Skip to main content

OCT1 Antibody (8L4Y5)

Novus Biologicals, part of Bio-Techne | Catalog # NBP3-16246

Recombinant Monoclonal Antibody
Novus Biologicals, part of Bio-Techne
Catalog #
Availability
Size / Price
Qty
Loading...
NBP3-16246-100ul
NBP3-16246-20ul

Key Product Details

Species Reactivity

Human, Mouse

Applications

Immunohistochemistry, Immunohistochemistry-Paraffin, Western Blot

Label

Unconjugated

Antibody Source

Recombinant Monoclonal Rabbit IgG Clone # 8L4Y5 expressed in HEK293

Concentration

Please see the vial label for concentration. If unlisted please contact technical services.

Product Specifications

Immunogen

Recombinant fusion protein containing a sequence corresponding to amino acids 1-162 of human OCT1 (P14859). MNNPSETSKPSMESGDGNTGTQTNGLDFQKQPVPVGGAISTAQAQAFLGHLHQVQLAGTSLQAAAQSLNVQSKSNEESGDSQQPSQPSQQPSVQAAIPQTQLMLAGGQITGLTLTPAQQQLLLQQAQAQAQLLAAAVQQHSASQQHSAAGATISASAATPMT

Clonality

Monoclonal

Host

Rabbit

Isotype

IgG

Description

Novus Biologicals Rabbit OCT1 Antibody (8L4Y5) (NBP3-16246) is a recombinant monoclonal antibody validated for use in IHC and WB. All Novus Biologicals antibodies are covered by our 100% guarantee.

Scientific Data Images for OCT1 Antibody (8L4Y5)

Western Blot: OCT1 Antibody (8L4Y5) [NBP3-16246]

Western Blot: OCT1 Antibody (8L4Y5) [NBP3-16246]

Western Blot: OCT1 Antibody (8L4Y5) [NBP3-16246] - Western blot analysis of extracts of various cell lines, using POU2F1/OCT1 Rabbit mAb (NBP3-16246) at 1:1000 dilution. Secondary antibody: HRP Goat Anti-Rabbit IgG (H+L) at 1:10000 dilution. Lysates/proteins: 25ug per lane. Blocking buffer: 3% nonfat dry milk in TBST. Detection: ECL Basic Kit. Exposure time: 3min.
Immunohistochemistry-Paraffin: OCT1 Antibody (8L4Y5) [NBP3-16246]

Immunohistochemistry-Paraffin: OCT1 Antibody (8L4Y5) [NBP3-16246]

Immunohistochemistry-Paraffin: OCT1 Antibody (8L4Y5) [NBP3-16246] - Immunohistochemistry of paraffin-embedded mouse liver using POU2F1/OCT1 Rabbit mAb (NBP3-16246) at dilution of 1:100 (40x lens).Perform microwave antigen retrieval with 10 mM PBS buffer pH 7.2 before commencing with IHC staining protocol.
Immunohistochemistry-Paraffin: OCT1 Antibody (8L4Y5) [NBP3-16246]

Immunohistochemistry-Paraffin: OCT1 Antibody (8L4Y5) [NBP3-16246]

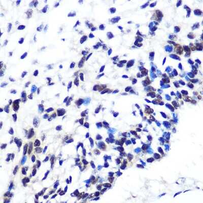
Immunohistochemistry-Paraffin: OCT1 Antibody (8L4Y5) [NBP3-16246] - Immunohistochemistry of paraffin-embedded human esophageal cancer using POU2F1/OCT1 Rabbit mAb (NBP3-16246) at dilution of 1:100 (40x lens).Perform microwave antigen retrieval with 10 mM PBS buffer pH 7.2 before commencing with IHC staining protocol.

Applications for OCT1 Antibody (8L4Y5)

Application
Recommended Usage

Immunohistochemistry

1:50 - 1:200

Western Blot

1:500 - 1:2000

Formulation, Preparation, and Storage

Purification

Affinity purified

Formulation

PBS (pH 7.3), 50% glycerol, 0.05% BSA

Preservative

0.02% Sodium Azide

Concentration

Please see the vial label for concentration. If unlisted please contact technical services.

Shipping

The product is shipped with polar packs. Upon receipt, store it immediately at the temperature recommended below.

Stability & Storage

Store at -20C. Avoid freeze-thaw cycles.

Background: OCT1

Oct1 is a transcription factor that binds to the octamer motif (5'-ATTTGCAT-3') and activates the promoters of the genes for some small nuclear RNAs (snRNA) and of genes such as those for histone H2B and immunoglobulins. It modulates transcription transactivation by NR3C1, AR and PGR and interacts with NR3C1, AR and PGR. Oct1 is Ubiquitous and belongs to the POU transcription factor family class 2 subfamily. Oct1 contains 1 homeobox domain.

Long Name

Octamer-binding Transcription Factor 1

Alternate Names

FLJ42836, NF-A1, Oct-1, OCT1class 2, transcription factor 1, OTF1, POU class 2 homeobox 1, POU domain class 2, transcription factor 1, POU2F1

Gene Symbol

POU2F1

Additional OCT1 Products

Product Documents for OCT1 Antibody (8L4Y5)

Certificate of Analysis

To download a Certificate of Analysis, please enter a lot number in the search box below.

Product Specific Notices for OCT1 Antibody (8L4Y5)

This product is for research use only and is not approved for use in humans or in clinical diagnosis. Primary Antibodies are guaranteed for 1 year from date of receipt.

Loading...
Loading...
Loading...
Loading...