Skip to main content

NFATC2/NFAT1 Antibody (25A10.D6.D2) - BSA Free

Novus Biologicals, part of Bio-Techne | Catalog # NB300-504

Novus Biologicals, part of Bio-Techne

Key Product Details

Validated by

Biological Validation

Species Reactivity

Validated:

Human, Mouse, Rat

Cited:

Human, Mouse, Rat

Applications

Validated:

Immunohistochemistry, Immunohistochemistry-Paraffin, Immunohistochemistry-Frozen, Western Blot, Sandwich ELISA, Immunocytochemistry/ Immunofluorescence, Immunoprecipitation, Chromatin Immunoprecipitation (ChIP), Gel Super Shift Assays

Cited:

Western Blot, Immunocytochemistry/ Immunofluorescence, Chemotaxis, IF/IHC

Label

Unconjugated

Antibody Source

Monoclonal Mouse IgG1 Clone # 25A10.D6.D2

Format

BSA Free

Concentration

1 mg/ml

Product Specifications

Immunogen

Synthetic peptide corresponding to residues A(51) I S S P S G L A Y P D D V L D Y G L(69) of mouse NFATc2-A, B and C isoforms.

Reactivity Notes

Please note that this antibody is reactive to Mouse and derived from the same host, Mouse. Additional Mouse on Mouse blocking steps may be required for IHC and ICC experiments. Please contact Technical Support for more information.

Specificity

Detects nuclear factor of activated T-cells (NFAT). This does not cross react with NFAT2 (NFATc, NFATc1).

Clonality

Monoclonal

Host

Mouse

Isotype

IgG1

Theoretical MW

140 kDa.
Disclaimer note: The observed molecular weight of the protein may vary from the listed predicted molecular weight due to post translational modifications, post translation cleavages, relative charges, and other experimental factors.

Description

Novus Biologicals Mouse NFATC2/NFAT1 Antibody (25A10.D6.D2) - BSA Free (NB300-504) is a monoclonal antibody validated for use in IHC, WB, ICC/IF, IP and ChIP. Anti-NFATC2/NFAT1 Antibody: Cited in 12 publications. All Novus Biologicals antibodies are covered by our 100% guarantee.

Scientific Data Images for NFATC2/NFAT1 Antibody (25A10.D6.D2) - BSA Free

Immunocytochemistry/ Immunofluorescence: NFATC2/NFAT1 Antibody (25A10.D6.D2) - BSA Free [NB300-504]

Immunocytochemistry/ Immunofluorescence: NFATC2/NFAT1 Antibody (25A10.D6.D2) - BSA Free [NB300-504]

Immunocytochemistry/Immunofluorescence: NFATC2/NFAT1 Antibody (25A10.D6.D2) [NB300-504] - Analysis of NFATc2 (green) in HeLa cells. Formalin fixed cells were permeabilized with 0.1% Triton X-100 in TBS for 10 minutes at room temperature and blocked with 1% Blocker BSA for 15 minutes at room temperature. Cells were left untreated (left panel) or treated with 1uM staurosporine (right panel) for 3 hours and probed with a NFATc2 monoclonal antibody, at a dilution of 1:100 for at least 1 hour at room temperature, washed with PBS, and incubated with DyLight 488 goat anti-mouse IgG secondary antibody at a dilution of 1:400 for 30 minutes at room temperature. F-Actin (red) was stained with DyLight 554 Phalloidin and nuclei (blue) were stained with Hoechst 33342 dye.
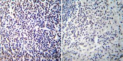
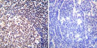
Immunohistochemistry-Paraffin: NFATC2/NFAT1 Antibody (25A10.D6.D2) - BSA Free [NB300-504]

Immunohistochemistry-Paraffin: NFATC2/NFAT1 Antibody (25A10.D6.D2) - BSA Free [NB300-504]

Immunohistochemistry-Paraffin: NFATC2/NFAT1 Antibody (25A10.D6.D2) [NB300-504] - Both normal and cancer biopsies of deparaffinized Human spleen tissue tissues.
Chromatin Immunoprecipitation: NFATC2/NFAT1 Antibody (25A10.D6.D2) [NB300-504] - IP performed using Matrix ChIP assay with 1.0ul/100ul well of NFATc2 mab. Chromatin aliquots from ~1x10^5 cells used per ChIP pull-down. Quantitative PCR data done x4 using 1ul of eluted DNA in 2ul SYBR real-time PCR reactions containing primers to amplify exon-1 or exon-28 of LAMC1. PCR calibration curves generated per primer pair from a series of sheared total genomic DNA. ChIP presented relative to the total amount of input chromatin. Results represent mean +/- SEM for 3 experiments. Representation of rat LAMC1 locus shown above data where boxes represent exons (black = translated regions, white = untranslated regions); zigzag line represents an intron, & straight line represents upstream sequence. Regions amplified by LAMC1 primers are represented by black bars. Data courtesy of the Innovators Program.

Applications for NFATC2/NFAT1 Antibody (25A10.D6.D2) - BSA Free

Application
Recommended Usage

Chromatin Immunoprecipitation (ChIP)

1-3 ul

Gel Super Shift Assays

1:1 - 1:100

Immunocytochemistry/ Immunofluorescence

1:100 - 1:1000

Immunohistochemistry-Frozen

1:50 - 1:2000

Immunohistochemistry-Paraffin

1:50 - 1:2000

Immunoprecipitation

1:10 - 1:500

Sandwich ELISA

1:100 - 1:2000

Western Blot

1 ug/ml
Application Notes
ChIP usage was reported in scientific literature (PMID: 15347678). In WB: Detects an approx. 140 kDa protein representing phosphorylated NFAT1 in restiing immune cell and approx. 120 kDa protein in stimulated cells that represents a fully dephosphorylated NAFT1. Use in Immunohistochemistry reported in multiple pieces of scientific literature.

Formulation, Preparation, and Storage

Purification

Protein G purified

Formulation

PBS

Format

BSA Free

Preservative

0.05% Sodium Azide

Concentration

1 mg/ml

Shipping

The product is shipped with polar packs. Upon receipt, store it immediately at the temperature recommended below.

Stability & Storage

Store at -20C. Avoid freeze-thaw cycles.

Background: NFATC2

The nuclear factor of activated T-cells (NFAT) transcription complex is required for the expression of a group of proteins that collectively regulate the immune response. Four NFAT proteins, encoded on separate genes and expressed as several splice variants, have been described: NFAT1, NFAT2, NFAT3, and NFAT4. These proteins show a low level of sequence similarity with the Dorsal/Rel/NFkB family of transcription factors. Another NFAT-related protein termed NFAT5 differs from isoforms 1-4 in that it lacks many of the Fos/Jun contact sites observed in its predecessors and its subcellular localization is not calcineurin-dependent.

Long Name

Nuclear factor of activated T-cells, cytoplasmic 2

Alternate Names

NFAT1, NFATP

Entrez Gene IDs

4773 (Human); 18019 (Mouse); 311658 (Rat)

Gene Symbol

NFATC2

Additional NFATC2 Products

Product Documents for NFATC2/NFAT1 Antibody (25A10.D6.D2) - BSA Free

Certificate of Analysis

To download a Certificate of Analysis, please enter a lot number in the search box below.

Product Specific Notices for NFATC2/NFAT1 Antibody (25A10.D6.D2) - BSA Free

This product is for research use only and is not approved for use in humans or in clinical diagnosis. Primary Antibodies are guaranteed for 1 year from date of receipt.

Loading...
Loading...
Loading...
Loading...