Skip to main content

Myosin 5a Antibody - BSA Free

Novus Biologicals, part of Bio-Techne | Catalog # NBP1-92156

Novus Biologicals, part of Bio-Techne
Catalog #
Availability
Size / Price
Qty
Loading...
NBP1-92156-25ul
NBP1-92156

Key Product Details

Validated by

Orthogonal Validation

Species Reactivity

Validated:

Human, Mouse

Cited:

Human, Mouse

Predicted:

Rat (99%). Backed by our 100% Guarantee.

Applications

Validated:

Immunohistochemistry, Immunohistochemistry-Paraffin, Western Blot, Immunocytochemistry/ Immunofluorescence, Knockdown Validated

Cited:

Immunocytochemistry/ Immunofluorescence, IF/IHC, Knockdown Validated

Label

Unconjugated

Antibody Source

Polyclonal Rabbit IgG

Format

BSA Free

Concentration

Concentrations vary lot to lot. See vial label for concentration. If unlisted please contact technical services.

Product Specifications

Immunogen

This antibody was developed against Recombinant Protein corresponding to amino acids: QNLQLPPEARIEASLQHEITRLTNENLDLMEQLEKQDKTVRKLKKQLKVFAKKIGELEVGQMENISPGQIIDEPIRPVNIPRKEKDFQGMLEYKKEDEQKLVKNLILELKPRGVAVNLIPG

Reactivity Notes

Mouse reactivity reported in scientific literature (PMID:32815283)

Clonality

Polyclonal

Host

Rabbit

Isotype

IgG

Description

Novus Biologicals Rabbit Myosin 5a Antibody - BSA Free (NBP1-92156) is a polyclonal antibody validated for use in IHC and ICC/IF. Anti-Myosin 5a Antibody: Cited in 9 publications. All Novus Biologicals antibodies are covered by our 100% guarantee.

Scientific Data Images for Myosin 5a Antibody - BSA Free

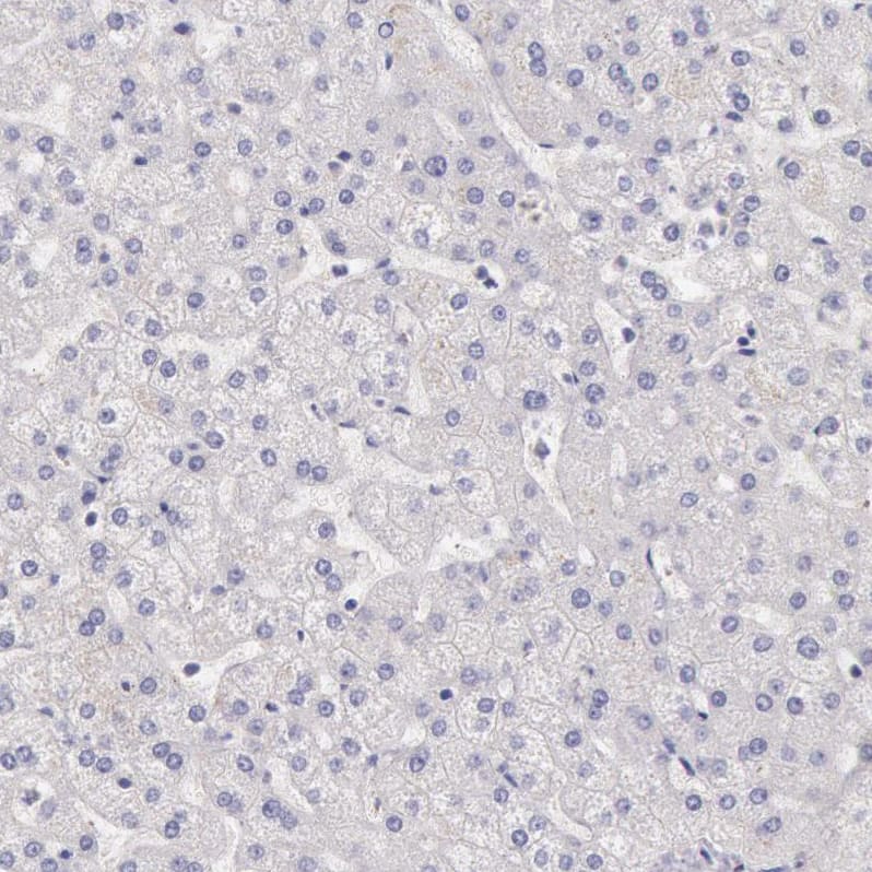
Immunohistochemistry-Paraffin: Myosin 5a Antibody [NBP1-92156]

