Skip to main content

p40/deltaNp63 Antibody (P40/8225R) - Azide and BSA Free

Novus Biologicals, part of Bio-Techne | Catalog # NBP3-20793

Recombinant Monoclonal Antibody
Novus Biologicals, part of Bio-Techne

Key Product Details

Species Reactivity

Human

Applications

Immunohistochemistry-Paraffin

Label

Unconjugated

Antibody Source

Recombinant Monoclonal Rabbit IgG Kappa Clone # P40/8225R

Format

Azide and BSA Free

Concentration

1 mg/ml

Product Specifications

Immunogen

Recombinant fragment (around aa1-200) of human p40/deltaNp63 protein (exact sequence is proprietary)

Localization

Nucleus.

Specificity

The p40 (clone P40/8225R) antibody recognizes exclusively delta-Np63 but not TAp63 p40 is a squamous cell carcinoma specific antibody It reacts with the vast majority of cases of squamous cell carcinomas of various origins, but not with adenocarcinomas It is particularly useful in differentiating lung squamous cell carcinoma from lung poorly differentiated adenocarcinoma p40 antibody can also be used as an alternative basal cell/myoepithelial cell marker, which has similar sensitivity and specificity as that of p63 antibody Therefore, p40 antibody may also be used as an alternative immunohistochemical marker for determining prostate adenocarcinoma vs benign prostate glands and for determining breast intraductal carcinoma vs invasive breast ductal carcinoma

Clonality

Monoclonal

Host

Rabbit

Isotype

IgG Kappa

Description

Positive Controls: HeLa cells. Human prostate or lung tissue (IHC).

Antibody with azide - store at 2 to 8C. Antibody without azide - store at -20 to -80C. Non-hazardous. No MSDS required.

Scientific Data Images for p40/deltaNp63 Antibody (P40/8225R) - Azide and BSA Free

p40/deltaNp63 Antibody (P40/8225R) - Azide and BSA Free

p40/deltaNp63 Antibody (P40/8225R)

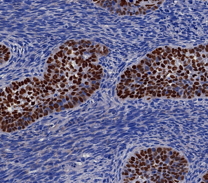
Formalin-fixed, paraffin-embedded human prostate carcinoma stained with p40/deltaNp63 antibody (P40/8225R). HIER: Tris/EDTA, pH9.0, 45min. 2: HRP-polymer, 30min. DAB, 5min.
p40/deltaNp63 Antibody (P40/8225R) - Azide and BSA Free

p40/deltaNp63 Antibody (P40/8225R)

Formalin-fixed, paraffin-embedded human lung carcinoma stained with p40/deltaNp63 antibody (P40/8225R). HIER: Tris/EDTA, pH9.0, 45min. 2: HRP-polymer, 30min. DAB, 5min.

Applications for p40/deltaNp63 Antibody (P40/8225R) - Azide and BSA Free

Application
Recommended Usage

Immunohistochemistry-Paraffin

1-2 ug/ml
Application Notes
Immunohistochemistry (Formalin-fixed): 1-2ug/ml for 30 minutes. at RT. Staining of formalin-fixed tissues requires heating tissue sections in 10mM Tris with 1mM EDTA, pH 9.0, for 45 min at 95C followed by cooling at RT for 20 minutes.

Optimal dilution for a specific application should be determined.

Formulation, Preparation, and Storage

Purification

Protein A purified

Formulation

10mM PBS

Format

Azide and BSA Free

Preservative

No Preservative

Concentration

1 mg/ml

Shipping

The product is shipped with polar packs. Upon receipt, store it immediately at the temperature recommended below.

Stability & Storage

Store at -20 to -70C. Avoid freeze-thaw cycles.

Background: p40/deltaNp63

Alternate Names

AIS, amplified in squamous cell carcinoma, B(p51A), B(p51B), Chronic ulcerative stomatitis protein, EEC3, Keratinocyte transcription factor KET, KET, LMS, OFC8, p53CP, SHFM4, TP53CP, TP53L, TP63, TP73L, Transformation-related protein 63, tumor protein p53-competing protein

Gene Symbol

TP63

Additional p40/deltaNp63 Products

Product Documents for p40/deltaNp63 Antibody (P40/8225R) - Azide and BSA Free

Certificate of Analysis

To download a Certificate of Analysis, please enter a lot number in the search box below.

Product Specific Notices for p40/deltaNp63 Antibody (P40/8225R) - Azide and BSA Free

This product is for research use only and is not approved for use in humans or in clinical diagnosis. Primary Antibodies are guaranteed for 1 year from date of receipt.

Loading...
Loading...
Loading...
Loading...