Skip to main content

NSDHL Antibody - BSA Free

Novus Biologicals, part of Bio-Techne | Catalog # NBP1-83306

Novus Biologicals, part of Bio-Techne
Catalog #
Availability
Size / Price
Qty
Loading...
NBP1-83306
NBP1-83306-25ul

Key Product Details

Validated by

Orthogonal Validation, Independent Antibodies

Species Reactivity

Human, Mouse, Rat

Applications

Immunohistochemistry, Immunohistochemistry-Paraffin, Western Blot, Immunocytochemistry/ Immunofluorescence

Label

Unconjugated

Antibody Source

Polyclonal Rabbit IgG

Format

BSA Free

Concentration

Concentrations vary lot to lot. See vial label for concentration. If unlisted please contact technical services.

Product Specifications

Immunogen

This antibody was developed against Recombinant Protein corresponding to amino acids: LPYAMKPIDYYTETKILQERAVLGANDPEKNFLTTAIRPHGIFGPRDPQLVPILIEAARNGKMKFVIGNGKNLVDFTFVENVVHGHILAAEQLSRDSTLGGKAFHITNDEPIPFWTFLSRI

Clonality

Polyclonal

Host

Rabbit

Isotype

IgG

Scientific Data Images for NSDHL Antibody - BSA Free

Immunohistochemistry-Paraffin: NSDHL Antibody [NBP1-83306]

Immunohistochemistry-Paraffin: NSDHL Antibody [NBP1-83306]

Immunohistochemistry-Paraffin: NSDHL Antibody [NBP1-83306] - Staining in human epididymis and lymph node tissues using anti-NSDHL antibody. Corresponding NSDHL RNA-seq data are presented for the same tissues.
Immunohistochemistry-Paraffin: NSDHL Antibody [NBP1-83306]

Immunohistochemistry-Paraffin: NSDHL Antibody [NBP1-83306]

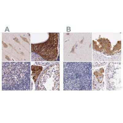
Immunohistochemistry-Paraffin: NSDHL Antibody [NBP1-83306] - Staining of human cerebral cortex, epididymis, lymph node and testis using Anti-NSDHL antibody NBP1-83306 (A) shows similar protein distribution across tissues to independent antibody NBP1-83307 (B).
Western Blot: NSDHL Antibody [NBP1-83306]

Western Blot: NSDHL Antibody [NBP1-83306]

Western Blot: NSDHL Antibody [NBP1-83306] - Analysis using Anti-NSDHL antibody NBP1-83306 (A) shows similar pattern to independent antibody NBP1-83307 (B).

Applications for NSDHL Antibody - BSA Free

Application
Recommended Usage

Immunocytochemistry/ Immunofluorescence

0.25-2 ug/ml

Immunohistochemistry

1:50 - 1:200

Immunohistochemistry-Paraffin

1:50 - 1:200

Western Blot

0.04-0.4 ug/ml
Application Notes
For IHC-Paraffin, HIER pH 6 retrieval is recommended. ICC/IF Fixation Permeabilization: Use PFA/Triton X-100.

Formulation, Preparation, and Storage

Purification

Affinity purified

Formulation

PBS (pH 7.2) and 40% Glycerol

Format

BSA Free

Preservative

0.02% Sodium Azide

Concentration

Concentrations vary lot to lot. See vial label for concentration. If unlisted please contact technical services.

Shipping

The product is shipped with polar packs. Upon receipt, store it immediately at the temperature recommended below.

Stability & Storage

Store at 4C short term. Aliquot and store at -20C long term. Avoid freeze-thaw cycles.

Background: NSDHL

NSDHL is encoded by this gene is localized in the endoplasmic reticulum and is involved in cholesterol biosynthesis. Mutations in this gene are associated with CHILD syndrome, which is a X-linked dominant disorder of lipid metabolism with disturbed cholesterol biosynthesis, and typically lethal in males. Alternatively spliced transcript variants with differing 5' UTR have been found for this gene. [provided by RefSeq]

Alternate Names

EC 1.1.1.170, H105E3, member 1, NAD(P) dependent steroid dehydrogenase-like, SDR31E1, sterol-4-alpha-carboxylate 3-dehydrogenase, decarboxylating, XAP104

Gene Symbol

NSDHL

Additional NSDHL Products

Product Documents for NSDHL Antibody - BSA Free

Certificate of Analysis

To download a Certificate of Analysis, please enter a lot number in the search box below.

Product Specific Notices for NSDHL Antibody - BSA Free

This product is for research use only and is not approved for use in humans or in clinical diagnosis. Primary Antibodies are guaranteed for 1 year from date of receipt.

Loading...
Loading...
Loading...
Loading...