Skip to main content

p120-catenin Antibody (PD00-43)

Novus Biologicals, part of Bio-Techne | Catalog # NBP3-32263

Recombinant Monoclonal Antibody
Novus Biologicals, part of Bio-Techne
Catalog #
Availability
Size / Price
Qty
Loading...
NBP3-32263

Key Product Details

Species Reactivity

Human

Applications

Immunohistochemistry, Immunohistochemistry-Paraffin, Western Blot

Label

Unconjugated

Antibody Source

Recombinant Monoclonal Rabbit IgG Clone # PD00-43 expressed in HEK293

Concentration

1 mg/ml

Product Specifications

Immunogen

Synthetic peptide within Human p120-catenin aa 850-950 (C terminal). (Uniprot: O60716)

Localization

Cytoplasm, Cell membrane, Nucleus.

Clonality

Monoclonal

Host

Rabbit

Isotype

IgG

Theoretical MW

108 kDa.
Disclaimer note: The observed molecular weight of the protein may vary from the listed predicted molecular weight due to post translational modifications, post translation cleavages, relative charges, and other experimental factors.

Description

Novus Biologicals Rabbit p120-catenin Antibody (PD00-43) (NBP3-32263) is a recombinant monoclonal antibody validated for use in IHC and WB. All Novus Biologicals antibodies are covered by our 100% guarantee.

Scientific Data Images for p120-catenin Antibody (PD00-43)

p120-catenin Antibody (PD00-43)

Western Blot: p120-catenin Antibody (PD00-43) [NBP3-32263]

Western Blot: p120-catenin Antibody (PD00-43) [NBP3-32263] - Western blot analysis of p120-catenin on SK-Br-3 cell lysates with Rabbit anti-p120-catenin antibody (NBP3-32263) at 1/1,000 dilution.

Lysates/proteins at 10 ug/Lane.

Predicted band size: 108 kDa
Observed band size: 95 kDa

Exposure time: 1 minute;

6% SDS-PAGE gel.

Proteins were transferred to a PVDF membrane and blocked with 5% NFDM/TBST for 1 hour at room temperature. The primary antibody (NBP3-32263) at 1/1,000 dilution was used in 5% NFDM/TBST at room temperature for 2 hours. Goat Anti-Rabbit IgG - HRP Secondary Antibody at 1:300,000 dilution was used for 1 hour at room temperature.
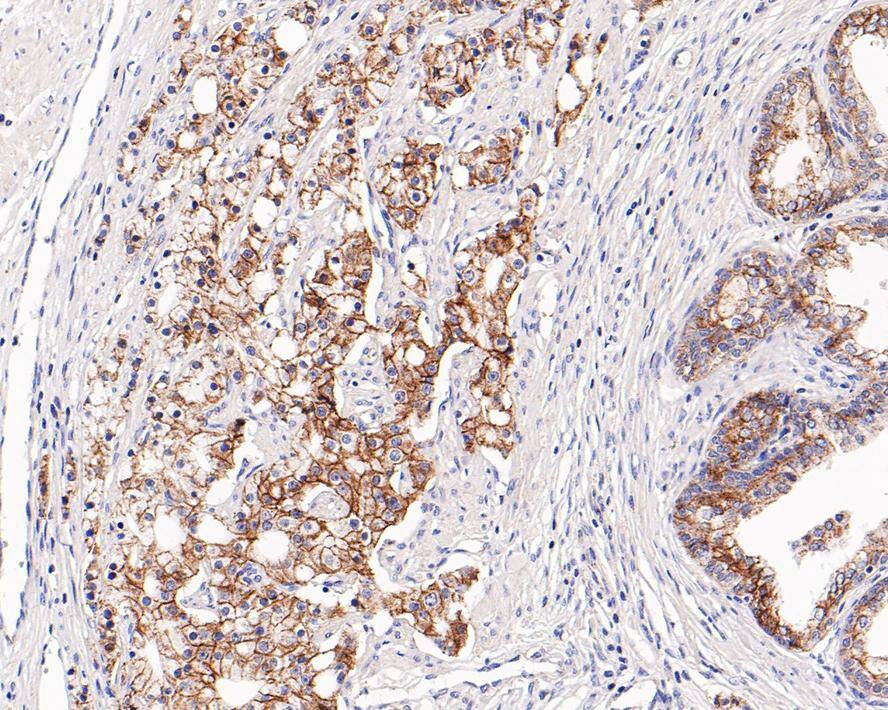
p120-catenin Antibody (PD00-43)

