Skip to main content

PDSS2 Antibody (OTI1D12) - Azide and BSA Free

Novus Biologicals, part of Bio-Techne | Catalog # NBP2-73323

Novus Biologicals, part of Bio-Techne
Catalog #
Availability
Size / Price
Qty
Loading...
NBP2-73323

Key Product Details

Species Reactivity

Human, Mouse, Rat, Monkey, Primate

Applications

Immunohistochemistry, Immunohistochemistry-Paraffin, Western Blot, Flow Cytometry, CyTOF-ready

Label

Unconjugated

Antibody Source

Monoclonal Mouse IgG1 Clone # OTI1D12

Format

Azide and BSA Free

Concentration

LYOPH mg/ml

Product Specifications

Immunogen

Full length human recombinant protein of human PDSS2(NP_065114) produced in HEK293T cell.

Reactivity Notes

Please note that this antibody is reactive to Mouse and derived from the same host, Mouse. Mouse-On-Mouse blocking reagent may be needed for IHC and ICC experiments to reduce high background signal. You can find these reagents under catalog numbers PK-2200-NB and MP-2400-NB. Please contact Technical Support if you have any questions.

Clonality

Monoclonal

Host

Mouse

Isotype

IgG1

Theoretical MW

43.9 kDa.
Disclaimer note: The observed molecular weight of the protein may vary from the listed predicted molecular weight due to post translational modifications, post translation cleavages, relative charges, and other experimental factors.

Description

Novus Biologicals Mouse PDSS2 Antibody (OTI1D12) - Azide and BSA Free (NBP2-01512) is a monoclonal antibody validated for use in IHC, WB and Flow. All Novus Biologicals antibodies are covered by our 100% guarantee.

Scientific Data Images for PDSS2 Antibody (OTI1D12) - Azide and BSA Free

Western Blot: PDSS2 Antibody (OTI1D12)Azide and BSA Free [NBP2-73323]

Western Blot: PDSS2 Antibody (OTI1D12)Azide and BSA Free [NBP2-73323]

Western Blot: PDSS2 Antibody (OTI1D12) - Azide and BSA Free [NBP2-73323] - Analysis of extracts (35ug) from 9 different cell lines by using anti-PDSS2 monoclonal antibody.
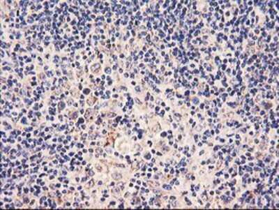
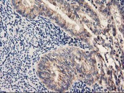
Immunohistochemistry: PDSS2 Antibody (OTI1D12) - Azide and BSA Free [NBP2-73323]

Immunohistochemistry: PDSS2 Antibody (OTI1D12) - Azide and BSA Free [NBP2-73323]

Immunohistochemistry: PDSS2 Antibody (OTI1D12) - Azide and BSA Free [NBP2-73323] - Staining of paraffin-embedded Human Kidney tissue using anti-PDSS2 mouse monoclonal antibody.
Flow Cytometry: PDSS2 Antibody (OTI1D12) - Azide and BSA Free [NBP2-73323]

Flow Cytometry: PDSS2 Antibody (OTI1D12) - Azide and BSA Free [NBP2-73323]

Flow Cytometry: PDSS2 Antibody (OTI1D12) - Azide and BSA Free [NBP2-73323] - HEK293T cells transfected with either overexpression plasmid (Red) or empty vector control plasmid (Blue) were immunostaining by anti-PDSS2 antibody, and then analyzed by flow cytometry.

Applications for PDSS2 Antibody (OTI1D12) - Azide and BSA Free

Application
Recommended Usage

Flow Cytometry

1:100

Immunohistochemistry

1:150

Western Blot

1:500-2000

Formulation, Preparation, and Storage

Purification

Immunogen affinity purified

Reconstitution

we recommend adding 100uL distilled water to a final antibody concentration of about 1 mg/mL. To use this carrier-free antibody for conjugation experiment, we strongly recommend performing another round of desalting process.

Formulation

Lyophilized from PBS (pH 7.3) with 8% Trehalose

Format

Azide and BSA Free

Preservative

No Preservative

Concentration

LYOPH mg/ml

Shipping

The product is shipped with polar packs. Upon receipt, store it immediately at the temperature recommended below.

Stability & Storage

Store at -20C. Avoid freeze-thaw cycles.

Background: PDSS2

The isoprenoid chain of ubiquinone (coenzyme Q) varies in length between species and is determined by trans-polyprenyl diphosphate synthase. Humans possess a heterotetrameric decaprenyl diphosphate synthase composed of DPS1 (PDSS1; MIM 607429) and DLP1 (PDSS2) that produces Q10 ubiquinone (Saiki et al., 2005 [PubMed 16262699]).[supplied by OMIM]

Alternate Names

All-trans-decaprenyl-diphosphate synthase subunit 2, bA59I9.3, C6orf210decaprenyl-diphosphate synthase subunit 2, Candidate tumor suppressor protein, chromosome 6 open reading frame 210, Decaprenyl pyrophosphate synthase subunit 2, decaprenyl pyrophosphate synthetase subunit 2, DLP1hDLP1, EC 2.5.1.91, prenyl (decaprenyl) diphosphate synthase, subunit 2, subunit 2 of decaprenyl diphosphate synthase

Gene Symbol

PDSS2

Additional PDSS2 Products

Product Documents for PDSS2 Antibody (OTI1D12) - Azide and BSA Free

Certificate of Analysis

To download a Certificate of Analysis, please enter a lot number in the search box below.

Product Specific Notices for PDSS2 Antibody (OTI1D12) - Azide and BSA Free

This product is for research use only and is not approved for use in humans or in clinical diagnosis. Primary Antibodies are guaranteed for 1 year from date of receipt.

Loading...
Loading...
Loading...
Loading...
Loading...
Loading...