PAPSS1 Antibody - BSA Free
Novus Biologicals, part of Bio-Techne | Catalog # NBP2-97681
Conjugate
Catalog #
Key Product Details
Species Reactivity
Human
Applications
Immunohistochemistry, Immunohistochemistry-Paraffin, Western Blot, Immunocytochemistry/ Immunofluorescence, Immunoprecipitation
Label
Unconjugated
Antibody Source
Polyclonal Rabbit IgG
Format
BSA Free
Concentration
Please see the vial label for concentration. If unlisted please contact technical services.
Product Specifications
Immunogen
Produced in rabbits immunized with E. coli-derived Human PAPSS1 fragment.
Clonality
Polyclonal
Host
Rabbit
Isotype
IgG
Description
This antibody can be stored at 2C to 8C for one month without detectable loss of activity. Antibody products are stable for twelve months from date of receipt when stored at -20C to -80C. Avoid repeated freeze-thaw cycles.
Scientific Data Images for PAPSS1 Antibody - BSA Free
Western Blot: PAPSS1 Antibody [NBP2-97681]
Western Blot: PAPSS1 Antibody [NBP2-97681] - Anti-PAPSS1 rabbit polyclonal antibody at 1:500 dilution. Lane A: HepG2 Whole Cell Lysate Lane B: MCF7 Whole Cell Lysate Lysates/proteins at 30 ug per lane. Secondary Goat Anti-Rabbit IgG (H+L)/HRP at 1/10000 dilution. Developed using the ECL technique. Performed under reducing conditions. Predicted band size: 71 kDa. Observed band size: 72 kDaImmunohistochemistry-Paraffin: PAPSS1 Antibody [NBP2-97681]
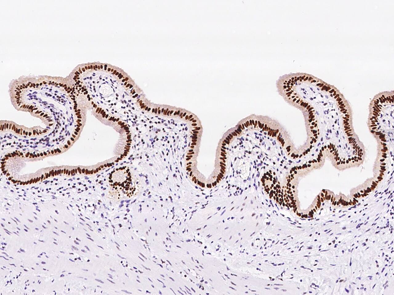
Immunohistochemistry-Paraffin: PAPSS1 Antibody [NBP2-97681] - Immunochemical staining of human PAPSS1 in human gallbladder with rabbit polyclonal antibody at 1:500 dilution, formalin-fixed paraffin embedded sections.Immunoprecipitation: PAPSS1 Antibody [NBP2-97681]
Immunoprecipitation: PAPSS1 Antibody [NBP2-97681] - PAPSS1 was immunoprecipitated using: Lane A: 0.5 mg MCF7 Whole Cell Lysate 4 ul anti-PAPSS1 rabbit polyclonal antibody and 60 ug of Immunomagnetic beads Protein A/G. Primary antibody: Anti-PAPSS1 rabbit polyclonal antibody, at 1:100 dilution. Secondary antibody: Goat Anti-Rabbit IgG (H+L)/HRP at 1/10000 dilution. Developed using the ECL technique. Performed under reducing conditions. Predicted band size: 71 kDa. Observed band size: 72 kDaApplications for PAPSS1 Antibody - BSA Free
Application
Recommended Usage
Immunocytochemistry/ Immunofluorescence
1:100-1:500
Immunohistochemistry-Paraffin
1:200-1:1000
Immunoprecipitation
5-10 uL/mg of lysate
Western Blot
1:500-1:2000
Formulation, Preparation, and Storage
Purification
Antigen and protein A Affinity-purified
Formulation
PBS
Format
BSA Free
Preservative
0.03% Proclin 300
Concentration
Please see the vial label for concentration. If unlisted please contact technical services.
Shipping
The product is shipped with polar packs. Upon receipt, store it immediately at the temperature recommended below.
Stability & Storage
Store at 4C short term. Aliquot and store at -20C long term. Avoid freeze-thaw cycles.
Background: PAPSS1
Alternate Names
3'-phosphoadenosine 5'-phosphosulfate synthase 1, ATPSK1SK 1, bifunctional 3'-phosphoadenosine 5'-phosphosulfate synthase 1, EC 2.7.1.25, PAPS synthase 1, PAPSS 1, PAPSS3-prime-phosphoadenosine 5-prime-phosphosulfate synthase 1, SK1, Sulfurylase kinase 1
Gene Symbol
PAPSS1
Additional PAPSS1 Products
Product Specific Notices for PAPSS1 Antibody - BSA Free
This product is for research use only and is not approved for use in humans or in clinical diagnosis. Primary Antibodies are guaranteed for 1 year from date of receipt.
Loading...
Loading...
Loading...
Loading...