PERP Antibody (1O3L5)
Novus Biologicals, part of Bio-Techne | Catalog # NBP3-16617
Recombinant Monoclonal Antibody
Key Product Details
Species Reactivity
Human, Mouse, Rat
Applications
Immunohistochemistry, Immunohistochemistry-Paraffin, Western Blot, ELISA, Immunocytochemistry/ Immunofluorescence
Label
Unconjugated
Antibody Source
Recombinant Monoclonal Rabbit IgG Clone # 1O3L5 expressed in HEK293
Concentration
Please see the vial label for concentration. If unlisted please contact technical services.
Product Specifications
Immunogen
A synthetic peptide corresponding to a sequence within amino acids 94-193 of human PERP (Q96FX8). LSFFALCGPQMLVFLRVIGGLLALAAVFQIISLVIYPVKYTQTFTLHANPAVTYIYNWAYGFGWAATIILIGCAFFFCCLPNYEDDLLGNAKPRYFYTSA
Clonality
Monoclonal
Host
Rabbit
Isotype
IgG
Theoretical MW
21 kDa.
Disclaimer note: The observed molecular weight of the protein may vary from the listed predicted molecular weight due to post translational modifications, post translation cleavages, relative charges, and other experimental factors.
Disclaimer note: The observed molecular weight of the protein may vary from the listed predicted molecular weight due to post translational modifications, post translation cleavages, relative charges, and other experimental factors.
Description
Novus Biologicals Rabbit PERP Antibody (1O3L5) (NBP3-16617) is a recombinant monoclonal antibody validated for use in IHC, WB, ELISA and ICC/IF. All Novus Biologicals antibodies are covered by our 100% guarantee.
Scientific Data Images for PERP Antibody (1O3L5)
Western Blot: PERP Antibody (1O3L5) [NBP3-16617]
Western Blot: PERP Antibody (1O3L5) [NBP3-16617] - Western blot analysis of extracts of various cell lines, using PERP Rabbit mAb (NBP3-16617) at 1:1000 dilution. Secondary antibody: HRP Goat Anti-Rabbit IgG (H+L) at 1:10000 dilution. Lysates/proteins: 25ug per lane. Blocking buffer: 3% nonfat dry milk in TBST. Detection: ECL Basic Kit. Exposure time: 1s.Immunohistochemistry-Paraffin: PERP Antibody (1O3L5) [NBP3-16617]
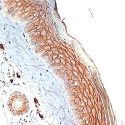
Immunohistochemistry-Paraffin: PERP Antibody (1O3L5) [NBP3-16617] - Immunohistochemistry of paraffin-embedded rat skin using PERP Rabbit mAb (NBP3-16617) at dilution of 1:100 (40x lens).Perform microwave antigen retrieval with 10 mM Tris/EDTA buffer pH 9.0 before commencing with IHC staining protocol.Immunohistochemistry-Paraffin: PERP Antibody (1O3L5) [NBP3-16617]
Immunohistochemistry-Paraffin: PERP Antibody (1O3L5) [NBP3-16617] - Immunohistochemistry of paraffin-embedded mouse skin using PERP Rabbit mAb (NBP3-16617) at dilution of 1:100 (40x lens).Perform microwave antigen retrieval with 10 mM Tris/EDTA buffer pH 9.0 before commencing with IHC staining protocol.Applications for PERP Antibody (1O3L5)
Application
Recommended Usage
ELISA
Recommended starting concentration is 1 μg/mL. Please optimize the concentration based on your specific assay requirements.
Immunocytochemistry/ Immunofluorescence
1:100 - 1:400
Immunohistochemistry
1:50 - 1:200
Western Blot
1:1000 - 1:6000
Formulation, Preparation, and Storage
Purification
Affinity purified
Formulation
PBS (pH 7.3), 50% glycerol, 0.05% BSA
Preservative
0.02% Sodium Azide
Concentration
Please see the vial label for concentration. If unlisted please contact technical services.
Shipping
The product is shipped with polar packs. Upon receipt, store it immediately at the temperature recommended below.
Stability & Storage
Store at -20C. Avoid freeze-thaw cycles.
Background: PERP
Alternate Names
dJ496H19.1, KCP1KCP-1, Keratinocyte-associated protein 1, KRTCAP11110017A08Rik, p53 apoptosis effector related to PMP22, p53 apoptosis effector related to PMP-22, P53-induced protein PIGPC1, PERP, TP53 apoptosis effector, PIGPC1RP3-496H19.1, THWkeratinocytes associated protein 1, Transmembrane protein THW
Gene Symbol
PERP
Additional PERP Products
Product Documents for PERP Antibody (1O3L5)
Product Specific Notices for PERP Antibody (1O3L5)
This product is for research use only and is not approved for use in humans or in clinical diagnosis. Primary Antibodies are guaranteed for 1 year from date of receipt.
Loading...
Loading...
Loading...
Loading...