p16INK4a/CDKN2A Antibody (CDKN2A/7081R)
Novus Biologicals, part of Bio-Techne | Catalog # NBP3-13834
Recombinant Monoclonal Antibody
Conjugate
Catalog #
Forumulation
Catalog #
Key Product Details
Species Reactivity
Human
Applications
Immunohistochemistry-Paraffin, Western Blot
Label
Unconjugated
Antibody Source
Recombinant Monoclonal Rabbit IgG Kappa Clone # CDKN2A/7081R
Concentration
0.2 mg/ml
Product Specifications
Immunogen
Purified recombinant prokaryotic full-length human p16INK4a protein (Uniprot: P42771)
Localization
Nucleus, Cytoplasm
Clonality
Monoclonal
Host
Rabbit
Isotype
IgG Kappa
Theoretical MW
14 kDa.
Disclaimer note: The observed molecular weight of the protein may vary from the listed predicted molecular weight due to post translational modifications, post translation cleavages, relative charges, and other experimental factors.
Disclaimer note: The observed molecular weight of the protein may vary from the listed predicted molecular weight due to post translational modifications, post translation cleavages, relative charges, and other experimental factors.
Description
200ug/ml of antibody purified from Bioreactor Concentrate by Protein A or G. Prepared in 10 mM PBS with 0.05% BSA & 0.05% azide. Also available WITHOUT BSA & azide at 1.0 mg/ml. (NBP3-14227)
Antibody with azide - store at 2 to 8C. Antibody without azide - store at -20 to -80 C.
Antibody with azide - store at 2 to 8C. Antibody without azide - store at -20 to -80 C.
Scientific Data Images for p16INK4a/CDKN2A Antibody (CDKN2A/7081R)
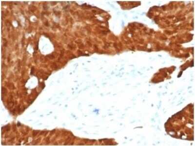
Immunohistochemistry-Paraffin: p16INK4a/CDKN2A Antibody (CDKN2A/7081R) [NBP3-13834]
Immunohistochemistry-Paraffin: p16INK4a/CDKN2A Antibody (CDKN2A/7081R) [NBP3-13834] - Formalin-fixed, paraffin-embedded human ovarian carcinoma stained with p16INK4a/CDKN2A antibody (CDKN2A/7081R).Immunohistochemistry-Paraffin: p16INK4a/CDKN2A Antibody (CDKN2A/7081R) [NBP3-13834]
Immunohistochemistry-Paraffin: p16INK4a/CDKN2A Antibody (CDKN2A/7081R) [NBP3-13834] - Formalin-fixed, paraffin-embedded human ovarian carcinoma stained with p16INK4a/CDKN2A antibody (CDKN2A/7081R).Western Blot: p16INK4a/CDKN2A Antibody (CDKN2A/7081R) [NBP3-13834] -
Western Blot Analysis of HEK293T cell lysate using p16INK4a/CDKN2A Antibody (CDKN2A/7081R).Applications for p16INK4a/CDKN2A Antibody (CDKN2A/7081R)
Application
Recommended Usage
Immunohistochemistry-Paraffin
1-2 ug/ml
Western Blot
1-2 ug/ml
Application Notes
Immunohistochemistry (Formalin-fixed): 1-2ug/ml for 30 minutes at RT. Staining of formalin-fixed tissues requires heating tissue sections in 10mM Tris with 1mM EDTA, pH 9.0, for 45 min at 95C followed by cooling at RT for 20 minutes
Formulation, Preparation, and Storage
Purification
Protein A or G purified
Formulation
10 mM PBS with 0.05% BSA
Preservative
0.05% Sodium Azide
Concentration
0.2 mg/ml
Shipping
The product is shipped with polar packs. Upon receipt, store it immediately at the temperature recommended below.
Stability & Storage
Store at 4C.
Background: p16INK4a / CDKN2A
Long Name
p16 Cyclin Dependent Kinase 4 Inhibitor 2A
Alternate Names
ARF, CDK4I, CDKN2A, INK4a, MLM, p14ARF, p16, p19ARF
Gene Symbol
CDKN2A
UniProt
Additional p16INK4a / CDKN2A Products
Product Documents for p16INK4a/CDKN2A Antibody (CDKN2A/7081R)
Product Specific Notices for p16INK4a/CDKN2A Antibody (CDKN2A/7081R)
This product is for research use only and is not approved for use in humans or in clinical diagnosis. Primary Antibodies are guaranteed for 1 year from date of receipt.
Loading...
Loading...
Loading...
Loading...