Skip to main content

p120-catenin Antibody (5N7Z0)

Novus Biologicals, part of Bio-Techne | Catalog # NBP3-15375

Recombinant Monoclonal Antibody
Novus Biologicals, part of Bio-Techne
Catalog #
Availability
Size / Price
Qty
Loading...
NBP3-15375-100ul
NBP3-15375-20ul

Key Product Details

Species Reactivity

Human, Mouse, Rat

Applications

Immunohistochemistry, Immunohistochemistry-Paraffin, Immunoprecipitation, Western Blot

Label

Unconjugated

Antibody Source

Recombinant Monoclonal Rabbit IgG Clone # 5N7Z0 expressed in HEK293

Concentration

Please see the vial label for concentration. If unlisted please contact technical services.

Product Specifications

Immunogen

A synthetic peptide corresponding to a sequence within amino acids 869-968 of human p120-catenin (O60716). TLPLIDRNQKSDKKPDREEIQMSNMGSNTKSLDNNYSTPNERGDHNRTLDRSGDLGDMEPLKGTTPLMQDEGQESLEEELDVLVLDDEGGQVSYPSMQKI

Clonality

Monoclonal

Host

Rabbit

Isotype

IgG

Description

Novus Biologicals Rabbit p120-catenin Antibody (5N7Z0) (NBP3-15375) is a recombinant monoclonal antibody validated for use in IHC, WB and IP. All Novus Biologicals antibodies are covered by our 100% guarantee.

Scientific Data Images for p120-catenin Antibody (5N7Z0)

Western Blot: p120-catenin Antibody (5N7Z0) [NBP3-15375]

Western Blot: p120-catenin Antibody (5N7Z0) [NBP3-15375]

Western Blot: p120-catenin Antibody (5N7Z0) [NBP3-15375] - Western blot analysis of extracts of various cell lines, using p120-catenin Rabbit mAb (NBP3-15375) at 1:1000 dilution. Secondary antibody: HRP Goat Anti-Rabbit IgG (H+L) at 1:10000 dilution. Lysates/proteins: 25ug per lane. Blocking buffer: 3% nonfat dry milk in TBST. Detection: ECL Basic Kit. Exposure time: 3min.
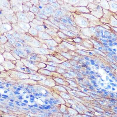
Immunohistochemistry-Paraffin: p120-catenin Antibody (5N7Z0) [NBP3-15375]

Immunohistochemistry-Paraffin: p120-catenin Antibody (5N7Z0) [NBP3-15375]

Immunohistochemistry-Paraffin: p120-catenin Antibody (5N7Z0) [NBP3-15375] - Immunohistochemistry of paraffin-embedded human esophageal using p120-catenin Rabbit mAb (NBP3-15375) at dilution of 1:100 (40x lens).Perform microwave antigen retrieval with 10 mM PBS buffer pH 7.2 before commencing with IHC staining protocol.
Immunoprecipitation: p120-catenin Antibody (5N7Z0) [NBP3-15375]

Immunoprecipitation: p120-catenin Antibody (5N7Z0) [NBP3-15375]

Immunoprecipitation: p120-catenin Antibody (5N7Z0) [NBP3-15375] - Immunoprecipitation analysis of 600ug extracts of Mouse testis cells using 3ug p120-catenin antibody (NBP3-15375). Western blot was performed from the immunoprecipitate using p120-catenin antibody (NBP3-15375) at a dilition of 1:1000.

Applications for p120-catenin Antibody (5N7Z0)

Application
Recommended Usage

Immunohistochemistry

1:50 - 1:200

Immunohistochemistry-Paraffin

1:50 - 1:200

Immunoprecipitation

1:500 - 1:1000

Western Blot

1:500 - 1:1000

Formulation, Preparation, and Storage

Purification

Affinity purified

Formulation

PBS (pH 7.3), 50% glycerol, 0.05% BSA

Preservative

0.02% Sodium Azide

Concentration

Please see the vial label for concentration. If unlisted please contact technical services.

Shipping

The product is shipped with polar packs. Upon receipt, store it immediately at the temperature recommended below.

Stability & Storage

Store at -20C. Avoid freeze-thaw cycles.

Background: p120-catenin

The alpha, beta, delta, and gamma -catenins are proteins that bind to the highly conserved, intracellular cytoplasmic tail of E-cadherin. Together, the catenin/cadherin complexes play an important role mediating cellular adhesion. alpha-catenin, a 102 kDa protein, interacts with E-cadherin associated protein, and also associates with other members of the cadherin family, such as N-cadherin and P-cadherin. The 92 kDa beta-catenin associates with the cytoplasmic portion of E-cadherin, which is necessary for the function of E-cadherin as an adhesion molecule. beta-catenin also complexes with the tumor suppressor protein APC. delta-catenin interacts with Presenilin 1 and is expressed in the brain. The gene encoding delta-catenin maps to human chromosome 5p15.2. A hemizygous loss of the gene encoding delta-catenin leads to the mental retardation associated with Cri-du-Chat syndrome. gamma-catenin, also known as plakoglobin, is an 80-88 kDa protein that binds alpha-catenin and N-cadherin. In addition, the transmembrane phosphatase PTPm associates with catenin/cadherin complexes and may regulate complex signaling.

Alternate Names

Cadherin-associated Src substrate, CAS, catenin (cadherin-associated protein), delta 1, catenin delta-1, CTNND, KIAA0384P120CAS, p120, p120 catenin, p120(cas), p120(CTN), p120cas, p120ctn

Gene Symbol

CTNND1

Additional p120-catenin Products

Product Documents for p120-catenin Antibody (5N7Z0)

Certificate of Analysis

To download a Certificate of Analysis, please enter a lot number in the search box below.

Product Specific Notices for p120-catenin Antibody (5N7Z0)

This product is for research use only and is not approved for use in humans or in clinical diagnosis. Primary Antibodies are guaranteed for 1 year from date of receipt.

Loading...
Loading...
Loading...
Loading...