PA28 Activator beta Subunit/PSME2 Antibody (1G4) - Azide and BSA Free
Novus Biologicals, part of Bio-Techne | Catalog # H00005721-M02
Key Product Details
Species Reactivity
Human
Applications
ELISA, Immunohistochemistry, Immunohistochemistry-Paraffin, Immunoprecipitation, Western Blot
Label
Unconjugated
Antibody Source
Monoclonal Mouse IgG2a Kappa Clone # 1G4
Format
Azide and BSA Free
Concentration
Concentrations vary lot to lot. See vial label for concentration. If unlisted please contact technical services.
Product Specifications
Immunogen
PSME2 (NP_002809, 1 a.a. ~ 90 a.a) partial recombinant protein with GST tag. MW of the GST tag alone is 26 KDa. MAKPCGVRLSGEARKQVEVFRQNLFQEAEEFLYRFLPQKIIYLNQLLQEDSLNVADLTSLRAPLDIPIPDPPPKDDEMETDKQEKKEVHK
Specificity
PSME2 - proteasome (prosome, macropain) activator subunit 2 (PA28 beta)
Clonality
Monoclonal
Host
Mouse
Isotype
IgG2a Kappa
Description
Quality control test: Antibody Reactive Against Recombinant Protein.
Scientific Data Images for PA28 Activator beta Subunit/PSME2 Antibody (1G4) - Azide and BSA Free
Western Blot: PA28 Activator beta Subunit/PSME2 Antibody (1G4) [H00005721-M02]
Western Blot: PA28 Activator beta Subunit/PSME2 Antibody (1G4) [H00005721-M02] - Analysis of PSME2 expression in transfected 293T cell line by PSME2 monoclonal antibody (M02), clone 1G4.Lane 1: PSME2 transfected lysate(27.4 KDa).Lane 2: Non-transfected lysate.Immunohistochemistry-Paraffin: PA28 Activator beta Subunit/PSME2 Antibody (1G4) [H00005721-M02]
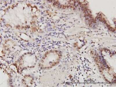
Immunohistochemistry-Paraffin: PA28 Activator beta Subunit/PSME2 Antibody (1G4) [H00005721-M02] - Analysis of monoclonal antibody to PSME2 on formalin-fixed paraffin-embedded human stomach carcinoma. Antibody concentration 6 ug/ml.Western Blot: PA28 Activator beta Subunit/PSME2 Antibody (1G4) [H00005721-M02]
Western Blot: PA28 Activator beta Subunit/PSME2 Antibody (1G4) [H00005721-M02] - PSME2 monoclonal antibody (M02), clone 1G4 Analysis of PSME2 expression in MCF-7.Applications for PA28 Activator beta Subunit/PSME2 Antibody (1G4) - Azide and BSA Free
Application
Recommended Usage
Western Blot
1:500
Application Notes
Antibody reactivity against cell lysate and recombinant protein for WB. It has also been used for IHC-P and ELISA.
Formulation, Preparation, and Storage
Purification
IgG purified
Formulation
In 1x PBS, pH 7.4
Format
Azide and BSA Free
Preservative
No Preservative
Concentration
Concentrations vary lot to lot. See vial label for concentration. If unlisted please contact technical services.
Shipping
The product is shipped with polar packs. Upon receipt, store it immediately at the temperature recommended below.
Stability & Storage
Aliquot and store at -20C or -80C. Avoid freeze-thaw cycles.
Background: PA28 Activator beta Subunit
Long Name
Proteasome (Prosome, Macropain) Activator Subunit 2
Alternate Names
MCP Activator, PSME2
Entrez Gene IDs
5721 (Human)
Gene Symbol
PSME2
OMIM
602161 (Human)
UniProt
Additional PA28 Activator beta Subunit Products
Product Documents for PA28 Activator beta Subunit/PSME2 Antibody (1G4) - Azide and BSA Free
Product Specific Notices for PA28 Activator beta Subunit/PSME2 Antibody (1G4) - Azide and BSA Free
This product is produced by and distributed for Abnova, a company based in Taiwan.
This product is for research use only and is not approved for use in humans or in clinical diagnosis. Primary Antibodies are guaranteed for 1 year from date of receipt.
Loading...
Loading...
Loading...
Loading...