Skip to main content

PCIF1 Antibody - BSA Free

Novus Biologicals, part of Bio-Techne | Catalog # NBP3-47201

Novus Biologicals, part of Bio-Techne
Catalog #
Availability
Size / Price
Qty
Loading...
NBP3-47201

Key Product Details

Species Reactivity

Human, Mouse

Applications

ELISA, Immunohistochemistry, Western Blot

Label

Unconjugated

Antibody Source

Polyclonal Rabbit IgG

Format

BSA Free

Concentration

Please see the vial label for concentration. If unlisted please contact technical services.

Product Specifications

Immunogen

PDX1 C-terminal inhibiting factor 1. (Uniprot# Q9H4Z3)

Clonality

Polyclonal

Host

Rabbit

Isotype

IgG

Theoretical MW

81 kDa.
Disclaimer note: The observed molecular weight of the protein may vary from the listed predicted molecular weight due to post translational modifications, post translation cleavages, relative charges, and other experimental factors.

Description

Novus Biologicals Rabbit PCIF1 Antibody - BSA Free (NBP3-47201) is a polyclonal antibody validated for use in IHC, WB and ELISA. All Novus Biologicals antibodies are covered by our 100% guarantee.

Scientific Data Images for PCIF1 Antibody - BSA Free

PCIF1 Antibody - BSA Free

Western Blot: PCIF1 Antibody - BSA Free [NBP3-47201] -

Western Blot: PCIF1 Antibody - BSA Free [NBP3-47201] - Jurkat cells were subjected to SDS PAGE followed by western blot with (PCIF1 antibody) at dilution of 1:800
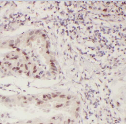
PCIF1 Antibody - BSA Free

Immunohistochemistry: PCIF1 Antibody - BSA Free [NBP3-47201] -

Immunohistochemistry: PCIF1 Antibody - BSA Free [NBP3-47201] - Immunohistochemistry of paraffin-embedded human lung cancer tissue slide using (PCIF1 Antibody) at dilution of 1:50

Applications for PCIF1 Antibody - BSA Free

Application
Recommended Usage

Immunohistochemistry

1:20-1:200

Western Blot

1:500-1:2000

Formulation, Preparation, and Storage

Purification

Immunogen affinity purified

Formulation

PBS, 50% Glycerol, pH (7.3)

Format

BSA Free

Preservative

0.02% Sodium Azide

Concentration

Please see the vial label for concentration. If unlisted please contact technical services.

Shipping

The product is shipped with polar packs. Upon receipt, store it immediately at the temperature recommended below.

Stability & Storage

Store at -20C. Avoid freeze-thaw cycles.

Background: PCIF1

PCIF1 may play a role in transcription elongation or in coupling transcription to pre-mRNA processing through itsassociation with the phosphorylated C-terminal domain (CTD) ofRNAPIIlargest subunit

Alternate Names

bA465L10.1, C20orf67, chromosome 20 open reading frame 67, PDX-1 C terminus-interacting factor 1, PDX1 C-terminal inhibiting factor 1, phosphorylated CTD-interacting factor 1

Gene Symbol

PCIF1

Additional PCIF1 Products

Product Documents for PCIF1 Antibody - BSA Free

Certificate of Analysis

To download a Certificate of Analysis, please enter a lot number in the search box below.

Product Specific Notices for PCIF1 Antibody - BSA Free

This product is for research use only and is not approved for use in humans or in clinical diagnosis. Primary Antibodies are guaranteed for 1 year from date of receipt.

Loading...
Loading...
Loading...
Loading...