Skip to main content

O-GlcNAc Transferase p110 subunit Antibody (JB44-39)

Novus Biologicals, part of Bio-Techne | Catalog # NBP2-75601

Recombinant Monoclonal Antibody.
Novus Biologicals, part of Bio-Techne
Catalog #
Availability
Size / Price
Qty
Loading...
NBP2-75601

Key Product Details

Species Reactivity

Human, Mouse, Rat

Applications

Flow Cytometry, Immunocytochemistry/ Immunofluorescence, Immunohistochemistry, Immunohistochemistry-Paraffin, Western Blot

Label

Unconjugated

Antibody Source

Recombinant Monoclonal Rabbit IgG Clone # JB44-39 expressed in HEK293

Concentration

1 mg/ml

Product Specifications

Immunogen

Synthetic peptide within Human O-GlcNAc Transferase p110 subunit aa 997-1,046 / 1,046. (SwissProt: O15294 Human; SwissProt: Q8CGY8 Mouse; SwissProt: P56558 Rat)

Localization

Nucleus. Cytoplasm. Membrane.

Clonality

Monoclonal

Host

Rabbit

Isotype

IgG

Theoretical MW

117 kDa.
Disclaimer note: The observed molecular weight of the protein may vary from the listed predicted molecular weight due to post translational modifications, post translation cleavages, relative charges, and other experimental factors.

Description

Novus Biologicals Rabbit O-GlcNAc Transferase p110 subunit Antibody (JB44-39) (NBP2-75601) is a recombinant monoclonal antibody validated for use in IHC, WB, Flow and ICC/IF. All Novus Biologicals antibodies are covered by our 100% guarantee.

Scientific Data Images for O-GlcNAc Transferase p110 subunit Antibody (JB44-39)

Western Blot: O-GlcNAc Transferase p110 subunit Antibody (JB44-39) [NBP2-75601]

Western Blot: O-GlcNAc Transferase p110 subunit Antibody (JB44-39) [NBP2-75601]

Western Blot: O-GlcNAc Transferase p110 subunit Antibody (JB44-39) [NBP2-75601] - Analysis of OGT on Hela (1) and SiHa (2) cell lysate using anti-OGT antibody at 1/500 dilution.
Immunocytochemistry/ Immunofluorescence: O-GlcNAc Transferase p110 subunit Antibody (JB44-39) [NBP2-75601]

Immunocytochemistry/ Immunofluorescence: O-GlcNAc Transferase p110 subunit Antibody (JB44-39) [NBP2-75601]

Immunocytochemistry/Immunofluorescence: O-GlcNAc Transferase p110 subunit Antibody (JB44-39) [NBP2-75601] - Staining OGT in PC-3M cells (green). The nuclear counter stain is DAPI (blue). Cells were fixed in paraformaldehyde, permeabilised with 0.25% Triton X100/PBS.
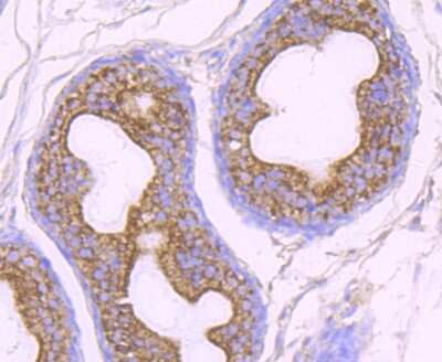
Immunohistochemistry-Paraffin: O-GlcNAc Transferase p110 subunit Antibody (JB44-39) [NBP2-75601]

Immunohistochemistry-Paraffin: O-GlcNAc Transferase p110 subunit Antibody (JB44-39) [NBP2-75601]

Immunohistochemistry-Paraffin: O-GlcNAc Transferase p110 subunit Antibody (JB44-39) [NBP2-75601] - Analysis of paraffin-embedded rat epididymis tissue using anti-OGT antibody. Counter stained with hematoxylin.

Applications for O-GlcNAc Transferase p110 subunit Antibody (JB44-39)

Application
Recommended Usage

Flow Cytometry

1:50-1:100

Immunocytochemistry/ Immunofluorescence

1:500-1:1000

Immunohistochemistry-Paraffin

1:50-1:200

Western Blot

1:500

Formulation, Preparation, and Storage

Purification

Protein A purified

Formulation

TBS (pH7.4), 0.05% BSA, 40% Glycerol

Preservative

0.05% Sodium Azide

Concentration

1 mg/ml

Shipping

The product is shipped with polar packs. Upon receipt, store it immediately at the temperature recommended below.

Stability & Storage

Store at 4C short term. Aliquot and store at -20C long term. Avoid freeze-thaw cycles.

Background: O-GlcNAc Transferase/OGT

Diffusion of metabolites and small non-nuclear molecules as well as active, mediated import of protein and export of protein and RNA through the nuclear envelope occurs through nuclear pore complexes or NPC's. NPC's contain up to 100 different polypeptides which have a combined mass of about 125 megadaltons. The channel available for passive transport through the NPC is about 9-10 nm in diameter while carrier mediated changes in the NPC result in a ~25 nm channel used for larger, actively transported molecules. Of the 100 polypeptides, at least 8 of these are O-linked N-acetylglycosamine-modified in mammalian cells. All of the mammalian O-linked glycoproteins contain multiple copies of phenylalanine, glycine dipeptide repeats dispersed throughout part of their sequence. Studies indicate that the NPC O-linked glycoproteins have a direct role in nuclear protein import.

Long Name

O-Linked N-Acetylglucosamine (GlcNAc) Transferase

Alternate Names

HRNT1, OGlcNAc Transferase, OGT

Gene Symbol

OGT

Additional O-GlcNAc Transferase/OGT Products

Product Documents for O-GlcNAc Transferase p110 subunit Antibody (JB44-39)

Certificate of Analysis

To download a Certificate of Analysis, please enter a lot number in the search box below.

Product Specific Notices for O-GlcNAc Transferase p110 subunit Antibody (JB44-39)

This product is for research use only and is not approved for use in humans or in clinical diagnosis. Primary Antibodies are guaranteed for 1 year from date of receipt.

Loading...
Loading...
Loading...
Loading...
Loading...