Skip to main content

Pepsinogen I Antibody (HL2137) - Azide and BSA Free

Novus Biologicals, part of Bio-Techne | Catalog # NBP3-25594

Recombinant Monoclonal Antibody
Novus Biologicals, part of Bio-Techne
Catalog #
Availability
Size / Price
Qty
Loading...
NBP3-25594

Key Product Details

Species Reactivity

Human, Mouse, Rat

Applications

Immunohistochemistry, Immunohistochemistry-Paraffin, Western Blot, ELISA, Immunocytochemistry/ Immunofluorescence

Label

Unconjugated

Antibody Source

Recombinant Monoclonal Rabbit IgG Clone # HL2137 expressed in HEK293

Format

Azide and BSA Free

Concentration

Concentrations vary lot to lot. See vial label for concentration. If unlisted please contact technical services.

Product Specifications

Immunogen

Recombinant fragmemt of human Pepsinogen I

Clonality

Monoclonal

Host

Rabbit

Isotype

IgG

Description

Novus Biologicals Rabbit Pepsinogen I Antibody (HL2137) - Azide and BSA Free (NBP3-25594) is a recombinant monoclonal antibody validated for use in IHC, WB, ELISA and ICC/IF. All Novus Biologicals antibodies are covered by our 100% guarantee.

Scientific Data Images for Pepsinogen I Antibody (HL2137) - Azide and BSA Free

Pepsinogen I Antibody (HL2137) - Azide and BSA Free

ELISA: Pepsinogen I Antibody (HL2137) - Azide and BSA Free [NBP3-25594] -

ELISA: Pepsinogen I Antibody (HL2137) - Azide and BSA Free [NBP3-25594] - Indirect ELISA analysis was performed by coating the plate with recombinant NS0 cells expressed, full-length human pepsinogen A protein (97.56-1.52 nM). Coated protein was probed with Pepsinogen I antibody [HL2137] (NBP3-25594) (1 ug/mL). Goat anti-rabbit IgG antibody (HRP) (1:10000) was used to detect the bound primary antibody.
Pepsinogen I Antibody (HL2137) - Azide and BSA Free

Western Blot: Pepsinogen I Antibody (HL2137) - Azide and BSA Free [NBP3-25594] -

Western Blot: Pepsinogen I Antibody (HL2137) - Azide and BSA Free [NBP3-25594] - Various tissue extracts (10 ug) were separated by 10% SDS-PAGE, and the membrane was blotted with Pepsinogen I antibody [HL2137] (NBP3-25594) diluted at 1:1000. The HRP-conjugated anti-rabbit IgG antibody was used to detect the primary antibody.
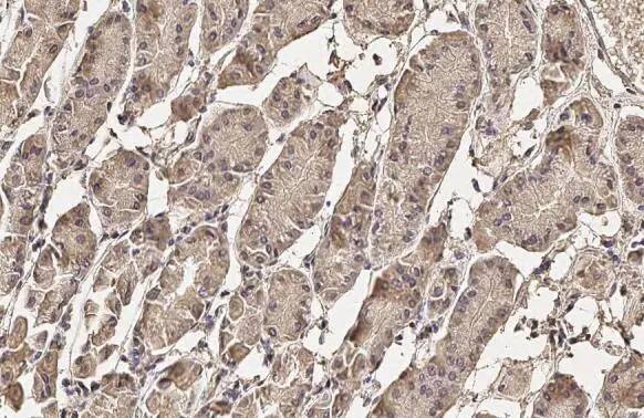
Pepsinogen I Antibody (HL2137) - Azide and BSA Free

Immunohistochemistry-Paraffin: Pepsinogen I Antibody (HL2137) - Azide and BSA Free [NBP3-25594] -

Immunohistochemistry-Paraffin: Pepsinogen I Antibody (HL2137) - Azide and BSA Free [NBP3-25594] - Pepsinogen I antibody [HL2137] detects Pepsinogen I protein at cytoplasm by immunohistochemical analysis. Sample: Paraffin-embedded human stomach. Pepsinogen I stained by Pepsinogen I antibody [HL2137] (NBP3-25594) diluted at 1:500. Antigen Retrieval: Citrate buffer, pH 6.0, 15 min

Applications for Pepsinogen I Antibody (HL2137) - Azide and BSA Free

Application
Recommended Usage

Western Blot

1:500-1:3000

Formulation, Preparation, and Storage

Purification

Protein A purified

Formulation

PBS

Format

Azide and BSA Free

Preservative

No Preservative

Concentration

Concentrations vary lot to lot. See vial label for concentration. If unlisted please contact technical services.

Shipping

The product is shipped with polar packs. Upon receipt, store it immediately at the temperature recommended below.

Stability & Storage

Store at 4C short term. Aliquot and store at -20C long term. Avoid freeze-thaw cycles.

Background: Pepsinogen I

Pepsinogen consists of a single polypeptide chain of 375 amino acids with an average molecular weight of 42 kDa. Pepsinogen I is synthesized by gastric chief cells and mucous neck cells.

Alternate Names

pepsinogen 3, group I (pepsinogen A)

Gene Symbol

PGA3

Additional Pepsinogen I Products

Product Documents for Pepsinogen I Antibody (HL2137) - Azide and BSA Free

Certificate of Analysis

To download a Certificate of Analysis, please enter a lot number in the search box below.

Product Specific Notices for Pepsinogen I Antibody (HL2137) - Azide and BSA Free

This product is for research use only and is not approved for use in humans or in clinical diagnosis. Primary Antibodies are guaranteed for 1 year from date of receipt.

Loading...
Loading...
Loading...
Loading...