Skip to main content

Napsin A Antibody (TMU-Ad02) - BSA Free

Novus Biologicals, part of Bio-Techne | Catalog # NB110-68133

Novus Biologicals, part of Bio-Techne
Catalog #
Availability
Size / Price
Qty
Loading...
NB110-68133
NB110-68133SS

Key Product Details

Species Reactivity

Validated:

Human

Cited:

Human

Applications

Validated:

Immunohistochemistry, Immunohistochemistry-Paraffin, Western Blot

Cited:

Immunohistochemistry-Paraffin

Label

Unconjugated

Antibody Source

Monoclonal Mouse IgG1 Clone # TMU-Ad02

Format

BSA Free

Concentration

1 mg/ml

Product Specifications

Immunogen

Synthetic peptide corresponding to the N-terminus of human NAPSA [UniProt# O96009]

Clonality

Monoclonal

Host

Mouse

Isotype

IgG1

Description

Novus Biologicals Mouse Napsin A Antibody (TMU-Ad02) - BSA Free (NB110-68133) is a monoclonal antibody validated for use in IHC and WB. Anti-Napsin A Antibody: Cited in 3 publications. All Novus Biologicals antibodies are covered by our 100% guarantee.

Scientific Data Images for Napsin A Antibody (TMU-Ad02) - BSA Free

Western Blot: Napsin A Antibody (TMU-Ad02) [NB110-68133]

Western Blot: Napsin A Antibody (TMU-Ad02) [NB110-68133]

Western Blot: Napsin-A Antibody (TMU-Ad02) [NB110-68133] - Analysis of NAPSA expression in human lung using NB110-68133.
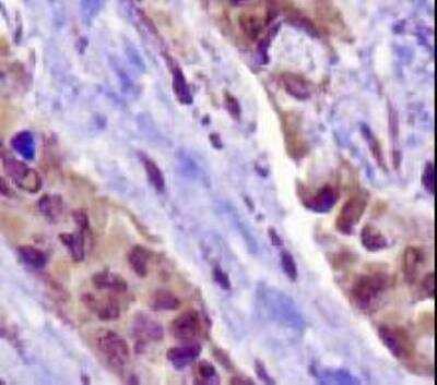
Immunohistochemistry-Paraffin: Napsin A Antibody (TMU-Ad02) [NB110-68133]

Immunohistochemistry-Paraffin: Napsin A Antibody (TMU-Ad02) [NB110-68133]

Immunohistochemistry-Paraffin: Napsin-A Antibody (TMU-Ad02) [NB110-68133] - Analysis of NAPSA on human lung adenocarcinoma using NB110-68133.

Applications for Napsin A Antibody (TMU-Ad02) - BSA Free

Application
Recommended Usage

Immunohistochemistry

0.5-1 ug/ml

Immunohistochemistry-Paraffin

0.5-1 ug/ml

Western Blot

0.5-1 ug/ml
Application Notes
This NAPSA antibody is useful for Western blot and Immunohistochemistry on formalin-fixed, paraffin embedded sections. In WB a band can be seen around 45-50 kDa.

Reviewed Applications

Read 1 review rated 5 using NB110-68133 in the following applications:

Formulation, Preparation, and Storage

Purification

Protein A purified

Formulation

Tris-Glycine and 0.15M NaCl

Format

BSA Free

Preservative

0.05% Sodium Azide

Concentration

1 mg/ml

Shipping

The product is shipped with polar packs. Upon receipt, store it immediately at the temperature recommended below.

Stability & Storage

Store at 4C short term. Aliquot and store at -20C long term. Avoid freeze-thaw cycles.

Background: Napsin A

NAPSA (Napsin A) is an aspartic proteinase that belongs to peptidase A1 family (NAPSA, cathepsins D and E, renin, pepsin, gastricsin, and bovine chymosin) and it is primarily expressed in lung and kidney, and at a very low levels in spleen as well as in peripheral blood leukocytes. NAPSA's expression is regulated by TTF-1 which also regulates the expression of surfactant protein B. Inside the lung, NAPSA is expressed in alveolar type II pneumocytes where it colocalize with prosurfactant B protein as well as surfactant B in the lamellar bodies, and has been suggested to be involved in N-terminal/C-terminal processing of prosurfactant B protein. NAPSA is also localized in intra-alveolar macrophages, probably as a result of phagocytosis. In renal tissues, NAPSA is expressed in the proximal tubules, where it is suggested to function as a lysosomal protease involved in protein catabolism.

Alternate Names

ASP4, KAP, NAPA, NAPSA, Napsin-1, SNAPA, TA01/TA02

Entrez Gene IDs

9476 (Human)

Gene Symbol

NAPSA

UniProt

Additional Napsin A Products

Product Documents for Napsin A Antibody (TMU-Ad02) - BSA Free

Certificate of Analysis

To download a Certificate of Analysis, please enter a lot number in the search box below.

Product Specific Notices for Napsin A Antibody (TMU-Ad02) - BSA Free

This product is for research use only and is not approved for use in humans or in clinical diagnosis. Primary Antibodies are guaranteed for 1 year from date of receipt.

Loading...
Loading...
Loading...
Loading...