Skip to main content

PA28 Activator gamma Subunit/PSME3 Antibody - Azide and BSA Free

Novus Biologicals, part of Bio-Techne | Catalog # NBP3-00357

Novus Biologicals, part of Bio-Techne

Key Product Details

Species Reactivity

Human

Applications

ELISA, Immunocytochemistry/ Immunofluorescence, Immunohistochemistry-Paraffin, Immunoprecipitation, Western Blot

Label

Unconjugated

Antibody Source

Polyclonal Rabbit IgG

Format

Azide and BSA Free

Concentration

Please see the vial label for concentration. If unlisted please contact technical services.

Product Specifications

Immunogen

Produced in rabbits immunized with purified, recombinant Human PA28 Activator gamma Subunit/PSME3 (Accession#: P61289-1; Met1-Tyr254)

Clonality

Polyclonal

Host

Rabbit

Isotype

IgG

Description

This antibody can be stored at 2C to 8C for one month without detectable loss of activity. Antibody products are stable for twelve months from date of receipt when stored at -20C to -80C. Avoid repeated freeze-thaw cycles.

Scientific Data Images for PA28 Activator gamma Subunit/PSME3 Antibody - Azide and BSA Free

PA28 Activator gamma Subunit/PSME3 Antibody - Azide and BSA Free

Western Blot: PA28 Activator gamma Subunit/PSME3 Antibody [NBP3-00357] -

Western Blot: PA28 Activator gamma Subunit/PSME3 Antibody [NBP3-00357] - NBP3-00357 at 1:500 dilution Lane A: Jurkat Whole Cell Lysate Lane B: HepG2 Whole Cell Lysate Lysates/proteins at 30 ug per lane. Secondary Goat Anti-Rabbit IgG (H+L)/HRP at 1/10000 dilution. Developed using the ECL technique. Performed under reducing conditions. Predicted band size:29 kDa Observed band size:30 kDa
PA28 Activator gamma Subunit/PSME3 Antibody - Azide and BSA Free

Immunocytochemistry/ Immunofluorescence: PA28 Activator gamma Subunit/PSME3 Antibody [NBP3-00357] -

Immunocytochemistry/ Immunofluorescence: PA28 Activator gamma Subunit/PSME3 Antibody [NBP3-00357] - Immunofluorescence staining of PA28 Activator gamma Subunit/PSME3 in HeLa cells. Cells were fixed with 4% PFA, permeabilzed with 0.1% Triton X-100 in PBS,blocked with 10% serum, and incubated with NBP3-00357 (dilution ratio 1:300) at 4 overnight. Then cells were stained with the Alexa Fluor$488-conjugated Goat Anti-rabbit IgG secondary antibody (green). Positive staining was localized to nucleus.
PA28 Activator gamma Subunit/PSME3 Antibody - Azide and BSA Free

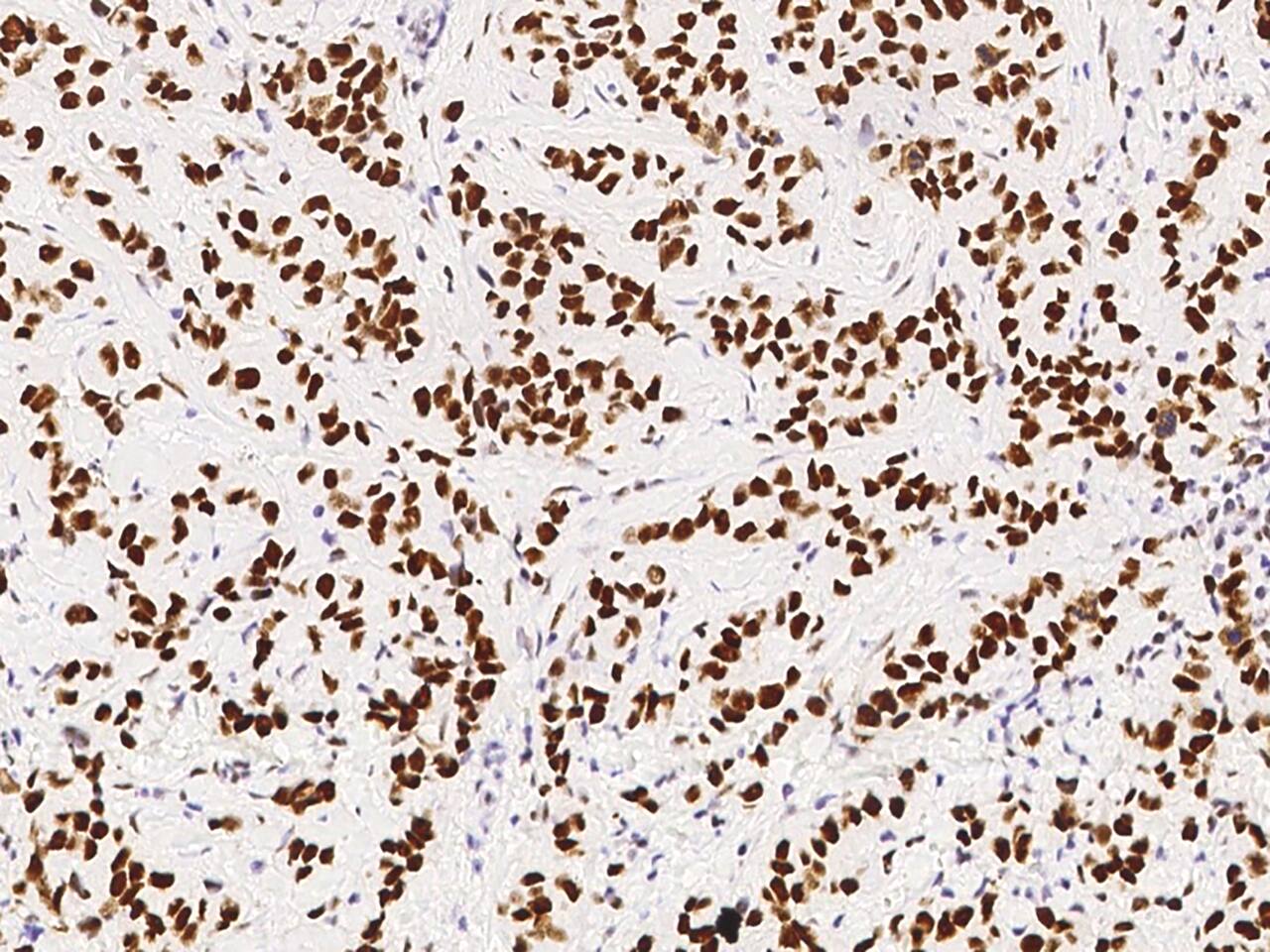
Immunohistochemistry-Paraffin: PA28 Activator gamma Subunit/PA28 Activator gamma Subunit/PSME3 Antibody [NBP3-00357] -

