Skip to main content

MTHFR Antibody (5D3)

Novus Biologicals, part of Bio-Techne | Catalog # NBP2-37607

Novus Biologicals, part of Bio-Techne
Catalog #
Availability
Size / Price
Qty
Loading...
NBP2-37607
NBP2-37607-0.025ml

Key Product Details

Species Reactivity

Human, Rat

Applications

ELISA, Immunohistochemistry, Immunohistochemistry-Paraffin, Western Blot

Label

Unconjugated

Antibody Source

Monoclonal Mouse IgG1 Clone # 5D3

Concentration

This product is unpurified. The exact concentration of antibody is not quantifiable.

Product Specifications

Immunogen

Purified recombinant fragment of human MTHFR expressed in E. Coli.

Clonality

Monoclonal

Host

Mouse

Isotype

IgG1

Theoretical MW

75 kDa.
Disclaimer note: The observed molecular weight of the protein may vary from the listed predicted molecular weight due to post translational modifications, post translation cleavages, relative charges, and other experimental factors.

Description

Novus Biologicals Mouse MTHFR Antibody (5D3) (NBP2-37607) is a monoclonal antibody validated for use in IHC, WB and ELISA. All Novus Biologicals antibodies are covered by our 100% guarantee.

Scientific Data Images for MTHFR Antibody (5D3)

Western Blot: MTHFR Antibody (5D3)BSA Free [NBP2-37607]

Western Blot: MTHFR Antibody (5D3)BSA Free [NBP2-37607]

Western Blot: MTHFR Antibody (5D3) [NBP2-37607] - Western blot analysis using MTHFR mouse mAb against Rat Heart cell lysate.
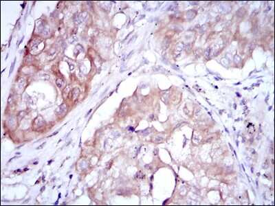
Immunohistochemistry-Paraffin: MTHFR Antibody (5D3) - BSA Free [NBP2-37607]

Immunohistochemistry-Paraffin: MTHFR Antibody (5D3) - BSA Free [NBP2-37607]

Immunohistochemistry-Paraffin: MTHFR Antibody (5D3) [NBP2-37607] - Analysis of intima cancer tissues (left) and prostate tissues (right) using MTHFR mouse mAb with DAB staining.
Western Blot: MTHFR Antibody (5D3)BSA Free [NBP2-37607]

Western Blot: MTHFR Antibody (5D3)BSA Free [NBP2-37607]

Western Blot: MTHFR Antibody (5D3) [NBP2-37607] - Western blot analysis using MTHFR mAb against HEK293 (1) and MTHFR(AA: 339-499)-hIgGFc transfected HEK293 (2) cell lysate.

Applications for MTHFR Antibody (5D3)

Application
Recommended Usage

ELISA

1:10000

Immunohistochemistry

1:200 - 1:1000

Western Blot

1:500 - 1:2000

Formulation, Preparation, and Storage

Purification

Unpurified

Formulation

Ascites

Preservative

0.03% Sodium Azide

Concentration

This product is unpurified. The exact concentration of antibody is not quantifiable.

Shipping

The product is shipped with polar packs. Upon receipt, store it immediately at the temperature recommended below.

Stability & Storage

Store at 4C short term. Aliquot and store at -20C long term. Avoid freeze-thaw cycles.

Background: MTHFR

Methylenetetrahydrofolate reductase (EC 1.5.1.20) catalyzes the conversion of 5,10-methylenetetrahydrofolate to 5-methyltetrahydrofolate, a cosubstrate for homocysteine remethylation to methionine.[supplied by OMIM]

Alternate Names

EC 1.5.1.20, methylenetetrahydrofolate reductase, methylenetetrahydrofolate reductase (NAD(P)H)5,10-methylenetetrahydrofolate reductase (NADPH)

Gene Symbol

MTHFR

Additional MTHFR Products

Product Documents for MTHFR Antibody (5D3)

Certificate of Analysis

To download a Certificate of Analysis, please enter a lot number in the search box below.

Product Specific Notices for MTHFR Antibody (5D3)

This product is for research use only and is not approved for use in humans or in clinical diagnosis. Primary Antibodies are guaranteed for 1 year from date of receipt.

Loading...
Loading...
Loading...
Loading...