Skip to main content

Muscarinic Acetylcholine Receptor M2/CHRM2 Antibody (JE38-35)

Novus Biologicals, part of Bio-Techne | Catalog # NBP3-32617

Recombinant Monoclonal Antibody
Novus Biologicals, part of Bio-Techne
Catalog #
Availability
Size / Price
Qty
Loading...
NBP3-32617

Key Product Details

Species Reactivity

Human, Mouse, Rat

Applications

Immunohistochemistry, Immunohistochemistry-Paraffin, Western Blot, Flow Cytometry, Immunocytochemistry/ Immunofluorescence

Label

Unconjugated

Antibody Source

Recombinant Monoclonal Rabbit IgG Clone # JE38-35 expressed in HEK293

Concentration

1 mg/ml

Product Specifications

Immunogen

Synthetic peptide within Human Muscarinic Acetylcholine Receptor M2/CHRM2 aa 140-184 / 466. (Uniprot: P08172)

Localization

Cell membrane, Postsynaptic cell membrane.

Clonality

Monoclonal

Host

Rabbit

Isotype

IgG

Theoretical MW

52 kDa.
Disclaimer note: The observed molecular weight of the protein may vary from the listed predicted molecular weight due to post translational modifications, post translation cleavages, relative charges, and other experimental factors.

Description

Novus Biologicals Rabbit Muscarinic Acetylcholine Receptor M2/CHRM2 Antibody (JE38-35) (NBP3-32617) is a recombinant monoclonal antibody validated for use in IHC, WB, Flow and ICC/IF. All Novus Biologicals antibodies are covered by our 100% guarantee.

Scientific Data Images for Muscarinic Acetylcholine Receptor M2/CHRM2 Antibody (JE38-35)

Muscarinic Acetylcholine Receptor M2/CHRM2 Antibody (JE38-35)

Western Blot: Muscarinic Acetylcholine Receptor M2/CHRM2 Antibody (JE38-35) [NBP3-32617]

Western Blot: Muscarinic Acetylcholine Receptor M2/CHRM2 Antibody (JE38-35) [NBP3-32617] - Western blot analysis of Muscarinic Acetylcholine Receptor M2/CHRM2 on different lysates with Rabbit anti-Muscarinic Acetylcholine Receptor M2/CHRM2 antibody (NBP3-32617) at 1/1,000 dilution.

Lane 1: HepG2 cell lysate
Lane 2: SH-SY5Y cell lysate
Lane 3: U-87 MG cell lysate
Lane 4: Neuro-2a cell lysate
Lane 5: PC-12 cell lysate

Lysates/proteins at 20 ug/Lane.

Predicted band size: 52 kDa
Observed band size: 52 kDa

Exposure time: 1 minute 17 seconds;

4-20% SDS-PAGE gel.

Proteins were transferred to a PVDF membrane and blocked with 5% NFDM/TBST for 1 hour at room temperature. The primary antibody (NBP3-32617) at 1/1,000 dilution was used in 5% NFDM/TBST at 4 overnight. Goat Anti-Rabbit IgG - HRP Secondary Antibody at 1:100,000 dilution was used for 1 hour at room temperature.
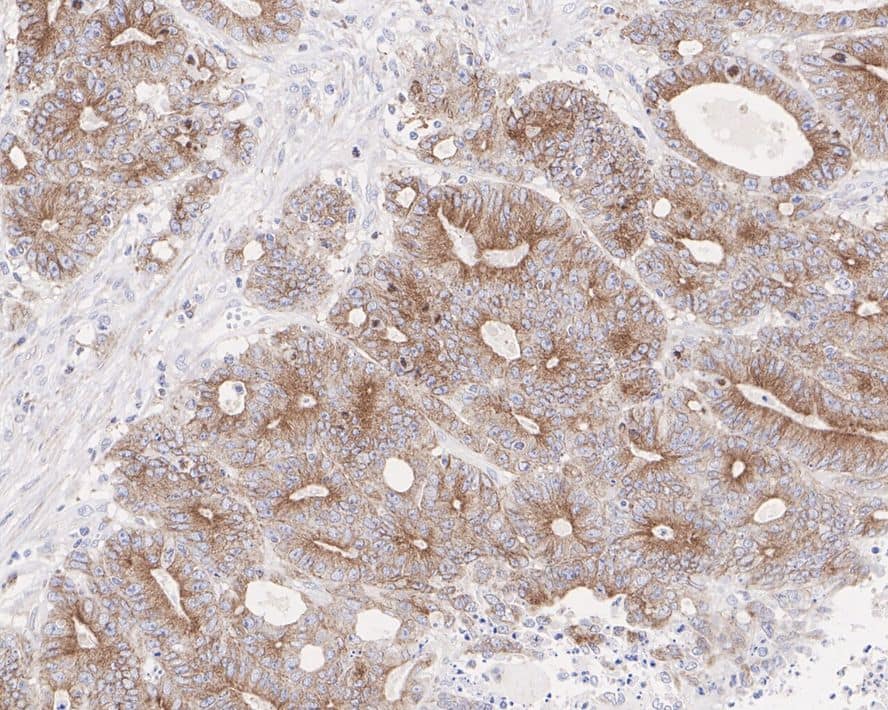
Muscarinic Acetylcholine Receptor M2/CHRM2 Antibody (JE38-35)

Immunohistochemistry: Muscarinic Acetylcholine Receptor M2/CHRM2 Antibody (JE38-35) [NBP3-32617]

Immunohistochemistry: Muscarinic Acetylcholine Receptor M2/CHRM2 Antibody (JE38-35) [NBP3-32617] - Immunohistochemical analysis of paraffin-embedded human colon carcinoma tissue with Rabbit anti-Muscarinic Acetylcholine Receptor M2/CHRM2 antibody (NBP3-32617) at 1/1,000 dilution.

