Ornithine Decarboxylase Antibody (ODC1/486) - Azide and BSA Free
Novus Biologicals, part of Bio-Techne | Catalog # NBP2-47836
Conjugate
Catalog #
Forumulation
Catalog #
Key Product Details
Species Reactivity
Human, Mouse, Rat
Applications
Immunohistochemistry, Immunohistochemistry-Paraffin, Western Blot, Flow Cytometry, Immunofluorescence, Immunocytochemistry/ Immunofluorescence, CyTOF-ready
Label
Unconjugated
Antibody Source
Monoclonal Mouse IgG2a Kappa Clone # ODC1/486
Format
Azide and BSA Free
Concentration
1.0 mg/ml
Product Specifications
Immunogen
Recombinant human Ornithine Decarboxylase protein (Uniprot: P11926)
Localization
Cytoplasmic
Clonality
Monoclonal
Host
Mouse
Isotype
IgG2a Kappa
Theoretical MW
53 kDa.
Disclaimer note: The observed molecular weight of the protein may vary from the listed predicted molecular weight due to post translational modifications, post translation cleavages, relative charges, and other experimental factors.
Disclaimer note: The observed molecular weight of the protein may vary from the listed predicted molecular weight due to post translational modifications, post translation cleavages, relative charges, and other experimental factors.
Description
1.0 mg/ml of antibody purified from Bioreactor Concentrate by Protein A/G. Prepared in 10mM PBS WITHOUT BSA & azide. Also available at 200 ug/ml WITH BSA & azide (NBP2-44734).
Antibody with azide - store at 2 to 8C. Antibody without azide - store at -20 to -80C.
Antibody with azide - store at 2 to 8C. Antibody without azide - store at -20 to -80C.
Scientific Data Images for Ornithine Decarboxylase Antibody (ODC1/486) - Azide and BSA Free
Western Blot: Ornithine Decarboxylase Antibody (ODC1/486)Azide and BSA Free [NBP2-47836]
Western Blot: Ornithine Decarboxylase Antibody (ODC1/486) - Azide and BSA Free [NBP2-47836] - Western Blot Analysis of PC3 cell lysate usingOrnithine Decarboxylase antibody (ODC1/486).Immunohistochemistry-Paraffin: Ornithine Decarboxylase Antibody (ODC1/486) - Azide and BSA Free [NBP2-47836]
Immunohistochemistry-Paraffin: Ornithine Decarboxylase Antibody (ODC1/486) - Azide and BSA Free [NBP2-47836] - Formalin-fixed, paraffin-embedded Mouse Pancreas stained with Ornithine Decarboxylase Antibody (ODC1/486).Immunohistochemistry-Paraffin: Ornithine Decarboxylase Antibody (ODC1/486) - Azide and BSA Free [NBP2-47836]
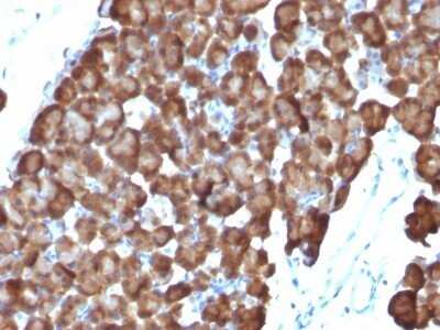
Immunohistochemistry-Paraffin: Ornithine Decarboxylase Antibody (ODC1/486) - Azide and BSA Free [NBP2-47836] - Human Pancreas stained with ODC1 Monoclonal Antibody (ODC1/486)Applications for Ornithine Decarboxylase Antibody (ODC1/486) - Azide and BSA Free
Application
Recommended Usage
Flow Cytometry
0.5 - 1 ug/million cells in 0.1 ml
Immunocytochemistry/ Immunofluorescence
1-2 ug/ml
Immunofluorescence
0.5 - 1.0 ug/ml
Immunohistochemistry-Paraffin
0.25 - 0.5 ug/ml
Western Blot
0.5 - 1.0 ug/ml
Application Notes
Immunohistochemistry (Formalin-fixed): 0.25-0.5ug/ml for 30 minutes at RT. Staining of formalin-fixed tissues requires heating tissue sections in 10mM Tris with 1mM EDTA, pH 9.0, for 45 min at 95C followed by cooling at RT for 20 minutes.
Optimal dilution for a specific application should be determined.
Optimal dilution for a specific application should be determined.
Formulation, Preparation, and Storage
Purification
Protein A or G purified
Formulation
10 mM PBS
Format
Azide and BSA Free
Preservative
No Preservative
Concentration
1.0 mg/ml
Shipping
The product is shipped with polar packs. Upon receipt, store it immediately at the temperature recommended below.
Stability & Storage
Store at -20 to -80C. Avoid freeze-thaw cycles.
Background: ODC1
Long Name
Ornithine Decarboxylase 1
Alternate Names
ODC
Gene Symbol
ODC1
Additional ODC1 Products
Product Documents for Ornithine Decarboxylase Antibody (ODC1/486) - Azide and BSA Free
Product Specific Notices for Ornithine Decarboxylase Antibody (ODC1/486) - Azide and BSA Free
This product is for research use only and is not approved for use in humans or in clinical diagnosis. Primary Antibodies are guaranteed for 1 year from date of receipt.
Loading...
Loading...
Loading...
Loading...
Loading...