Skip to main content

PA28 Activator gamma Subunit/PSME3 Antibody - Azide and BSA Free

Novus Biologicals, part of Bio-Techne | Catalog # NBP3-03887

Novus Biologicals, part of Bio-Techne
Catalog #
Availability
Size / Price
Qty
Loading...
NBP3-03887-100ul
NBP3-03887-20ul

Key Product Details

Validated by

Knockout/Knockdown

Species Reactivity

Human, Mouse

Applications

Knockout Validated, Western Blot

Label

Unconjugated

Antibody Source

Polyclonal Rabbit IgG

Format

Azide and BSA Free

Concentration

Please see the vial label for concentration. If unlisted please contact technical services.

Product Specifications

Immunogen

A synthetic peptide corresponding to a sequence within amino acids 200-254 of human PA28 Activator gamma Subunit/PSME3 (NP_005780.2). EDYRRTVTEIDEKEYISLRLIISELRNQYVTLHDMILKNIEKIKRPRSSNAETLY

Clonality

Polyclonal

Host

Rabbit

Isotype

IgG

Description

Novus Biologicals Knockout (KO) Validated Rabbit PA28 Activator gamma Subunit/PSME3 Antibody - Azide and BSA Free (NBP3-03887) is a polyclonal antibody validated for use in WB. All Novus Biologicals antibodies are covered by our 100% guarantee.

Scientific Data Images for PA28 Activator gamma Subunit/PSME3 Antibody - Azide and BSA Free

Knockout Validated: PA28 Activator gamma Subunit/PSME3 Antibody - Azide and BSA Free [NBP3-03887]

Western Blot: PA28 Activator gamma Subunit/PSME3 Antibody - Azide and BSA Free [NBP3-03887]

Western Blot: PA28 Activator gamma Subunit/PSME3 Antibody [NBP3-03887] - Analysis of extracts from normal (control) and PSME3 knockout (KO) 293T cells, using PA28 Activator gamma Subunit/PSME3 antibody at 1:3000 dilution. Secondary antibody: HRP Goat Anti-Rabbit IgG (H+L) at 1:10000 dilution. Lysates/proteins: 25ug per lane. Blocking buffer: 3% nonfat dry milk in TBST.
PA28 Activator gamma Subunit/PSME3 Antibody - Azide and BSA Free

Immunohistochemistry: PA28 Activator gamma Subunit/PSME3 Antibody - Azide and BSA Free [PA28 Activator gamma Subunit/PSME3] -

Immunohistochemistry: PA28 Activator gamma Subunit/PSME3 Antibody - Azide and BSA Free [PA28 Activator gamma Subunit/PSME3] - Immunohistochemistry analysis of paraffin-embedded Mouse lung using PA28 Activator gamma Subunit/PSME3 Rabbit pAb at dilution of 1:100 (40x lens). Microwave antigen retrieval performed with 0.01M PBS Buffer (pH 7.2) prior to IHC staining.
PA28 Activator gamma Subunit/PSME3 Antibody - Azide and BSA Free

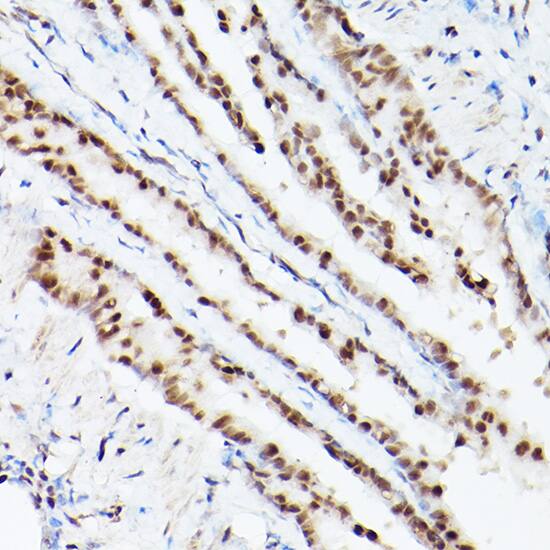
Immunocytochemistry/ Immunofluorescence: PA28 Activator gamma Subunit/PSME3 Antibody - Azide and BSA Free [PA28 Activator gamma Subunit/PSME3] -

Immunocytochemistry/ Immunofluorescence: PA28 Activator gamma Subunit/PSME3 Antibody - Azide and BSA Free [PA28 Activator gamma Subunit/PSME3] - Immunofluorescence analysis of NIH-3T3 cells using PA28 Activator gamma Subunit/PSME3 Rabbit pAb at dilution of 1:100 (40x lens). Secondary antibody: Cy3-conjugated Goat anti-Rabbit IgG (H+L) at 1:500 dilution. Blue: DAPI for nuclear staining.

Applications for PA28 Activator gamma Subunit/PSME3 Antibody - Azide and BSA Free

Application
Recommended Usage

Western Blot

1:1000 - 1:2000

Formulation, Preparation, and Storage

Purification

Affinity purified

Formulation

PBS (pH 7.3), 50% glycerol

Format

Azide and BSA Free

Preservative

0.01% Thimerosal

Concentration

Please see the vial label for concentration. If unlisted please contact technical services.

Shipping

The product is shipped with polar packs. Upon receipt, store it immediately at the temperature recommended below.

Stability & Storage

Store at -20C. Avoid freeze-thaw cycles.

Background: PA28 Activator gamma Subunit

The 26S proteasome is a multicatalytic proteinase complex with a highly ordered structure composed of 2 complexes, a 20S core and a 19S regulator. The 20S core is composed of 4 rings of 28 non-identical subunits; 2 rings are composed of 7 alpha subunits and 2 rings are composed of 7 beta subunits. The 19S regulator is composed of a base, which contains 6 ATPase subunits and 2 non-ATPase subunits, and a lid, which contains up to 10 non-ATPase subunits. Proteasomes are distributed throughout eukaryotic cells at a high concentration and cleave peptides in an ATP/ubiquitin-dependent process in a non-lysosomal pathway. An essential function of a modified proteasome, the immunoproteasome, is the processing of class I MHC peptides. The immunoproteasome contains an alternate regulator, referred to as the 11S regulator or PA28, that replaces the 19S regulator. Three subunits (alpha, beta and gamma) of the 11S regulator have been identified. This gene encodes the gamma subunit of the 11S regulator. Six gamma subunits combine to form a homohexameric ring. Two transcript variants encoding different isoforms have been identified.

Long Name

Proteasome (Prosome, Macropain) Activator Subunit 3

Alternate Names

PSME3, REG gamma

Gene Symbol

PSME3

Additional PA28 Activator gamma Subunit Products

Product Documents for PA28 Activator gamma Subunit/PSME3 Antibody - Azide and BSA Free

Certificate of Analysis

To download a Certificate of Analysis, please enter a lot number in the search box below.

Product Specific Notices for PA28 Activator gamma Subunit/PSME3 Antibody - Azide and BSA Free

This product is for research use only and is not approved for use in humans or in clinical diagnosis. Primary Antibodies are guaranteed for 1 year from date of receipt.

Loading...
Loading...
Loading...
Loading...

⚠ WARNING: This product can expose you to chemicals including Methotrexate, which is known to the State of California to cause reproductive toxicity with developmental effects. For more information, go to www.P65Warnings.ca.gov