The section was pre-treated using heat mediated antigen retrieval with Tris-EDTA buffer (pH 9.0) for 20 minutes. The tissues were blocked in 1% BSA for 20 minutes at room temperature, washed with ddH2O and PBS, and then probed with the primary antibody (NBP3-32617) at 1/1,000 dilution for 1 hour at room temperature. The detection was performed using an HRP conjugated compact polymer system. DAB was used as the chromogen. Tissues were counterstained with hematoxylin and mounted with DPX.
Muscarinic Acetylcholine Receptor M2/CHRM2 Antibody (JE38-35)

Immunocytochemistry/ Immunofluorescence: Muscarinic Acetylcholine Receptor M2/CHRM2 Antibody (JE38-35) [NBP3-32617]

Immunocytochemistry/ Immunofluorescence: Muscarinic Acetylcholine Receptor M2/CHRM2 Antibody (JE38-35) [NBP3-32617] - Immunocytochemistry analysis of SH-SY5Y cells labeling Muscarinic Acetylcholine Receptor M2/CHRM2 with Rabbit anti-Muscarinic Acetylcholine Receptor M2/CHRM2 antibody (NBP3-32617) at 1/100 dilution.

Cells were fixed in 4% paraformaldehyde for 20 minutes at room temperature, permeabilized with 0.1% Triton X-100 in PBS for 5 minutes at room temperature, then blocked with 1% BSA in 10% negative goat serum for 1 hour at room temperature. Cells were then incubated with Rabbit anti-Muscarinic Acetylcholine Receptor M2/CHRM2 antibody (NBP3-32617) at 1/100 dilution in 1% BSA in PBST overnight at 4 ℃.Goat Anti-Rabbit IgG H&L (iFluor™ 488) was used as the secondary antibody at 1/1,000 dilution. PBS instead of the primary antibody was used as the secondary antibody only control. Nuclear DNA was labelled in blue with DAPI.

Beta tubulin (red) was stained at 1/100 dilution overnight at +4℃. Goat Anti-Mouse IgG H&L (iFluor™ 594) was used as the secondary antibody at 1/1,000 dilution.

Applications for Muscarinic Acetylcholine Receptor M2/CHRM2 Antibody (JE38-35)

Application
Recommended Usage

Flow Cytometry

1:500-1:1000

Immunocytochemistry/ Immunofluorescence

1:100

Immunohistochemistry-Paraffin

1:1000

Western Blot

1:1000

Formulation, Preparation, and Storage

Purification

Protein A purified

Formulation

1*TBS (pH7.4), 0.05% BSA and 40% Glycerol

Preservative

0.05% Sodium Azide

Concentration

1 mg/ml

Shipping

The product is shipped with polar packs. Upon receipt, store it immediately at the temperature recommended below.

Stability & Storage

Store at 4C short term. Aliquot and store at -20C long term. Avoid freeze-thaw cycles.

Background: CHRM2

Acetylcholine receptors (AChRs) mediate synaptic transmission at the neuromuscular junction. The channel-linked AChR that mediates rapid, excitatory actions of acetylcholine is called nicotinic AChR (nAChR) because it can be activated by nicotine. The non-channel linked AChR that medicates the slow actions of acetylcholine, which can be either inhibitory or excitatory, is called muscarinic AChR (mAChR) because it can be activated by muscarine. The mAChRs are present in neurons of the central and peripheral nervous systems, cardiac and smooth muscle and various exocrine glands. There are 5 subtypes (m1-m5) of the receptor that have a tissue specific pattern of expression. The m2 receptor is localized primarily in cardiac tissue and is also expressed at low levels in the hippocampus, cortex, striatum, thalamus, basal forebrain, brainstem, lung, vas deferens and uterus.

Long Name

Cholinergic Receptor Muscarinic 2

Alternate Names

HM2, mAChR M2

Gene Symbol

CHRM2

Additional CHRM2 Products

Product Documents for Muscarinic Acetylcholine Receptor M2/CHRM2 Antibody (JE38-35)

Certificate of Analysis

To download a Certificate of Analysis, please enter a lot number in the search box below.

Product Specific Notices for Muscarinic Acetylcholine Receptor M2/CHRM2 Antibody (JE38-35)

This product is for research use only and is not approved for use in humans or in clinical diagnosis. Primary Antibodies are guaranteed for 1 year from date of receipt.

Loading...
Loading...
Loading...
Loading...
Loading...