Skip to main content

MRG15 Antibody (OTI5D2) - Azide and BSA Free

Novus Biologicals, part of Bio-Techne | Catalog # NBP2-72778

Novus Biologicals, part of Bio-Techne

Key Product Details

Species Reactivity

Human, Mouse, Rat

Applications

Immunohistochemistry, Immunohistochemistry-Paraffin, Western Blot

Label

Unconjugated

Antibody Source

Monoclonal Mouse IgG1 Clone # OTI5D2

Format

Azide and BSA Free

Concentration

LYOPH mg/ml

Product Specifications

Immunogen

Human recombinant protein fragment corresponding to amino acids 6-77 of human MORF4L1(NP_006782) produced in E.coli.

Reactivity Notes

Please note that this antibody is reactive to Mouse and derived from the same host, Mouse. Mouse-On-Mouse blocking reagent may be needed for IHC and ICC experiments to reduce high background signal. You can find these reagents under catalog numbers PK-2200-NB and MP-2400-NB. Please contact Technical Support if you have any questions.

Clonality

Monoclonal

Host

Mouse

Isotype

IgG1

Theoretical MW

37.1 kDa.
Disclaimer note: The observed molecular weight of the protein may vary from the listed predicted molecular weight due to post translational modifications, post translation cleavages, relative charges, and other experimental factors.

Description

Novus Biologicals Mouse MRG15 Antibody (OTI5D2) - Azide and BSA Free (NBP2-45908) is a monoclonal antibody validated for use in IHC and WB. All Novus Biologicals antibodies are covered by our 100% guarantee.

Scientific Data Images for MRG15 Antibody (OTI5D2) - Azide and BSA Free

Western Blot: MRG15 Antibody (OTI5D2)Azide and BSA Free [NBP2-72778]

Western Blot: MRG15 Antibody (OTI5D2)Azide and BSA Free [NBP2-72778]

Western Blot: MRG15 Antibody (OTI5D2) - Azide and BSA Free [NBP2-72778] - Analysis of HEK293T cells were transfected with the pCMV6-ENTRY control (Left lane) or pCMV6-ENTRY MRG15.
MRG15 Antibody (OTI5D2) - Azide and BSA Free

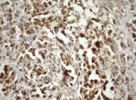
Immunohistochemistry-Paraffin-MRG15 Antibody (OTI5D2) - Azide and BSA Free [NBP2-72778] -

Immunohistochemistry-Paraffin-MRG15 Antibody (OTI5D2) - Azide and BSA Free [NBP2-72778] - Carcinoma of Human prostate tissue using anti-MORF4L1 mouse monoclonal antibody. (Heat-induced epitope retrieval by Tris-EDTA, pH8.0.
MRG15 Antibody (OTI5D2) - Azide and BSA Free

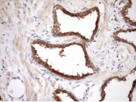
Immunohistochemistry-Paraffin-MRG15 Antibody (OTI5D2) - Azide and BSA Free [NBP2-72778] -

Immunohistochemistry-Paraffin-MRG15 Antibody (OTI5D2) - Azide and BSA Free [NBP2-72778] - Human bladder tissue within the normal limits using anti-MORF4L1 mouse monoclonal antibody. (Heat-induced epitope retrieval by Tris-EDTA, pH8.0.

Applications for MRG15 Antibody (OTI5D2) - Azide and BSA Free

Application
Recommended Usage

Immunohistochemistry

1:150

Immunohistochemistry-Paraffin

1:150

Western Blot

1:2000

Formulation, Preparation, and Storage

Purification

Immunogen affinity purified

Reconstitution

we recommend adding 100uL distilled water to a final antibody concentration of about 1 mg/mL. To use this carrier-free antibody for conjugation experiment, we strongly recommend performing another round of desalting process.

Formulation

Lyophilized from PBS (pH 7.3) with 8% Trehalose

Format

Azide and BSA Free

Preservative

No Preservative

Concentration

LYOPH mg/ml

Shipping

The product is shipped with polar packs. Upon receipt, store it immediately at the temperature recommended below.

Stability & Storage

Store at -20C. Avoid freeze-thaw cycles.

Background: MRG15

MRG15 is a component of the NuA4 histone acetyltransferase (HAT) complex which is involved in transcriptional activation of select genes principally by acetylation of nucleosomal histones H4 and H2A. This modification may both alter nucleosome - DNA interactions and

Alternate Names

Eaf3, Esa1p-associated factor 3 homolog, HsT17725, MEAF3, MGC10631, MORF-related gene on chromosome 15, MORFRG15, mortality factor 4 like 1, mortality factor 4-like protein 1, MRG15MORF-related gene 15 protein, Protein MSL3-1, S863-6, Transcription factor-like protein MRG15

Gene Symbol

MORF4L1

Additional MRG15 Products

Product Documents for MRG15 Antibody (OTI5D2) - Azide and BSA Free

Certificate of Analysis

To download a Certificate of Analysis, please enter a lot number in the search box below.

Product Specific Notices for MRG15 Antibody (OTI5D2) - Azide and BSA Free

This product is for research use only and is not approved for use in humans or in clinical diagnosis. Primary Antibodies are guaranteed for 1 year from date of receipt.

Loading...
Loading...
Loading...
Loading...
Loading...