Skip to main content

NFkB2/NFkB p100 Antibody (CL8266) - Azide and BSA Free

Novus Biologicals, part of Bio-Techne | Catalog # NBP3-44219

Novus Biologicals, part of Bio-Techne
Catalog #
Availability
Size / Price
Qty
Loading...
NBP3-44219

Key Product Details

Validated by

Orthogonal Validation

Species Reactivity

Human

Applications

Immunohistochemistry-Paraffin

Label

Unconjugated

Antibody Source

Monoclonal Mouse IgG1 Clone # CL8266

Format

Azide and BSA Free

Concentration

LYOPH mg/ml

Product Specifications

Immunogen

This antibody was generated using a synthetic peptide of Q00653, with the exact immunogen sequence remaining proprietary.

Clonality

Monoclonal

Host

Mouse

Isotype

IgG1

Description

Novus Biologicals Mouse NFkB2/NFkB p100 Antibody (CL8266) - Azide and BSA Free (NBP2-88914) is a monoclonal antibody validated for use in IHC. All Novus Biologicals antibodies are covered by our 100% guarantee.

Scientific Data Images for NFkB2/NFkB p100 Antibody (CL8266) - Azide and BSA Free

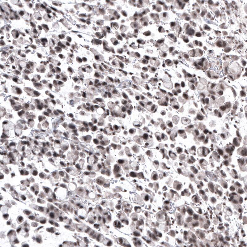
NFkB2/NFkB p100 Antibody (CL8266) - Azide and BSA Free Immunohistochemistry-Paraffin: NFkB2/NFkB p100 Antibody [NBP3-44219]

Immunohistochemistry-Paraffin: NFkB2/NFkB p100 Antibody [NBP3-44219]

Analysis in human tonsil and skeletal muscle tissues using NBP3-44219 antibody. Corresponding NFkB2/NFkB p100 RNA-seq data are presented for the same tissues.
NFkB2/NFkB p100 Antibody (CL8266) - Azide and BSA Free Immunohistochemistry-Paraffin: NFkB2/NFkB p100 Antibody [NBP3-44219]

Immunohistochemistry-Paraffin: NFkB2/NFkB p100 Antibody [NBP3-44219]

Staining of human Fallopian tube shows strong nuclear positivity in glandular cells.
NFkB2/NFkB p100 Antibody (CL8266) - Azide and BSA Free Immunohistochemistry-Paraffin: NFkB2/NFkB p100 Antibody [NBP3-44219]

Immunohistochemistry-Paraffin: NFkB2/NFkB p100 Antibody [NBP3-44219]

Staining of human skeletal muscle shows very weak nuclear positivity in myocytes as expected.

Applications for NFkB2/NFkB p100 Antibody (CL8266) - Azide and BSA Free

Application
Recommended Usage

Immunohistochemistry-Paraffin

1:20 - 1:50
Application Notes
For IHC-Paraffin, HIER pH 6 retrieval is recommended.

Formulation, Preparation, and Storage

Purification

Protein A purified

Reconstitution

Centrifuge the vial of lyophilized antibody at 12,000 x g for 20 seconds. Reconstitute by adding sterile, distilled water to achieve a final antibody concentration of 1mg/ml.

Formulation

Lyophilized from a 0.2 um filtered solution in PBS with Trehalose

Format

Azide and BSA Free

Preservative

No Preservative

Concentration

LYOPH mg/ml

Shipping

The product is shipped at ambient temperature. Upon receipt, store it immediately at the temperature recommended below.

Stability & Storage

Store at 4C short term. Aliquot and store at -20C long term. Avoid freeze-thaw cycles.

Background: NFkB2

NFkB1 (NFkB p50) and NFkB2 (NFkB p52) are class I members of the Rel/NFkB family of transcription factors that also includes RelA, c-Rel and RelB. Rel/NFkB members regulate expression of genes that participate in immune, apoptotic and oncogenic processes. Class I members lack a C-terminal transcriptional activation segment found in class II members, but contain an RHD (Rel homology domain) that mediates DNA binding, nuclear localization and dimerization. NFkB1 and NFkB2 105 and 100 kDa precursors are proteolytically cleaved to 50 and 52 kDa active subunits, respectively. NFkB is predominantly localized in the cytoplasm as a complex with inhibitory IkB proteins and is released and translocated to the nucleus after phosphorylation of IkB.

Long Name

Nuclear Factor Kappa-B, Subunit 2

Alternate Names

LYT10, NF-kB2

Gene Symbol

NFKB2

Additional NFkB2 Products

Product Documents for NFkB2/NFkB p100 Antibody (CL8266) - Azide and BSA Free

Certificate of Analysis

To download a Certificate of Analysis, please enter a lot number in the search box below.

Product Specific Notices for NFkB2/NFkB p100 Antibody (CL8266) - Azide and BSA Free

This product is for research use only and is not approved for use in humans or in clinical diagnosis. Primary Antibodies are guaranteed for 1 year from date of receipt.

Loading...
Loading...
Loading...
Loading...
Loading...