Skip to main content

Pappalysin-2/PAPP-A2 Antibody - BSA Free

Novus Biologicals, part of Bio-Techne | Catalog # NBP1-87340

Novus Biologicals, part of Bio-Techne
Catalog #
Availability
Size / Price
Qty
Loading...
NBP1-87340
NBP1-87340-25ul

Key Product Details

Validated by

Orthogonal Validation, Independent Antibodies

Species Reactivity

Human

Applications

Immunohistochemistry, Immunohistochemistry-Paraffin

Label

Unconjugated

Antibody Source

Polyclonal Rabbit IgG

Format

BSA Free

Concentration

Concentrations vary lot to lot. See vial label for concentration. If unlisted please contact technical services.

Product Specifications

Immunogen

This antibody was developed against Recombinant Protein corresponding to amino acids: NPAGLRGAVEEPAAPWVGDSPIGQSELLGDDDAYLGNQRSKESLGEAGIQKGSAMAATTTTAIFTTLNEPKPETQRRGWAKSRQRRQVWKRRAEDGQGDSGISSHFQPWPKH

Clonality

Polyclonal

Host

Rabbit

Isotype

IgG

Description

Novus Biologicals Rabbit Pappalysin-2/PAPP-A2 Antibody - BSA Free (NBP1-87340) is a polyclonal antibody validated for use in IHC. All Novus Biologicals antibodies are covered by our 100% guarantee.

Scientific Data Images for Pappalysin-2/PAPP-A2 Antibody - BSA Free

Immunohistochemistry-Paraffin: Pappalysin-2/PAPP-A2 Antibody [NBP1-87340]

Immunohistochemistry-Paraffin: Pappalysin-2/PAPP-A2 Antibody [NBP1-87340]

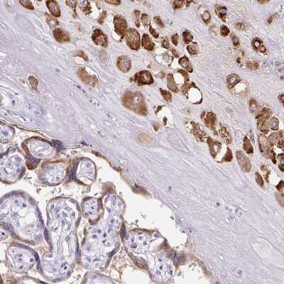
Immunohistochemistry-Paraffin: Pappalysin-2/PAPP-A2 Antibody [NBP1-87340] - Analysis in human placenta and prostate tissues using NBP1-87340 antibody. Corresponding PAPPA2 RNA-seq data are presented for the same tissues.
Immunohistochemistry-Paraffin: Pappalysin-2/PAPP-A2 Antibody [NBP1-87340]

Immunohistochemistry-Paraffin: Pappalysin-2/PAPP-A2 Antibody [NBP1-87340]

Immunohistochemistry-Paraffin: Pappalysin-2/PAPP-A2 Antibody [NBP1-87340] - Staining of human cerebral cortex, liver, placenta and prostate using Anti-PAPPA2 antibody NBP1-87340 (A) shows similar protein distribution across tissues to independent antibody NBP1-87339 (B).
Immunohistochemistry-Paraffin: Pappalysin-2/PAPP-A2 Antibody [NBP1-87340]

Immunohistochemistry-Paraffin: Pappalysin-2/PAPP-A2 Antibody [NBP1-87340]

Immunohistochemistry-Paraffin: Pappalysin-2/PAPP-A2 Antibody [NBP1-87340] - Staining of human cerebral cortex shows no positivity in neurons as expected.

Applications for Pappalysin-2/PAPP-A2 Antibody - BSA Free

Application
Recommended Usage

Immunohistochemistry

1:50 - 1:200

Immunohistochemistry-Paraffin

1:50 - 1:200
Application Notes
For IHC-Paraffin, HIER pH 6 retrieval is recommended.

Formulation, Preparation, and Storage

Purification

Affinity purified

Formulation

PBS (pH 7.2) and 40% Glycerol

Format

BSA Free

Preservative

0.02% Sodium Azide

Concentration

Concentrations vary lot to lot. See vial label for concentration. If unlisted please contact technical services.

Shipping

The product is shipped with polar packs. Upon receipt, store it immediately at the temperature recommended below.

Stability & Storage

Store at 4C short term. Aliquot and store at -20C long term. Avoid freeze-thaw cycles.

Background: Pappalysin-2/PAPP-A2

Metalloproteinase which specifically cleaves IGFBP-5. Shows limited proteolysis toward IGFBP-3

Long Name

Pregnancy-associated Plasma Protein

Alternate Names

PAPP-A2, PAPPA2, Pappalysin2, PAPPE, PLAC3

Gene Symbol

PAPPA2

Additional Pappalysin-2/PAPP-A2 Products

Product Documents for Pappalysin-2/PAPP-A2 Antibody - BSA Free

Certificate of Analysis

To download a Certificate of Analysis, please enter a lot number in the search box below.

Product Specific Notices for Pappalysin-2/PAPP-A2 Antibody - BSA Free

This product is for research use only and is not approved for use in humans or in clinical diagnosis. Primary Antibodies are guaranteed for 1 year from date of receipt.

Loading...
Loading...
Loading...
Loading...