Skip to main content

p38 delta/SAPK4 Antibody (OTI12B2) - Azide and BSA Free

Novus Biologicals, part of Bio-Techne | Catalog # NBP2-73188

Novus Biologicals, part of Bio-Techne

Key Product Details

Species Reactivity

Human, Mouse, Rat, Canine, Monkey

Applications

Immunohistochemistry, Immunohistochemistry-Paraffin, Western Blot, Immunocytochemistry/ Immunofluorescence

Label

Unconjugated

Antibody Source

Monoclonal Mouse IgG2B Clone # OTI12B2

Format

Azide and BSA Free

Concentration

LYOPH mg/ml

Product Specifications

Immunogen

Full length human recombinant protein of human MAPK13(NP_002745) produced in HEK293T cell.

Reactivity Notes

Please note that this antibody is reactive to Mouse and derived from the same host, Mouse. Mouse-On-Mouse blocking reagent may be needed for IHC and ICC experiments to reduce high background signal. You can find these reagents under catalog numbers PK-2200-NB and MP-2400-NB. Please contact Technical Support if you have any questions.

Clonality

Monoclonal

Host

Mouse

Isotype

IgG2B

Theoretical MW

41.9 kDa.
Disclaimer note: The observed molecular weight of the protein may vary from the listed predicted molecular weight due to post translational modifications, post translation cleavages, relative charges, and other experimental factors.

Description

Novus Biologicals Mouse p38 delta/SAPK4 Antibody (OTI12B2) - Azide and BSA Free (NBP2-45742) is a monoclonal antibody validated for use in IHC, WB and ICC/IF. All Novus Biologicals antibodies are covered by our 100% guarantee.

Scientific Data Images for p38 delta/SAPK4 Antibody (OTI12B2) - Azide and BSA Free

Western Blot: p38 delta/SAPK4 Antibody (OTI12B2)Azide and BSA Free [NBP2-73188]

Western Blot: p38 delta/SAPK4 Antibody (OTI12B2)Azide and BSA Free [NBP2-73188]

Western Blot: p38 delta/SAPK4 Antibody (OTI12B2) - Azide and BSA Free [NBP2-73188] - Analysis of HEK293T cells were transfected with the pCMV6-ENTRY control (Left lane) or pCMV6-ENTRY p38 delta/SAPK4.
Immunocytochemistry/ Immunofluorescence: p38 delta/SAPK4 Antibody (OTI12B2) - Azide and BSA Free [NBP2-73188]

Immunocytochemistry/ Immunofluorescence: p38 delta/SAPK4 Antibody (OTI12B2) - Azide and BSA Free [NBP2-73188]

Immunocytochemistry/Immunofluorescence: p38 delta/SAPK4 Antibody (OTI12B2) - Azide and BSA Free [NBP2-73188] - Analysis of COS7 cells transiently transfected by pCMV6-ENTRY p38 delta/SAPK4.
Western Blot: p38 delta/SAPK4 Antibody (OTI12B2)Azide and BSA Free [NBP2-73188]

Western Blot: p38 delta/SAPK4 Antibody (OTI12B2)Azide and BSA Free [NBP2-73188]

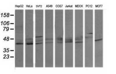
Western Blot: p38 delta/SAPK4 Antibody (OTI12B2) - Azide and BSA Free [NBP2-73188] - Analysis of extracts (35ug) from 9 different cell lines (HepG2: human; HeLa: human; SVT2: mouse; A549: human; COS7: monkey; Jurkat: human; MDCK: canine; PC12: rat; MCF7: human).

Applications for p38 delta/SAPK4 Antibody (OTI12B2) - Azide and BSA Free

Application
Recommended Usage

Immunocytochemistry/ Immunofluorescence

1:100

Immunohistochemistry

1:150

Western Blot

1:200-2000

Formulation, Preparation, and Storage

Purification

Immunogen affinity purified

Reconstitution

we recommend adding 100uL distilled water to a final antibody concentration of about 1 mg/mL. To use this carrier-free antibody for conjugation experiment, we strongly recommend performing another round of desalting process.

Formulation

Lyophilized from PBS (pH 7.3) with 8% Trehalose

Format

Azide and BSA Free

Preservative

No Preservative

Concentration

LYOPH mg/ml

Shipping

The product is shipped with polar packs. Upon receipt, store it immediately at the temperature recommended below.

Stability & Storage

Store at -20C. Avoid freeze-thaw cycles.

Background: p38 delta

SAPK4 is encoded by this gene is a member of the MAP kinase family. MAP kinases act as an integration point for multiple biochemical signals, and are involved in a wide variety of cellular processes such as proliferation, differentiation, transcription regulation and development. This kinase is closely related to p38 MAP kinase, both of which can be activated by proinflammatory cytokines and cellular stress. MAP kinase kinases 3, and 6 can phosphorylate and activate this kinase. Transcription factor ATF2, and microtubule dynamics regulator stathmin have been shown to be the substrates of this kinase.

Alternate Names

MAPK13

Gene Symbol

MAPK13

Additional p38 delta Products

Product Documents for p38 delta/SAPK4 Antibody (OTI12B2) - Azide and BSA Free

Certificate of Analysis

To download a Certificate of Analysis, please enter a lot number in the search box below.

Product Specific Notices for p38 delta/SAPK4 Antibody (OTI12B2) - Azide and BSA Free

This product is for research use only and is not approved for use in humans or in clinical diagnosis. Primary Antibodies are guaranteed for 1 year from date of receipt.

Loading...
Loading...
Loading...
Loading...
Loading...