Skip to main content

Nucleolin Antibody (364-5 + NCL/902)

Novus Biologicals, part of Bio-Techne | Catalog # NBP2-44613

Novus Biologicals, part of Bio-Techne
Catalog #
Availability
Size / Price
Qty
Loading...
NBP2-44613-0.02mg
NBP2-44613-0.1mg

Key Product Details

Species Reactivity

Human, Bovine (Negative), Mouse (Negative), Rat (Negative)

Applications

Immunohistochemistry, Immunohistochemistry-Paraffin, Western Blot, Flow Cytometry, Immunocytochemistry/ Immunofluorescence

Label

Unconjugated

Antibody Source

Monoclonal Mouse IgG1 Kappa/IgG1 Kappa Clone # 364-5 + NCL/902

Concentration

0.2 mg/ml

Product Specifications

Immunogen

Lysate of SU-DHL-1 Nuclei (364-5); Recombinant human NCL protein (NCL/902) (Uniprot: P19338 )

Reactivity Notes

Does not react with Mouse, Rat and Bovine.

Localization

Nucleoli

Specificity

Recognizes a protein of ~76kDa, which is identified as Nucleolin (NCL). It is the major nucleolar phosphoprotein of growing eukaryotic cells. NCL is located mainly in dense fibrillar regions of the nucleolus. It is found associated with intranucleolar chromatin and pre-ribosomal particles. Human NCL gene consists of 14 exons with 13 introns and spans approximately 11kb. It induces chromatin decondensation by binding to histone H1. It is thought to play a role in pre-rRNA transcription and ribosome assembly. This monoclonal antibody can be used to stain the nucleoli in cell or tissue preparations and can be used as a marker of the nucleoli in subcellular fractions. It produces a speckled pattern in the nuclei of cells of normal and malignant cells and may be used to stain the nucleoli of cells in fixed or frozen tissue sections. It can be used with paraformaldehyde fixed frozen tissue or cell preparations and formalin fixed, paraffin-embedded tissue sections.

Marker

Marker of Human Cells

Clonality

Monoclonal

Host

Mouse

Isotype

IgG1 Kappa/IgG1 Kappa

Theoretical MW

76 kDa.
Disclaimer note: The observed molecular weight of the protein may vary from the listed predicted molecular weight due to post translational modifications, post translation cleavages, relative charges, and other experimental factors.

Description

200ug/ml of antibody purified from Bioreactor Concentrate by Protein A or G. Prepared in 10 mM PBS with 0.05% BSA & 0.05% azide. Also available WITHOUT BSA & azide at 1.0 mg/ml. (NBP2-47862)

Antibody with azide - store at 2 to 8C. Antibody without azide - store at -20 to -80 C.

Scientific Data Images for Nucleolin Antibody (364-5 + NCL/902)

Immunocytochemistry/ Immunofluorescence: Nucleolin Antibody (364-5 + NCL/902) [NBP2-44613]

Immunocytochemistry/ Immunofluorescence: Nucleolin Antibody (364-5 + NCL/902) [NBP2-44613]

Immunocytochemistry/Immunofluorescence: Nucleolin Antibody (364-5 + NCL/902) [NBP2-44613] - Immunofluorescence Analysis of PFA-fixed MCF-7 cells stained with Nucleolin Antibody (364-5 + NCL/902) followed by Goat anti-Mouse IgG-CF488 (Green). Membrane is stained with Phalloidin-CF640.
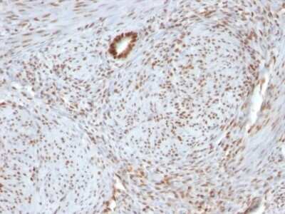
Immunohistochemistry-Paraffin: Nucleolin Antibody (364-5 + NCL/902) [NBP2-44613]

Immunohistochemistry-Paraffin: Nucleolin Antibody (364-5 + NCL/902) [NBP2-44613]

Immunohistochemistry-Paraffin: Nucleolin Antibody (364-5 + NCL/902) [NBP2-44613] - Formalin-fixed, paraffin-embedded human Tonsil stained with Nucleolin Antibody (364-5 + NCL/902).
Flow Cytometry: Nucleolin Antibody (364-5 + NCL/902) [NBP2-44613]

Flow Cytometry: Nucleolin Antibody (364-5 + NCL/902) [NBP2-44613]

Flow Cytometry: Nucleolin Antibody (364-5 + NCL/902) [NBP2-44613] - Flow Cytometric Analysis of PFA-fixed K562 cells using Nucleolin Antibody (364-5 + NCL/902).followed by Goat anti-Mouse IgG-CF488 (Blue); Isotype Control (Red).

Applications for Nucleolin Antibody (364-5 + NCL/902)

Application
Recommended Usage

Flow Cytometry

0.5-1 ug/million cells

Immunocytochemistry/ Immunofluorescence

0.5-1 ug/ml

Immunohistochemistry-Paraffin

1-2 ug/ml

Western Blot

0.5-1 ug/ml
Application Notes
Immunohistochemistry (Formalin-fixed): 1-2ug/ml for 30 minutes at RT. Staining of formalin-fixed tissues requires heating tissue sections in 10mM Tris with 1mM EDTA, pH 9.0, for 45 min at 95C followed by cooling at RT for 20 minutes.
Optimal dilution for a specific application should be determined.

Formulation, Preparation, and Storage

Purification

Protein A or G purified

Formulation

10 mM PBS with 0.05% BSA

Preservative

0.05% Sodium Azide

Concentration

0.2 mg/ml

Shipping

The product is shipped with polar packs. Upon receipt, store it immediately at the temperature recommended below.

Stability & Storage

Store at 4C.

Background: Nucleolin

Nucleolin is an abundant, 106 kDa nucleolar phosphoprotein. It is the major protein in actively dividing cells, whereas the degraded forms are relatively abundant in non-dividing cells. Stability of the nucleolin protein is cell proliferation-dependent. It plays a role in rDNA transcription, organization, and rRNA processing. It may alter DNA organization in response to cell cycle controls. Nucleolin antibodies are commonly used as a mammalian nucleolus marker.

Alternate Names

C23, FLJ45706, FLJ59041, nucleolin, Protein C23

Gene Symbol

NCL

UniProt

Additional Nucleolin Products

Product Documents for Nucleolin Antibody (364-5 + NCL/902)

Certificate of Analysis

To download a Certificate of Analysis, please enter a lot number in the search box below.

Product Specific Notices for Nucleolin Antibody (364-5 + NCL/902)

This product is for research use only and is not approved for use in humans or in clinical diagnosis. Primary Antibodies are guaranteed for 1 year from date of receipt.

Loading...
Loading...
Loading...
Loading...
Loading...