Skip to main content

NSUN6 Antibody - BSA Free

Novus Biologicals, part of Bio-Techne | Catalog # NBP1-92202

Novus Biologicals, part of Bio-Techne
Catalog #
Availability
Size / Price
Qty
Loading...
NBP1-92202
NBP1-92202-25ul

Key Product Details

Species Reactivity

Human

Applications

Immunohistochemistry, Immunohistochemistry-Paraffin, Western Blot, Immunocytochemistry/ Immunofluorescence

Label

Unconjugated

Antibody Source

Polyclonal Rabbit IgG

Format

BSA Free

Concentration

Concentrations vary lot to lot. See vial label for concentration. If unlisted please contact technical services.

Product Specifications

Immunogen

This antibody was developed against Recombinant Protein corresponding to amino acids: VLLIPVIGPRKNIKKQQCEAIVGAQCGNAVLRGAHVYAPGIVSASQFMKAGDVISVYSDIKGKCKKGAKEFDGTKVFLGNGISELSRKEIFSG

Reactivity Notes

Mouse, Rat (88%).

Clonality

Polyclonal

Host

Rabbit

Isotype

IgG

Description

Novus Biologicals Rabbit NSUN6 Antibody - BSA Free (NBP1-92202) is a polyclonal antibody validated for use in IHC, WB and ICC/IF. All Novus Biologicals antibodies are covered by our 100% guarantee.

Scientific Data Images for NSUN6 Antibody - BSA Free

Western Blot: NSUN6 Antibody [NBP1-92202]

Western Blot: NSUN6 Antibody [NBP1-92202]

Western Blot: NSUN6 Antibody [NBP1-92202] - Analysis in human cell line K562.
Immunocytochemistry/ Immunofluorescence: NSUN6 Antibody [NBP1-92202]

Immunocytochemistry/ Immunofluorescence: NSUN6 Antibody [NBP1-92202]

Immunocytochemistry/Immunofluorescence: NSUN6 Antibody [NBP1-92202] - Immunofluorescent staining of human cell line U-251 MG shows localization to the Golgi apparatus. Antibody staining is shown in green.
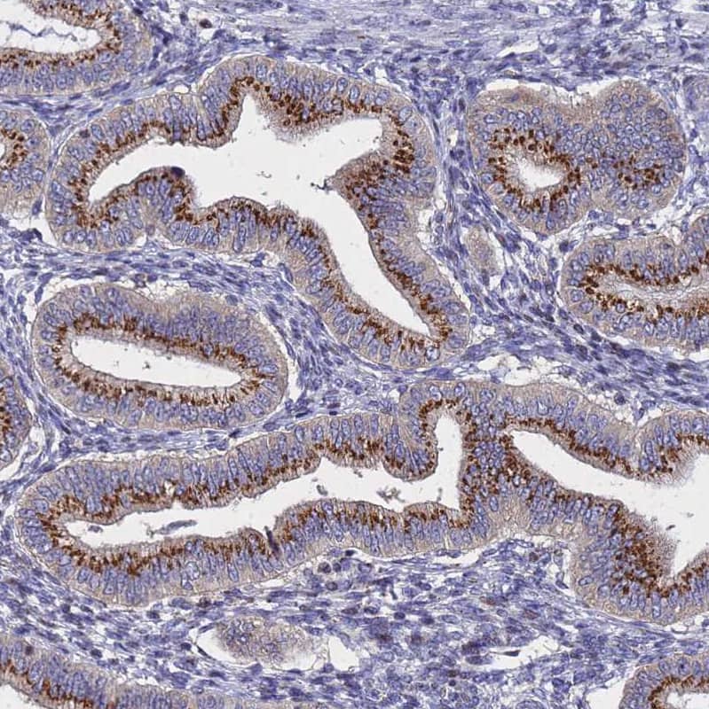
Immunohistochemistry-Paraffin: NSUN6 Antibody [NBP1-92202]

Immunohistochemistry-Paraffin: NSUN6 Antibody [NBP1-92202]

Immunohistochemistry-Paraffin: NSUN6 Antibody [NBP1-92202] - Staining of humanendometrium shows strong granular cytoplasmic positivity in glandular cells.

Applications for NSUN6 Antibody - BSA Free

Application
Recommended Usage

Immunocytochemistry/ Immunofluorescence

0.25-2 ug/ml

Immunohistochemistry

1:20 - 1:50

Immunohistochemistry-Paraffin

1:20 - 1:50

Western Blot

0.04-0.4 µg/ml
Application Notes
For IHC-Paraffin, HIER pH 6 retrieval is recommended. ICC/IF,Fixation Permeabilization: Use PFA/Triton X-100.

Formulation, Preparation, and Storage

Purification

Affinity purified

Formulation

PBS (pH 7.2) and 40% Glycerol

Format

BSA Free

Preservative

0.02% Sodium Azide

Concentration

Concentrations vary lot to lot. See vial label for concentration. If unlisted please contact technical services.

Shipping

The product is shipped with polar packs. Upon receipt, store it immediately at the temperature recommended below.

Stability & Storage

Store at 4C short term. Aliquot and store at -20C long term. Avoid freeze-thaw cycles.

Background: NSUN6

NSUN6 may have S-adenosyl-L-methionine-dependent methyl-transferase activity (Potential)

Alternate Names

EC 2.1.1, EC 2.1.1.-, EC 2.1.1.52, FLJ23743, NOL1/NOP2/Sun and PUA domain-containing protein 1, NOL1/NOP2/Sun domain family 6, NOL1/NOP2/Sun domain family member 6, NOL1/NOP2/Sun domain family, member 6, NOP2/Sun domain family, member 6,4933414E04Rik, NOPD1, nucleolar protein (NOL1/NOP2/sun) and PUA domains 1, putative methyltransferase NSUN6

Gene Symbol

NSUN6

Additional NSUN6 Products

Product Documents for NSUN6 Antibody - BSA Free

Certificate of Analysis

To download a Certificate of Analysis, please enter a lot number in the search box below.

Product Specific Notices for NSUN6 Antibody - BSA Free

This product is for research use only and is not approved for use in humans or in clinical diagnosis. Primary Antibodies are guaranteed for 1 year from date of receipt.

Loading...
Loading...
Loading...
Loading...