Skip to main content

MYL9 Antibody (JE34-63)

Novus Biologicals, part of Bio-Techne | Catalog # NBP3-32626

Recombinant Monoclonal Antibody
Novus Biologicals, part of Bio-Techne
Catalog #
Availability
Size / Price
Qty
Loading...
NBP3-32626

Key Product Details

Species Reactivity

Human, Mouse, Rat

Applications

Immunohistochemistry, Immunohistochemistry-Paraffin, Western Blot

Label

Unconjugated

Antibody Source

Recombinant Monoclonal Rabbit IgG Clone # JE34-63 expressed in HEK293

Concentration

1 mg/ml

Product Specifications

Immunogen

Synthetic peptide within Human MYL9 aa 51-100 / 172. (Uniprot: P24844)

Localization

Cytoplasm, cytoskeleton, cell cortex.

Clonality

Monoclonal

Host

Rabbit

Isotype

IgG

Theoretical MW

20 kDa.
Disclaimer note: The observed molecular weight of the protein may vary from the listed predicted molecular weight due to post translational modifications, post translation cleavages, relative charges, and other experimental factors.

Description

Novus Biologicals Rabbit MYL9 Antibody (JE34-63) (NBP3-32626) is a recombinant monoclonal antibody validated for use in IHC and WB. All Novus Biologicals antibodies are covered by our 100% guarantee.

Scientific Data Images for MYL9 Antibody (JE34-63)

MYL9 Antibody (JE34-63)

Western Blot: MYL9 Antibody (JE34-63) [NBP3-32626]

Western Blot: MYL9 Antibody (JE34-63) [NBP3-32626] - Western blot analysis of MYL9 on different lysates with Rabbit anti-MYL9 antibody (NBP3-32626) at 1/1,000 dilution.

Lane 1: Hela cell lysate
Lane 2: Mouse colon tissue lysate
Lane 3: Rat colon tissue lysate
Lane 4: Rat uterus tissue lysate

Lysates/proteins at 40 ug/Lane.

Predicted band size: 20 kDa
Observed band size: 19 kDa

Exposure time: 2 minutes;

4-20% SDS-PAGE gel.

Proteins were transferred to a PVDF membrane and blocked with 5% NFDM/TBST for 1 hour at room temperature. The primary antibody (NBP3-32626) at 1/1,000 dilution was used in 5% NFDM/TBST at room temperature for 2 hours. Goat Anti-Rabbit IgG - HRP Secondary Antibody at 1:100,000 dilution was used for 1 hour at room temperature.
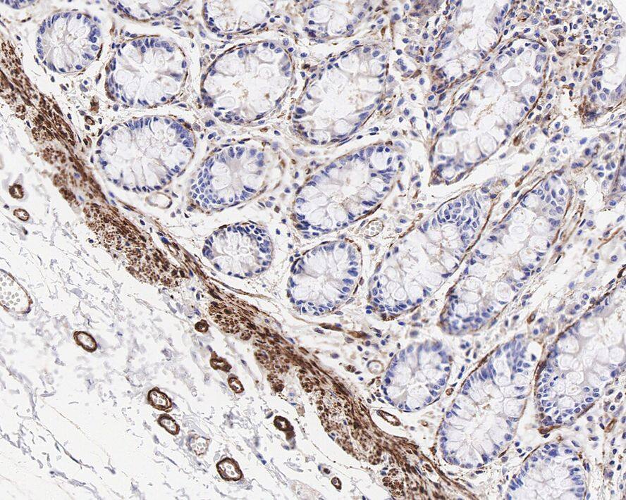
MYL9 Antibody (JE34-63)

Immunohistochemistry: MYL9 Antibody (JE34-63) [NBP3-32626]

Immunohistochemistry: MYL9 Antibody (JE34-63) [NBP3-32626] - Immunohistochemical analysis of paraffin-embedded human colon tissue with Rabbit anti-MYL9 antibody (NBP3-32626) at 1/1,000 dilution.

The section was pre-treated using heat mediated antigen retrieval with Tris-EDTA buffer (pH 9.0) for 20 minutes. The tissues were blocked in 1% BSA for 20 minutes at room temperature, washed with ddH2O and PBS, and then probed with the primary antibody (NBP3-32626) at 1/1,000 dilution for 1 hour at room temperature. The detection was performed using an HRP conjugated compact polymer system. DAB was used as the chromogen. Tissues were counterstained with hematoxylin and mounted with DPX.

Applications for MYL9 Antibody (JE34-63)

Application
Recommended Usage

Immunohistochemistry-Paraffin

1:1000

Western Blot

1:1000

Formulation, Preparation, and Storage

Purification

Protein A purified

Formulation

1*TBS (pH7.4), 0.05% BSA and 40% Glycerol

Preservative

0.05% Sodium Azide

Concentration

1 mg/ml

Shipping

The product is shipped with polar packs. Upon receipt, store it immediately at the temperature recommended below.

Stability & Storage

Store at 4C short term. Aliquot and store at -20C long term. Avoid freeze-thaw cycles.

Background: MYL9

Myosin is the major component of thick muscle filaments, and is a long asymmetric molecule containing a globular head and a long tail. The molecule consists of two heavy chains each ~200,000 daltons, and four light chains each ~16,000 - 21,000 daltons. Activation of smooth and cardiac muscle primarily involves pathways that increase calcium and myosin phosphorylation resulting in contraction. Myosin light chain phosphatase acts to regulate muscle contraction by dephosphorylating activated myosin light chain. The selected peptide sequence used to generate the polyclonal antibody is located near the amino terminal end of the polypeptide corresponding to the smooth/non-muscle form of myosin regulatory light chain found in cardiac myocytes in addition to smooth and non-muscle cells. This sequence differs from that of the sarcomeric/ cardiac form of myosin regulatory light chain that has a different sequence around the phosphorylation site. Human, mouse and rat have almost identical sequences.

Alternate Names

LC2020 kDa myosin light chain, MLC2Myosin RLC, MRLC1MLC-2C, myosin regulatory light chain 1, Myosin regulatory light chain 2, smooth muscle isoform, Myosin regulatory light chain 9, Myosin regulatory light chain MRLC1, myosin regulatory light polypeptide 9, myosin, light chain 9, regulatory, myosin, light polypeptide 9, regulatory, MYRL2MGC3505

Gene Symbol

MYL9

Additional MYL9 Products

Product Documents for MYL9 Antibody (JE34-63)

Certificate of Analysis

To download a Certificate of Analysis, please enter a lot number in the search box below.

Product Specific Notices for MYL9 Antibody (JE34-63)

This product is for research use only and is not approved for use in humans or in clinical diagnosis. Primary Antibodies are guaranteed for 1 year from date of receipt.

Loading...
Loading...
Loading...
Loading...