Immunohistochemistry-Paraffin: Myosin 5a Antibody [NBP1-92156]

Immunohistochemistry-Paraffin: Myosin 5a Antibody [NBP1-92156] - Analysis in human cerebral cortex and liver tissues. Corresponding Myosin 5a RNA-seq data are presented for the same tissues.
Immunocytochemistry/ Immunofluorescence: Myosin 5a Antibody [NBP1-92156]

Immunocytochemistry/ Immunofluorescence: Myosin 5a Antibody [NBP1-92156]

Immunocytochemistry/Immunofluorescence: Myosin 5a Antibody [NBP1-92156] - Staining of human cell line A-431 shows localization to microtubule organizing center & focal adhesion sites. Antibody staining shown in green.
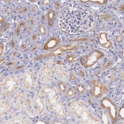
Immunohistochemistry-Paraffin: Myosin 5a Antibody [NBP1-92156]

Immunohistochemistry-Paraffin: Myosin 5a Antibody [NBP1-92156]

Immunohistochemistry-Paraffin: Myosin 5a Antibody [NBP1-92156] - Staining of human kIdney shows moderate memberanous positivity in cells in tubules.

Applications for Myosin 5a Antibody - BSA Free

Application
Recommended Usage

Immunocytochemistry/ Immunofluorescence

0.25-2 ug/ml

Immunohistochemistry

1:200 - 1:500

Immunohistochemistry-Paraffin

1:200-1:500

Knockdown Validated

Validation (Barthelemy-Requin et al).

Western Blot

0.04-0.4 µg/ml
Application Notes
IHC-P, Retrieval method HIER pH6, ICC/IF, Fixation/Permeabilization: PFA/Triton X-100.

Formulation, Preparation, and Storage

Purification

Immunogen affinity purified

Formulation

PBS (pH 7.2) and 40% Glycerol

Format

BSA Free

Preservative

0.02% Sodium Azide

Concentration

Concentrations vary lot to lot. See vial label for concentration. If unlisted please contact technical services.

Shipping

The product is shipped with polar packs. Upon receipt, store it immediately at the temperature recommended below.

Stability & Storage

Store at 4C short term. Aliquot and store at -20C long term. Avoid freeze-thaw cycles.

Background: Myosin 5a

The MYO5 gene is one of three myosin V heavy-chain genes, belonging to the myosin gene superfamily. Myosin V is a class of actin-based motor proteins involved in cytoplasmic vesicle transport and anchorage, spindle-pole alignment and mRNA translocation. The p

Alternate Names

Dilute myosin heavy chain, non-muscle, GS1myosin, heavy polypeptide kinase, MYH12myosin-12, MYO5, Myosin heavy chain 12, myosin V, myosin VA (heavy chain 12, myoxin), myosin VA (heavy polypeptide 12, myoxin), Myosin-12, myosin-Va, myoxin, MYR12

Gene Symbol

MYO5A

Additional Myosin 5a Products

Product Documents for Myosin 5a Antibody - BSA Free

Certificate of Analysis

To download a Certificate of Analysis, please enter a lot number in the search box below.

Product Specific Notices for Myosin 5a Antibody - BSA Free

This product is for research use only and is not approved for use in humans or in clinical diagnosis. Primary Antibodies are guaranteed for 1 year from date of receipt.

Loading...
Loading...
Loading...
Loading...