Skip to main content

PDE4B Antibody (OTI1D12) - Azide and BSA Free

Novus Biologicals, part of Bio-Techne | Catalog # NBP2-73292

Novus Biologicals, part of Bio-Techne
Catalog #
Availability
Size / Price
Qty
Loading...
NBP2-73292

Key Product Details

Species Reactivity

Human, Mouse, Rat

Applications

Immunohistochemistry, Immunohistochemistry-Paraffin, Western Blot, Flow Cytometry, Immunocytochemistry/ Immunofluorescence, CyTOF-ready

Label

Unconjugated

Antibody Source

Monoclonal Mouse IgG1 Clone # OTI1D12

Format

Azide and BSA Free

Concentration

LYOPH mg/ml

Product Specifications

Immunogen

Full length human recombinant protein of human PDE4B(NP_002591) produced in HEK293T cell.

Reactivity Notes

Please note that this antibody is reactive to Mouse and derived from the same host, Mouse. Mouse-On-Mouse blocking reagent may be needed for IHC and ICC experiments to reduce high background signal. You can find these reagents under catalog numbers PK-2200-NB and MP-2400-NB. Please contact Technical Support if you have any questions.

Clonality

Monoclonal

Host

Mouse

Isotype

IgG1

Theoretical MW

83.2 kDa.
Disclaimer note: The observed molecular weight of the protein may vary from the listed predicted molecular weight due to post translational modifications, post translation cleavages, relative charges, and other experimental factors.

Description

Novus Biologicals Mouse PDE4B Antibody (OTI1D12) - Azide and BSA Free (NBP2-01171) is a monoclonal antibody validated for use in IHC, WB, Flow and ICC/IF. All Novus Biologicals antibodies are covered by our 100% guarantee.

Scientific Data Images for PDE4B Antibody (OTI1D12) - Azide and BSA Free

Western Blot: PDE4B Antibody (OTI1D12)Azide and BSA Free [NBP2-73292]

Western Blot: PDE4B Antibody (OTI1D12)Azide and BSA Free [NBP2-73292]

Western Blot: PDE4B Antibody (OTI1D12) - Azide and BSA Free [NBP2-73292] - HEK293T cells were transfected with the pCMV6-ENTRY control (Left lane) or pCMV6-ENTRY PDE4B (Right lane) cDNA for 48 hrs and lysed. Equivalent amounts of cell lysates (5 ug per lane) were separated by SDS-PAGE and immunoblotted with anti-PDE4B.
Immunocytochemistry/ Immunofluorescence: PDE4B Antibody (OTI1D12) - Azide and BSA Free [NBP2-73292]

Immunocytochemistry/ Immunofluorescence: PDE4B Antibody (OTI1D12) - Azide and BSA Free [NBP2-73292]

Immunocytochemistry/Immunofluorescence: PDE4B Antibody (OTI1D12) - Azide and BSA Free [NBP2-73292] - Staining of COS7 cells transiently transfected by pCMV6-ENTRY PDE4B.
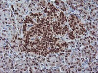
Immunohistochemistry: PDE4B Antibody (OTI1D12) - Azide and BSA Free [NBP2-73292]

Immunohistochemistry: PDE4B Antibody (OTI1D12) - Azide and BSA Free [NBP2-73292]

Immunohistochemistry: PDE4B Antibody (OTI1D12) - Azide and BSA Free [NBP2-73292] - Staining of paraffin-embedded Human pancreas tissue using anti-PDE4B mouse monoclonal antibody.

Applications for PDE4B Antibody (OTI1D12) - Azide and BSA Free

Application
Recommended Usage

Flow Cytometry

1:100

Immunocytochemistry/ Immunofluorescence

1:100

Immunohistochemistry

1:150

Western Blot

1:500-2000

Formulation, Preparation, and Storage

Purification

Immunogen affinity purified

Reconstitution

we recommend adding 100uL distilled water to a final antibody concentration of about 1 mg/mL. To use this carrier-free antibody for conjugation experiment, we strongly recommend performing another round of desalting process.

Formulation

Lyophilized from PBS (pH 7.3) with 8% Trehalose

Format

Azide and BSA Free

Preservative

No Preservative

Concentration

LYOPH mg/ml

Shipping

The product is shipped with polar packs. Upon receipt, store it immediately at the temperature recommended below.

Stability & Storage

Store at -20C. Avoid freeze-thaw cycles.

Background: PDE4B

PDE4B is a member of the type IV, cyclic AMP (cAMP)-specific, cyclic nucleotide phosphodiesterase (PDE) family. Enzymes of the cAMP-dependent phosphodiesterase type 4 (PDE4) family are important in hydrolyzing cAMP produced by G-protein coupled receptor (GPCR) stimulated adenylyl cyclases. Four genes (PDE4A, B, C and D) make up the PDE4 family. cAMP-dependent phosphodiesterase type B (PDE4B) family consists of four known splice variants, PDE4B1, B2, B3 and a novel 66 kDa PDE4B4 protein. One or more subtype variants of PDE4B are ubiquitously present in all mammalian cells. In CNS, all four PDE4B subtype variants are expressed in varying ratios and their activity is regulated in tandem with GPCRs stimulation. Some PDE4B variants are also substrate for PKA-dependent phosphorylation. Peripheral tissues exhibit differential expression of PDE4B1, B2 and B4 variants; the PDE4B4 (66kDa protein) is the major PDE4B variant expressed in lungs, testis and heart. In testis PDE4B enzymes are expressed in somatic cells (Sertoli and Leydig cells) while PDE4A is localized in germ cells.

Long Name

cAMP-specific 3',5'-cyclic phosphodiesterase 4B

Alternate Names

DPDE4, PDE32

Gene Symbol

PDE4B

Additional PDE4B Products

Product Documents for PDE4B Antibody (OTI1D12) - Azide and BSA Free

Certificate of Analysis

To download a Certificate of Analysis, please enter a lot number in the search box below.

Product Specific Notices for PDE4B Antibody (OTI1D12) - Azide and BSA Free

This product is for research use only and is not approved for use in humans or in clinical diagnosis. Primary Antibodies are guaranteed for 1 year from date of receipt.

Loading...
Loading...
Loading...
Loading...
Loading...
Loading...