NSDHL Antibody (JE64-86)
Novus Biologicals, part of Bio-Techne | Catalog # NBP3-32662
Recombinant Monoclonal Antibody
Key Product Details
Species Reactivity
Human
Applications
Immunohistochemistry, Immunohistochemistry-Paraffin, Western Blot, Immunocytochemistry/ Immunofluorescence
Label
Unconjugated
Antibody Source
Recombinant Monoclonal Rabbit IgG Clone # JE64-86 expressed in HEK293
Concentration
1 mg/ml
Product Specifications
Immunogen
Synthetic peptide within human NSDHL aa 151-200/373. (Uniprot: Q15738)
Localization
Endoplasmic reticulum membrane, Lipid droplet.
Clonality
Monoclonal
Host
Rabbit
Isotype
IgG
Theoretical MW
42 kDa.
Disclaimer note: The observed molecular weight of the protein may vary from the listed predicted molecular weight due to post translational modifications, post translation cleavages, relative charges, and other experimental factors.
Disclaimer note: The observed molecular weight of the protein may vary from the listed predicted molecular weight due to post translational modifications, post translation cleavages, relative charges, and other experimental factors.
Description
Novus Biologicals Rabbit NSDHL Antibody (JE64-86) (NBP3-32662) is a recombinant monoclonal antibody validated for use in IHC, WB and ICC/IF. All Novus Biologicals antibodies are covered by our 100% guarantee.
Scientific Data Images for NSDHL Antibody (JE64-86)
Western Blot: NSDHL Antibody (JE64-86) [NBP3-32662]
Western Blot: NSDHL Antibody (JE64-86) [NBP3-32662] - Western blot analysis of NSDHL on HepG2 cell lysates with Rabbit anti-NSDHL antibody (NBP3-32662) at 1/1,000 dilution.Lysates/proteins at 10 ug/Lane.
Predicted band size: 42 kDa
Observed band size: 38 kDa
Exposure time: 1 minute;
12% SDS-PAGE gel.
Proteins were transferred to a PVDF membrane and blocked with 5% NFDM/TBST for 1 hour at room temperature. The primary antibody (NBP3-32662) at 1/1,000 dilution was used in 5% NFDM/TBST at room temperature for 2 hours. Goat Anti-Rabbit IgG - HRP Secondary Antibody at 1:300,000 dilution was used for 1 hour at room temperature.
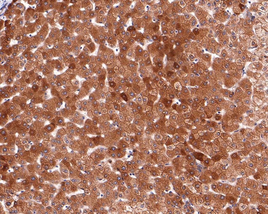
Immunohistochemistry: NSDHL Antibody (JE64-86) [NBP3-32662]
Immunohistochemistry: NSDHL Antibody (JE64-86) [NBP3-32662] - Immunohistochemical analysis of paraffin-embedded human liver tissue with Rabbit anti-NSDHL antibody (NBP3-32662) at 1/400 dilution.The section was pre-treated using heat mediated antigen retrieval with Tris-EDTA buffer (pH 9.0) for 20 minutes. The tissues were blocked in 1% BSA for 20 minutes at room temperature, washed with ddH2O and PBS, and then probed with the primary antibody (NBP3-32662) at 1/400 dilution for 1 hour at room temperature. The detection was performed using an HRP conjugated compact polymer system. DAB was used as the chromogen. Tissues were counterstained with hematoxylin and mounted with DPX.
Immunocytochemistry/ Immunofluorescence: NSDHL Antibody (JE64-86) [NBP3-32662]
Immunocytochemistry/ Immunofluorescence: NSDHL Antibody (JE64-86) [NBP3-32662] - Immunocytochemistry analysis of Hela cells labeling NSDHL with Rabbit anti-NSDHL antibody (NBP3-32662) at 1/200 dilution.Cells were fixed in 4% paraformaldehyde for 10 minutes at 37 ℃, permeabilized with 0.05% Triton X-100 in PBS for 20 minutes, and then blocked with 2% negative goat serum for 30 minutes at room temperature. Cells were then incubated with Rabbit anti-NSDHL antibody (NBP3-32662) at 1/200 dilution in 2% negative goat serum overnight at 4 ℃. Goat Anti-Rabbit IgG H&L (Alexa Fluor® 488) was used as the secondary antibody at 1/1,000 dilution. Nuclear DNA was labelled in blue with DAPI.
Beta Ⅲ tubulin (M0805-8, red) was stained at 1/200 dilution overnight at +4℃. Goat Anti-Mouse IgG H&L (Alexa Fluor® 647) were used as the secondary antibody at 1/1,000 dilution.
Applications for NSDHL Antibody (JE64-86)
Application
Recommended Usage
Immunocytochemistry/ Immunofluorescence
1:200
Immunohistochemistry-Paraffin
1:400
Western Blot
1:1000-1:5000
Formulation, Preparation, and Storage
Purification
Protein A purified
Formulation
1*TBS (pH7.4), 0.05% BSA and 40% Glycerol
Preservative
0.05% Sodium Azide
Concentration
1 mg/ml
Shipping
The product is shipped with polar packs. Upon receipt, store it immediately at the temperature recommended below.
Stability & Storage
Store at 4C short term. Aliquot and store at -20C long term. Avoid freeze-thaw cycles.
Background: NSDHL
Alternate Names
EC 1.1.1.170, H105E3, member 1, NAD(P) dependent steroid dehydrogenase-like, SDR31E1, sterol-4-alpha-carboxylate 3-dehydrogenase, decarboxylating, XAP104
Gene Symbol
NSDHL
Additional NSDHL Products
Product Documents for NSDHL Antibody (JE64-86)
Product Specific Notices for NSDHL Antibody (JE64-86)
This product is for research use only and is not approved for use in humans or in clinical diagnosis. Primary Antibodies are guaranteed for 1 year from date of receipt.
Loading...
Loading...
Loading...
Loading...