Skip to main content

Pea3 Antibody - BSA Free

Novus Biologicals, part of Bio-Techne | Catalog # NBP3-35390

Novus Biologicals, part of Bio-Techne
Catalog #
Availability
Size / Price
Qty
Loading...
NBP3-35390-100ul
NBP3-35390-20ul

Key Product Details

Species Reactivity

Human, Mouse, Rat

Applications

Immunohistochemistry, Immunohistochemistry-Paraffin, Western Blot, ELISA, Immunocytochemistry/ Immunofluorescence

Label

Unconjugated

Antibody Source

Polyclonal Rabbit IgG

Format

BSA Free

Concentration

Please see the vial label for concentration. If unlisted please contact technical services.

Product Specifications

Immunogen

Recombinant Protein corresponding to a sequence within amino acids 1-284 of human Pea3 (NP_001977.1).

Sequence:
KNRPAMNYDKLSRSLRYYYEKGIMQKVAGERYVYKFVCEPEALFSLAFPDNQRPALKAEFDRPVSEEDTVPLSHLDESPAYLPELAGPAQPFGPKGGYSY

Clonality

Polyclonal

Host

Rabbit

Isotype

IgG

Theoretical MW

54 kDa.
Disclaimer note: The observed molecular weight of the protein may vary from the listed predicted molecular weight due to post translational modifications, post translation cleavages, relative charges, and other experimental factors.

Description

Novus Biologicals Rabbit Pea3 Antibody - BSA Free (NBP3-35390) is a polyclonal antibody validated for use in IHC, WB, ELISA and ICC/IF. All Novus Biologicals antibodies are covered by our 100% guarantee.

Scientific Data Images for Pea3 Antibody - BSA Free

Pea3 Antibody

Western Blot: Pea3 Antibody [NBP3-35390] -

Western Blot: Pea3 Antibody [NBP3-35390] - Western blot analysis of various lysates using Pea3 Rabbit pAb at 1:1000 dilution.
Secondary antibody: HRP-conjugated Goat anti-Rabbit IgG (H+L) at 1:10000 dilution.
Lysates/proteins: 25ug per lane.
Blocking buffer: 3% nonfat dry milk in TBST.
Detection: ECL Basic Kit.
Exposure time: 5s.
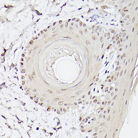
Pea3 Antibody

Immunohistochemistry: Pea3 Antibody [NBP3-35390] -

Immunohistochemistry: Pea3 Antibody [NBP3-35390] - Immunohistochemistry analysis of paraffin-embedded Mouse skin using Pea3 Rabbit pAb at dilution of 1:100 (40x lens). High pressure antigen retrieval performed with 0.01M Citrate Bufferr (pH 6.0) prior to IHC staining.
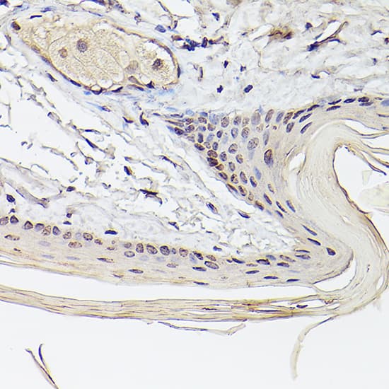
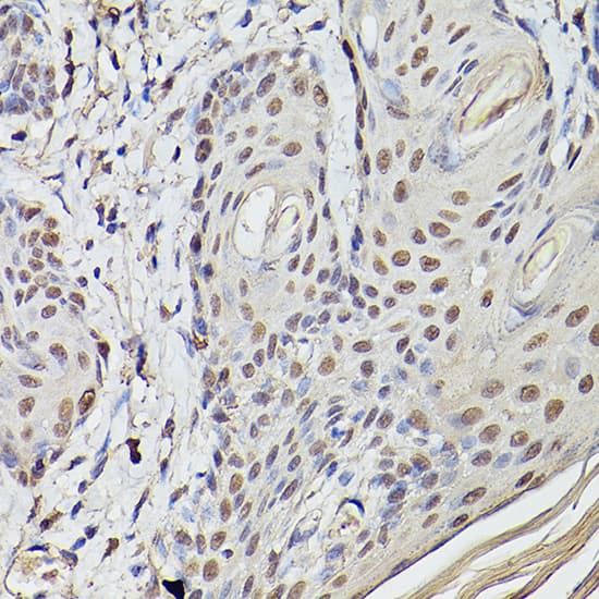
Pea3 Antibody

Immunohistochemistry: Pea3 Antibody [NBP3-35390] -

Immunohistochemistry: Pea3 Antibody [NBP3-35390] - Immunohistochemistry analysis of paraffin-embedded Human skin using Pea3 Rabbit pAb at dilution of 1:100 (40x lens). High pressure antigen retrieval performed with 0.01M Citrate Bufferr (pH 6.0) prior to IHC staining.

Applications for Pea3 Antibody - BSA Free

Application
Recommended Usage

ELISA

Recommended starting concentration is 1 ug/ml

Immunocytochemistry/ Immunofluorescence

1:50 - 1:200

Immunohistochemistry-Paraffin

1:50 - 1:200

Western Blot

1:500 - 1:1000

Formulation, Preparation, and Storage

Purification

Affinity purified

Formulation

PBS (pH 7.3), 50% glycerol

Format

BSA Free

Preservative

0.09% Sodium Azide

Concentration

Please see the vial label for concentration. If unlisted please contact technical services.

Shipping

The product is shipped with polar packs. Upon receipt, store it immediately at the temperature recommended below.

Stability & Storage

Store at -20C. Avoid freeze-thaw cycles.

Background: Pea3

Pea3, also known as ETS translocation variant 4, is an approximately 54 kDa, 484 amino acid protein, which is involved in transcriptional activation of adenovirus E1A gene, and is regulated by ERBB2, STK11, PLAG1, CTNNB1. Studies about the Pea3 protein are being done on diseases such as ovaria, pancreatic, gastric, breast, and prostate cancers. As well as peripheral primitive neuroectodermal tumors, carcinoma, adenoma, ewings sarcoma, squamous cell carcinoma, and oral cancers. The Pea3 protein has shown interaction with Taf7, EP300, SRF, HOXD4, STK11, and involvement in the ErbB2-ErbB3 Heterodimer pathway.

Alternate Names

Adenovirus E1A enhancer-binding protein, E1A-FE1A enhancer binding protein, E1AFETS translocation variant 4, ets variant 4, ets variant gene 4 (E1A enhancer binding protein, E1AF), ets variant gene 4 (E1A enhancer-binding protein, E1AF), EWS protein/E1A enhancer binding protein chimera, PEA3, PEAS3, Polyomavirus enhancer activator 3 homolog, polyomavirus enhancer activator-3, Protein PEA3

Gene Symbol

ETV4

Additional Pea3 Products

Product Documents for Pea3 Antibody - BSA Free

Certificate of Analysis

To download a Certificate of Analysis, please enter a lot number in the search box below.

Product Specific Notices for Pea3 Antibody - BSA Free

This product is for research use only and is not approved for use in humans or in clinical diagnosis. Primary Antibodies are guaranteed for 1 year from date of receipt.

Loading...
Loading...
Loading...
Loading...