Skip to main content

Nrf1 Antibody (NRF1/2609) - Azide and BSA Free

Novus Biologicals, part of Bio-Techne | Catalog # NBP3-08773

Novus Biologicals, part of Bio-Techne

Key Product Details

Species Reactivity

Human

Applications

Immunohistochemistry-Paraffin, Western Blot

Label

Unconjugated

Antibody Source

Monoclonal Mouse IgG1 kappa Clone # NRF1/2609

Format

Azide and BSA Free

Concentration

1 mg/ml

Product Specifications

Immunogen

Recombinant full-length human Nrf1 protein (Uniprot: Q16656)

Localization

Nucleus.

Clonality

Monoclonal

Host

Mouse

Isotype

IgG1 kappa

Description

1.0 mg/ml of antibody purified from Bioreactor Concentrate by Protein A/G. Prepared in 10mM PBS WITHOUT BSA & azide. Also available at 200 ug/ml WITH BSA & azide (NBP3-07451).

Antibody with azide - store at 2 to 8C. Antibody without azide - store at -20 to -80C.

Scientific Data Images for Nrf1 Antibody (NRF1/2609) - Azide and BSA Free

Western Blot: Nrf1 Antibody (NRF1/2609)Azide and BSA Free [NBP3-08773]

Western Blot: Nrf1 Antibody (NRF1/2609)Azide and BSA Free [NBP3-08773]

Western Blot: Nrf1 Antibody (NRF1/2609) - Azide and BSA Free [NBP3-08773] - Western Blot Analysis of human HEK293, HeLa, A431, MOLT4 cell lysates using Nrf1 Mouse Monoclonal Antibody (NRF1/2609).
Immunohistochemistry-Paraffin: Nrf1 Antibody (NRF1/2609) - Azide and BSA Free [NBP3-08773]

Immunohistochemistry-Paraffin: Nrf1 Antibody (NRF1/2609) - Azide and BSA Free [NBP3-08773]

Immunohistochemistry-Paraffin: Nrf1 Antibody (NRF1/2609) - Azide and BSA Free [NBP3-08773] - Formalin-fixed, paraffin-embedded human prostate carcinoma stained with Nrf1 Mouse Monoclonal Antibody (Nrf1/2609).
Immunohistochemistry-Paraffin: Nrf1 Antibody (NRF1/2609) - Azide and BSA Free [NBP3-08773]

Immunohistochemistry-Paraffin: Nrf1 Antibody (NRF1/2609) - Azide and BSA Free [NBP3-08773]

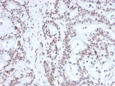
Immunohistochemistry-Paraffin: Nrf1 Antibody (NRF1/2609) - Azide and BSA Free [NBP3-08773] - Formalin-fixed, paraffin-embedded human colon carcinoma stained with Nrf1 Mouse Monoclonal Antibody (Nrf1/2609).

Applications for Nrf1 Antibody (NRF1/2609) - Azide and BSA Free

Application
Recommended Usage

Immunohistochemistry-Paraffin

1-2 ug/ml

Western Blot

1-2 ug/ml
Application Notes
Immunohistochemistry Formalin-fixed: 1-2ug/ml for 30 minutes at RT. Staining of formalin-fixed tissues requires heating tissue sections in 10mM Tris with 1mM EDTA, pH 9.0, for 45 min at 95C followed by cooling at RT for 20 minutes.

Formulation, Preparation, and Storage

Purification

Protein A or G purified

Formulation

10 mM PBS

Format

Azide and BSA Free

Preservative

No Preservative

Concentration

1 mg/ml

Shipping

The product is shipped with polar packs. Upon receipt, store it immediately at the temperature recommended below.

Stability & Storage

Store at -20 to -80C. Avoid freeze-thaw cycles.

Background: Nrf1

NRF1 encodes a protein that homodimerizes and functions as a transcription factor which activates the expression of some key metabolic genes regulating cellular growth and nuclear genes required for respiration, heme biosynthesis, and mitochondrial DNA transcription and replication. The protein has also been associated with the regulation of neurite outgrowth. Alternate transcriptional splice variants, which encode the same protein, have been characterized. Additional variants encoding different protein isoforms have been described but they have not been fully characterized. Confusion has occurred in bibliographic databases due to the shared symbol of NRF1 for this gene and for "nuclear factor (erythroid-derived 2)-like 1" which has an official symbol of NFE2L1.

Long Name

NF-E2-related Factor 1

Alternate Names

HBZ17, LCR-F1, NFE2L1, TCF11

Gene Symbol

NRF1

Additional Nrf1 Products

Product Documents for Nrf1 Antibody (NRF1/2609) - Azide and BSA Free

Certificate of Analysis

To download a Certificate of Analysis, please enter a lot number in the search box below.

Product Specific Notices for Nrf1 Antibody (NRF1/2609) - Azide and BSA Free

This product is for research use only and is not approved for use in humans or in clinical diagnosis. Primary Antibodies are guaranteed for 1 year from date of receipt.

Loading...
Loading...
Loading...
Loading...