Immunohistochemistry: p120-catenin Antibody (PD00-43) [NBP3-32263]

Immunohistochemistry: p120-catenin Antibody (PD00-43) [NBP3-32263] - Immunohistochemical analysis of paraffin-embedded human prostate carcinoma tissue with Rabbit anti-p120-catenin antibody (NBP3-32263) at 1/2,000 dilution.

The section was pre-treated using heat mediated antigen retrieval with Tris-EDTA buffer (pH 9.0) for 20 minutes. The tissues were blocked in 1% BSA for 20 minutes at room temperature, washed with ddH2O and PBS, and then probed with the primary antibody (NBP3-32263) at 1/2,000 dilution for 1 hour at room temperature. The detection was performed using an HRP conjugated compact polymer system. DAB was used as the chromogen. Tissues were counterstained with hematoxylin and mounted with DPX.

Applications for p120-catenin Antibody (PD00-43)

Application
Recommended Usage

Immunohistochemistry-Paraffin

1:500-1:2000

Western Blot

1:1000

Formulation, Preparation, and Storage

Purification

Protein A purified

Formulation

PBS (pH7.4), 0.1% BSA and 40% Glycerol

Preservative

0.05% Sodium Azide

Concentration

1 mg/ml

Shipping

The product is shipped with polar packs. Upon receipt, store it immediately at the temperature recommended below.

Stability & Storage

Store at 4C short term. Aliquot and store at -20C long term. Avoid freeze-thaw cycles.

Background: p120-catenin

The alpha, beta, delta, and gamma -catenins are proteins that bind to the highly conserved, intracellular cytoplasmic tail of E-cadherin. Together, the catenin/cadherin complexes play an important role mediating cellular adhesion. alpha-catenin, a 102 kDa protein, interacts with E-cadherin associated protein, and also associates with other members of the cadherin family, such as N-cadherin and P-cadherin. The 92 kDa beta-catenin associates with the cytoplasmic portion of E-cadherin, which is necessary for the function of E-cadherin as an adhesion molecule. beta-catenin also complexes with the tumor suppressor protein APC. delta-catenin interacts with Presenilin 1 and is expressed in the brain. The gene encoding delta-catenin maps to human chromosome 5p15.2. A hemizygous loss of the gene encoding delta-catenin leads to the mental retardation associated with Cri-du-Chat syndrome. gamma-catenin, also known as plakoglobin, is an 80-88 kDa protein that binds alpha-catenin and N-cadherin. In addition, the transmembrane phosphatase PTPm associates with catenin/cadherin complexes and may regulate complex signaling.

Alternate Names

Cadherin-associated Src substrate, CAS, catenin (cadherin-associated protein), delta 1, catenin delta-1, CTNND, KIAA0384P120CAS, p120, p120 catenin, p120(cas), p120(CTN), p120cas, p120ctn

Gene Symbol

CTNND1

Additional p120-catenin Products

Product Documents for p120-catenin Antibody (PD00-43)

Certificate of Analysis

To download a Certificate of Analysis, please enter a lot number in the search box below.

Product Specific Notices for p120-catenin Antibody (PD00-43)

This product is for research use only and is not approved for use in humans or in clinical diagnosis. Primary Antibodies are guaranteed for 1 year from date of receipt.

Loading...
Loading...
Loading...
Loading...