Immunohistochemistry-Paraffin: PA28 Activator gamma Subunit/PA28 Activator gamma Subunit/PSME3 Antibody [NBP3-00357] - Immunochemical staining of human PA28 Activator gamma Subunit/PSME3 in human breast carcinoma with NBP3-00357 at 1:10000 dilution, formalin-fixed paraffin embedded sections.

Applications for PA28 Activator gamma Subunit/PSME3 Antibody - Azide and BSA Free

Application
Recommended Usage

ELISA

1:5000-1:10000

Immunocytochemistry/ Immunofluorescence

1:200-1:1000

Immunohistochemistry-Paraffin

1:2000-1:20000

Immunoprecipitation

0.5-2 uL/mg of lysate

Western Blot

1:500-1:2000

Formulation, Preparation, and Storage

Purification

Antigen and protein A Affinity-purified

Formulation

0.2 um filtered solution in PBS

Format

Azide and BSA Free

Preservative

No Preservative

Concentration

Please see the vial label for concentration. If unlisted please contact technical services.

Shipping

The product is shipped with polar packs. Upon receipt, store it immediately at the temperature recommended below.

Stability & Storage

Store at 4C short term. Aliquot and store at -20C long term. Avoid freeze-thaw cycles.

Background: PA28 Activator gamma Subunit

The 26S proteasome is a multicatalytic proteinase complex with a highly ordered structure composed of 2 complexes, a 20S core and a 19S regulator. The 20S core is composed of 4 rings of 28 non-identical subunits; 2 rings are composed of 7 alpha subunits and 2 rings are composed of 7 beta subunits. The 19S regulator is composed of a base, which contains 6 ATPase subunits and 2 non-ATPase subunits, and a lid, which contains up to 10 non-ATPase subunits. Proteasomes are distributed throughout eukaryotic cells at a high concentration and cleave peptides in an ATP/ubiquitin-dependent process in a non-lysosomal pathway. An essential function of a modified proteasome, the immunoproteasome, is the processing of class I MHC peptides. The immunoproteasome contains an alternate regulator, referred to as the 11S regulator or PA28, that replaces the 19S regulator. Three subunits (alpha, beta and gamma) of the 11S regulator have been identified. This gene encodes the gamma subunit of the 11S regulator. Six gamma subunits combine to form a homohexameric ring. Two transcript variants encoding different isoforms have been identified.

Long Name

Proteasome (Prosome, Macropain) Activator Subunit 3

Alternate Names

PSME3, REG gamma

Gene Symbol

PSME3

Additional PA28 Activator gamma Subunit Products

Product Documents for PA28 Activator gamma Subunit/PSME3 Antibody - Azide and BSA Free

Certificate of Analysis

To download a Certificate of Analysis, please enter a lot number in the search box below.

Product Specific Notices for PA28 Activator gamma Subunit/PSME3 Antibody - Azide and BSA Free

This product is for research use only and is not approved for use in humans or in clinical diagnosis. Primary Antibodies are guaranteed for 1 year from date of receipt.

Loading...
Loading...
Loading...
Loading...