Skip to main content

PARN Antibody (OTI4D12)

Novus Biologicals, part of Bio-Techne | Catalog # NBP2-46321

Novus Biologicals, part of Bio-Techne

Key Product Details

Species Reactivity

Human, Mouse, Rat

Applications

Immunohistochemistry, Immunohistochemistry-Paraffin, Western Blot

Label

Unconjugated

Antibody Source

Monoclonal Mouse IgG2A Clone # OTI4D12

Concentration

1 mg/ml

Product Specifications

Immunogen

Human recombinant protein fragment corresponding to amino acids 1-266 of human PARN (NP_002573) produced in E.coli.

Reactivity Notes

Please note that this antibody is reactive to Mouse and derived from the same host, Mouse. Mouse-On-Mouse blocking reagent may be needed for IHC and ICC experiments to reduce high background signal. You can find these reagents under catalog numbers PK-2200-NB and MP-2400-NB. Please contact Technical Support if you have any questions.

Clonality

Monoclonal

Host

Mouse

Isotype

IgG2A

Theoretical MW

73.3 kDa.
Disclaimer note: The observed molecular weight of the protein may vary from the listed predicted molecular weight due to post translational modifications, post translation cleavages, relative charges, and other experimental factors.

Description

Novus Biologicals Mouse PARN Antibody (OTI4D12) (NBP2-46321) is a monoclonal antibody validated for use in IHC and WB. All Novus Biologicals antibodies are covered by our 100% guarantee.

Scientific Data Images for PARN Antibody (OTI4D12)

Western Blot: PARN Antibody (OTI4D12) [NBP2-46321]

Western Blot: PARN Antibody (OTI4D12) [NBP2-46321]

Western Blot: PARN Antibody (4D12) [NBP2-46321] - Analysis of HEK293T cells were transfected with the pCMV6-ENTRY control (Left lane) or pCMV6-ENTRY PARN.
Immunohistochemistry: PARN Antibody (OTI4D12) [NBP2-46321]

Immunohistochemistry: PARN Antibody (OTI4D12) [NBP2-46321]

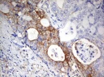
Immunohistochemistry: PARN Antibody (4D12) [NBP2-46321] - Analysis of Carcinoma of Human bladder tissue. (Heat-induced epitope retrieval by 10mM citric buffer, pH6.0, 120C for 3min)
Immunohistochemistry: PARN Antibody (OTI4D12) [NBP2-46321]

Immunohistochemistry: PARN Antibody (OTI4D12) [NBP2-46321]

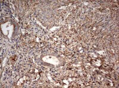
Immunohistochemistry: PARN Antibody (4D12) [NBP2-46321] - Analysis of Adenocarcinoma of Human breast tissue. (Heat-induced epitope retrieval by 10mM citric buffer, pH6.0, 120C for 3min)

Applications for PARN Antibody (OTI4D12)

Application
Recommended Usage

Immunohistochemistry

1:150

Western Blot

1:2000

Formulation, Preparation, and Storage

Purification

Immunogen affinity purified

Formulation

PBS (pH 7.3), 1.0% BSA and 50% Glycerol

Preservative

0.02% Sodium Azide

Concentration

1 mg/ml

Shipping

The product is shipped with polar packs. Upon receipt, store it immediately at the temperature recommended below.

Stability & Storage

Store at -20C. Avoid freeze-thaw cycles.

Background: PARN

Exonucleolytic degradation of the poly(A) tail is often the first step in the decay of eukaryotic mRNAs. The amino acid sequence of poly(A)-specific ribonuclease shows homology to the RNase D family of 3'-exonucleases. The protein appears to be localized in both the nucleus and the cytoplasm. It is not stably associated with polysomes or ribosomal subunits.

Alternate Names

DANEC 3.1.13.4, Deadenylating nuclease, Deadenylation nuclease, poly(A)-specific ribonuclease (deadenylation nuclease), poly(A)-specific ribonuclease PARN, Polyadenylate-specific ribonuclease

Gene Symbol

PARN

Additional PARN Products

Product Documents for PARN Antibody (OTI4D12)

Certificate of Analysis

To download a Certificate of Analysis, please enter a lot number in the search box below.

Product Specific Notices for PARN Antibody (OTI4D12)

This product is for research use only and is not approved for use in humans or in clinical diagnosis. Primary Antibodies are guaranteed for 1 year from date of receipt.

Loading...
Loading...
Loading...
Loading...