Skip to main content

NUP214 Antibody - BSA Free

Novus Biologicals, part of Bio-Techne | Catalog # NBP3-41180

Novus Biologicals, part of Bio-Techne
Catalog #
Availability
Size / Price
Qty
Loading...
NBP3-41180

Key Product Details

Species Reactivity

Mouse

Applications

Immunohistochemistry, Western Blot

Label

Unconjugated

Antibody Source

Polyclonal Rabbit

Format

BSA Free

Concentration

0.5 mg/ml

Product Specifications

Immunogen

Immunized with recombinant Mouse NUP214 (Uniprot#: Q80U93; Ser601-Arg868 (Uniprot#: Q80U93)

Clonality

Polyclonal

Host

Rabbit

Description

Novus Biologicals Rabbit NUP214 Antibody - BSA Free (NBP3-41180) is a polyclonal antibody validated for use in IHC and WB. All Novus Biologicals antibodies are covered by our 100% guarantee.

Scientific Data Images for NUP214 Antibody - BSA Free

NUP214 Antibody

Western Blot: NUP214 Antibody [NBP3-41180] -

Western Blot: NUP214 Antibody [NBP3-41180] - Sample: Recombinant NUP214, Mouse.
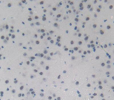
NUP214 Antibody

Immunohistochemistry-Paraffin: NUP214 Antibody [NBP3-41180] -

Immunohistochemistry-Paraffin: NUP214 Antibody [NBP3-41180] - Used in DAB staining on fromalin fixed paraffin- embedded Kidney tissue

Applications for NUP214 Antibody - BSA Free

Application
Recommended Usage

Immunohistochemistry

5-20ug/ml

Western Blot

0.5-2ug/ml

Formulation, Preparation, and Storage

Purification

Antigen and protein A Affinity-purified

Formulation

0.01M PBS, pH7.4, 50% glycerol

Format

BSA Free

Preservative

0.05% Proclin 300

Concentration

0.5 mg/ml

Shipping

The product is shipped with polar packs. Upon receipt, store it immediately at the temperature recommended below.

Stability & Storage

Store at 4C short term. Aliquot and store at -20C long term. Avoid freeze-thaw cycles.

Background: NUP214

The nuclear pore complex is a massive structure that extends across the nuclear envelope, forming a gateway that regulates the flow of macromolecules between the nucleus and the cytoplasm. Nucleoporins are the main components of the nuclear pore complex in eukaryotic cells. This gene is a member of the FG-repeat-containing nucleoporins. The protein encoded by this gene is localized to the cytoplasmic face of the nuclear pore complex where it is required for proper cell cycle progression and nucleocytoplasmic transport. The 3' portion of this gene forms a fusion gene with the DEK gene on chromosome 6 in a t(6,9) translocation associated with acute myeloid leukemia and myelodysplastic syndrome.

Alternate Names

214 kDa nucleoporin, CAINputative oncogene, D9S46Enuclear pore complex protein Nup214, KIAA0023, MGC104525, N214, nucleoporin 214kD (CAIN), nucleoporin 214kDa, Nucleoporin Nup214, p250, Protein CAN

Gene Symbol

NUP214

Additional NUP214 Products

Product Documents for NUP214 Antibody - BSA Free

Certificate of Analysis

To download a Certificate of Analysis, please enter a lot number in the search box below.

Product Specific Notices for NUP214 Antibody - BSA Free

This product is for research use only and is not approved for use in humans or in clinical diagnosis. Primary Antibodies are guaranteed for 1 year from date of receipt.

Loading...
Loading...
Loading...
Loading...