Skip to main content

Pax2 Antibody (PAX2/1104)

Novus Biologicals, part of Bio-Techne | Catalog # NBP2-79742

Novus Biologicals, part of Bio-Techne
Catalog #
Availability
Size / Price
Qty
Loading...
NBP2-79742-100ug
NBP2-79742-20ug

Key Product Details

Species Reactivity

Human

Applications

Immunohistochemistry, Immunohistochemistry-Paraffin, ELISA, Protein Array

Label

Unconjugated

Antibody Source

Monoclonal Mouse IgG2b Kappa Clone # PAX2/1104

Concentration

0.2 mg/ml

Product Specifications

Immunogen

Recombinant fragment (around aa 223-354) human Pax2 protein (exact sequence is proprietary) (Uniprot: Q02962)

Localization

Nuclear

Marker

Renal Cell & Ovarian Carcinoma Marker

Clonality

Monoclonal

Host

Mouse

Isotype

IgG2b Kappa

Theoretical MW

42 kDa.
Disclaimer note: The observed molecular weight of the protein may vary from the listed predicted molecular weight due to post translational modifications, post translation cleavages, relative charges, and other experimental factors.

Description

200ug/ml of antibody purified from Bioreactor Concentrate by Protein A or G. Prepared in 10 mM PBS with 0.05% BSA & 0.05% azide. Also available WITHOUT BSA & azide at 1.0 mg/ml. (NBP2-79877)

Antibody with azide - store at 2 to 8C. Antibody without azide - store at -20 to -80C.

Scientific Data Images for Pax2 Antibody (PAX2/1104)

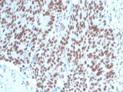
Immunohistochemistry-Paraffin: Pax2 Antibody (PAX2/1104) [NBP2-79742]

Immunohistochemistry-Paraffin: Pax2 Antibody (PAX2/1104) [NBP2-79742]

Immunohistochemistry-Paraffin: Pax2 Antibody (PAX2/1104) [NBP2-79742] - Formalin-fixed, paraffin-embedded human Renal Cell Carcinoma stained with Pax2 Antibody (PAX2/1104).
Immunohistochemistry-Paraffin: Pax2 Antibody (PAX2/1104) [NBP2-79742]

Immunohistochemistry-Paraffin: Pax2 Antibody (PAX2/1104) [NBP2-79742]

Immunohistochemistry-Paraffin: Pax2 Antibody (PAX2/1104) [NBP2-79742] - Formalin-fixed, paraffin-embedded human Colon Carcinoma stained with Pax2 Antibody (PAX2/1104).
Immunohistochemistry-Paraffin: Pax2 Antibody (PAX2/1104) [NBP2-79742]

Immunohistochemistry-Paraffin: Pax2 Antibody (PAX2/1104) [NBP2-79742]

Immunohistochemistry-Paraffin: Pax2 Antibody (PAX2/1104) [NBP2-79742] - Formalin-fixed, paraffin-embedded human Ovarian Carcinoma stained with Pax2 Antibody (PAX2/1104).

Applications for Pax2 Antibody (PAX2/1104)

Application
Recommended Usage

Immunohistochemistry

1-2 ug/ml

Immunohistochemistry-Paraffin

1-2 ug/ml
Application Notes
ELISA: For coating, order Ab without BSA.
Immunohistochemistry (Formalin-fixed): 1-2ug/ml for 30 minutes at RT. Staining of formalin-fixed tissues requires heating tissue sections in 10mM Tris with 1mM EDTA, pH 9.0, for 45 min at 95C followed by cooling at RT for 20 minutes.
Optimal dilution for a specific application should be determined.

Formulation, Preparation, and Storage

Purification

Protein A or G purified

Formulation

10 mM PBS with 0.05% BSA

Preservative

0.05% Sodium Azide

Concentration

0.2 mg/ml

Shipping

The product is shipped with polar packs. Upon receipt, store it immediately at the temperature recommended below.

Stability & Storage

Store at 4C.

Background: Pax2

PAX2 encodes paired box gene 2, one of many human homologues of the Drosophila melanogaster gene prd. The central feature of this transcription factor gene family is the conserved DNA-binding paired box domain. PAX2 is believed to be a target of transcriptional supression by the tumor supressor gene WT1. Mutations within PAX2 have been shown to result in optic nerve colobomas and renal hypoplasia. Alternative splicing of this gene results in multiple transcript variants.

Long Name

Paired Box Gene 2

Alternate Names

paired box 2, paired box gene 2, paired box homeotic gene 2, paired box protein Pax-2

Gene Symbol

PAX2

UniProt

Additional Pax2 Products

Product Documents for Pax2 Antibody (PAX2/1104)

Certificate of Analysis

To download a Certificate of Analysis, please enter a lot number in the search box below.

Product Specific Notices for Pax2 Antibody (PAX2/1104)

This product is for research use only and is not approved for use in humans or in clinical diagnosis. Primary Antibodies are guaranteed for 1 year from date of receipt.

Loading...
Loading...
Loading...
Loading...