Skip to main content

PDSS2 Antibody (OTI1D12)

Novus Biologicals, part of Bio-Techne | Catalog # NBP2-01512

Novus Biologicals, part of Bio-Techne
Catalog #
Availability
Size / Price
Qty
Loading...
NBP2-01512

Key Product Details

Species Reactivity

Human, Mouse, Rat, Monkey, Primate

Applications

Immunohistochemistry, Immunohistochemistry-Paraffin, Western Blot, Flow Cytometry

Label

Unconjugated

Antibody Source

Monoclonal Mouse IgG1 Clone # OTI1D12

Concentration

1 mg/ml

Product Specifications

Immunogen

Full length human recombinant protein of human PDSS2(NP_065114) produced in HEK293T cell.

Reactivity Notes

Please note that this antibody is reactive to Mouse and derived from the same host, Mouse. Mouse-On-Mouse blocking reagent may be needed for IHC and ICC experiments to reduce high background signal. You can find these reagents under catalog numbers PK-2200-NB and MP-2400-NB. Please contact Technical Support if you have any questions.

Clonality

Monoclonal

Host

Mouse

Isotype

IgG1

Theoretical MW

43.9 kDa.
Disclaimer note: The observed molecular weight of the protein may vary from the listed predicted molecular weight due to post translational modifications, post translation cleavages, relative charges, and other experimental factors.

Description

Novus Biologicals Mouse PDSS2 Antibody (OTI1D12) (NBP2-01512) is a monoclonal antibody validated for use in IHC, WB and Flow. All Novus Biologicals antibodies are covered by our 100% guarantee.

Scientific Data Images for PDSS2 Antibody (OTI1D12)

Western Blot: PDSS2 Antibody (OTI1D12) [NBP2-01512]

Western Blot: PDSS2 Antibody (OTI1D12) [NBP2-01512]

Western Blot: PDSS2 Antibody (1D12) [NBP2-01512] - WB analysis of extracts (35ug) from 9 different cell lines by using anti-PDSS2 monoclonal antibody.
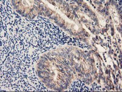
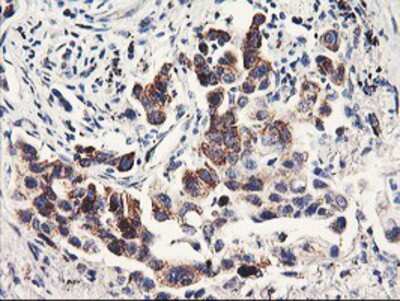
Immunohistochemistry-Paraffin: PDSS2 Antibody (OTI1D12) [NBP2-01512]

Immunohistochemistry-Paraffin: PDSS2 Antibody (OTI1D12) [NBP2-01512]

Immunohistochemistry-Paraffin: PDSS2 Antibody (1D12) [NBP2-01512] - Staining of paraffin-embedded Human lymphoma tissue using anti-PDSS2 mouse monoclonal antibody.
Flow Cytometry: PDSS2 Antibody (OTI1D12) [NBP2-01512]

Flow Cytometry: PDSS2 Antibody (OTI1D12) [NBP2-01512]

Flow Cytometry: PDSS2 Antibody (1D12) [NBP2-01512] - HEK293T cells transfected with either overexpression plasmid (Red) or empty vector control plasmid (Blue) were immunostained by anti-PDSS2 antibody, and then analyzed by flow cytometry.

Applications for PDSS2 Antibody (OTI1D12)

Application
Recommended Usage

Flow Cytometry

1:100

Immunohistochemistry

1:150

Immunohistochemistry-Paraffin

1:150

Western Blot

1:500-2000

Formulation, Preparation, and Storage

Purification

Immunogen affinity purified

Formulation

PBS (pH 7.3), 1.0% BSA and 50% Glycerol

Preservative

0.02% Sodium Azide

Concentration

1 mg/ml

Shipping

The product is shipped with polar packs. Upon receipt, store it immediately at the temperature recommended below.

Stability & Storage

Store at -20C. Avoid freeze-thaw cycles.

Background: PDSS2

The protein encoded by this gene is an enzyme that synthesizes the prenyl side-chain of coenzyme Q, or ubiquinone, one of the key elements in the respiratory chain. The gene product catalyzes the formation of all trans-polyprenyl pyrophosphates from isopentyl diphosphate in the assembly of polyisoprenoid side chains, the first step in coenzyme Q biosynthesis. Defects in this gene are a cause of coenzyme Q10 deficiency. COMPLETENESS: complete on the 3' end.

Alternate Names

All-trans-decaprenyl-diphosphate synthase subunit 2, bA59I9.3, C6orf210decaprenyl-diphosphate synthase subunit 2, Candidate tumor suppressor protein, chromosome 6 open reading frame 210, Decaprenyl pyrophosphate synthase subunit 2, decaprenyl pyrophosphate synthetase subunit 2, DLP1hDLP1, EC 2.5.1.91, prenyl (decaprenyl) diphosphate synthase, subunit 2, subunit 2 of decaprenyl diphosphate synthase

Entrez Gene IDs

57107 (Human)

Gene Symbol

PDSS2

Additional PDSS2 Products

Product Documents for PDSS2 Antibody (OTI1D12)

Certificate of Analysis

To download a Certificate of Analysis, please enter a lot number in the search box below.

Product Specific Notices for PDSS2 Antibody (OTI1D12)

This product is for research use only and is not approved for use in humans or in clinical diagnosis. Primary Antibodies are guaranteed for 1 year from date of receipt.

Loading...
Loading...
Loading...
Loading...
Loading...