301]

Western Blot: PIG3 Antibody (OTI3B11) [NBP2-01301]

Western Blot: PIG3 Antibody (3B11) [NBP2-01301] - HEK293T cells were transfected with the pCMV6-ENTRY control (Left lane) or pCMV6-ENTRY PIG3 (Right lane) cDNA for 48 hrs and lysed. Equivalent amounts of cell lysates (5 ug per lane) were separated by SDS-PAGE and immunoblotted with anti-PIG3.
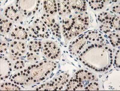
Immunohistochemistry-Paraffin: PIG3 Antibody (3B11) [NBP2-01301] Staining of paraffin-embedded Human Kidney tissue using anti-PIG3 mouse monoclonal antibody.
Immunohistochemistry-Paraffin: PIG3 Antibody (OTI3B11) [NBP2-01301]

Immunohistochemistry-Paraffin: PIG3 Antibody (OTI3B11) [NBP2-01301]

Immunohistochemistry-Paraffin: PIG3 Antibody (3B11) [NBP2-01301] - Staining of paraffin-embedded Carcinoma of Human thyroid tissue using anti-PIG3 mouse monoclonal antibody.

Applications for PIG3 Antibody (OTI3B11)

Application
Recommended Usage

Immunohistochemistry

1:150

Immunohistochemistry-Paraffin

1:150

Western Blot

1:2000

Formulation, Preparation, and Storage

Purification

Immunogen affinity purified

Formulation

PBS (pH 7.3), 1.0% BSA and 50% Glycerol

Preservative

0.02% Sodium Azide

Concentration

1 mg/ml

Shipping

The product is shipped with polar packs. Upon receipt, store it immediately at the temperature recommended below.

Stability & Storage

Store at -20C. Avoid freeze-thaw cycles.

Background: PIG3

The protein encoded by this gene is similar to oxidoreductases, which are enzymes involved in cellular responses to oxidative stresses and irradiation. This gene is induced by the tumor suppressor p53 and is thought to be involved in p53-mediated cell death. It contains a p53 consensus binding site in its promoter region and a downstream pentanucleotide microsatellite sequence. P53 has been shown to transcriptionally activate this gene by interacting with the downstream pentanucleotide microsatellite sequence. The microsatellite is polymorphic, with a varying number of pentanucleotide repeats directly correlated with the extent of transcriptional activation by p53. It has been suggested that the microsatellite polymorphism may be associated with differential susceptibility to cancer. At least two transcript variants encoding the same protein have been found for this gene. [provided by RefSeq].

Alternate Names

p53-induced gene 3 protein, PIG3quinone oxidoreductase homolog, quinone oxidoreductase PIG3, tumor protein p53 inducible protein 3, Tumor protein p53-inducible protein 3

Entrez Gene IDs

9540 (Human)

Gene Symbol

TP53I3

Additional PIG3 Products

Product Documents for PIG3 Antibody (OTI3B11)

Certificate of Analysis

To download a Certificate of Analysis, please enter a lot number in the search box below.

Product Specific Notices for PIG3 Antibody (OTI3B11)

This product is for research use only and is not approved for use in humans or in clinical diagnosis. Primary Antibodies are guaranteed for 1 year from date of receipt.

Loading...
Loading...
Loading...
Loading...