Skip to main content

MRG15 Antibody (OTI5D2)

Novus Biologicals, part of Bio-Techne | Catalog # NBP2-45908

Novus Biologicals, part of Bio-Techne
Catalog #
Availability
Size / Price
Qty
Loading...
NBP2-45908

Key Product Details

Species Reactivity

Human, Mouse, Rat

Applications

Immunohistochemistry, Immunohistochemistry-Paraffin, Western Blot

Label

Unconjugated

Antibody Source

Monoclonal Mouse IgG1 Clone # OTI5D2

Concentration

1 mg/ml

Product Specifications

Immunogen

Human recombinant protein fragment corresponding to amino acids 6-77 of human MORF4L1(NP_006782) produced in E.coli.

Reactivity Notes

Please note that this antibody is reactive to Mouse and derived from the same host, Mouse. Mouse-On-Mouse blocking reagent may be needed for IHC and ICC experiments to reduce high background signal. You can find these reagents under catalog numbers PK-2200-NB and MP-2400-NB. Please contact Technical Support if you have any questions.

Clonality

Monoclonal

Host

Mouse

Isotype

IgG1

Theoretical MW

37.1 kDa.
Disclaimer note: The observed molecular weight of the protein may vary from the listed predicted molecular weight due to post translational modifications, post translation cleavages, relative charges, and other experimental factors.

Description

Novus Biologicals Mouse MRG15 Antibody (OTI5D2) (NBP2-45908) is a monoclonal antibody validated for use in IHC and WB. All Novus Biologicals antibodies are covered by our 100% guarantee.

Scientific Data Images for MRG15 Antibody (OTI5D2)

Western Blot: MRG15 Antibody (OTI5D2) [NBP2-45908]

Western Blot: MRG15 Antibody (OTI5D2) [NBP2-45908]

Western Blot: MRG15 Antibody (5D2) [NBP2-45908] - Analysis of HEK293T cells were transfected with the pCMV6-ENTRY control (Left lane) or pCMV6-ENTRY MRG15.
Immunohistochemistry: MRG15 Antibody (OTI5D2) [NBP2-45908]

Immunohistochemistry: MRG15 Antibody (OTI5D2) [NBP2-45908]

Immunohistochemistry: MRG15 Antibody (5D2) [NBP2-45908] - Analysis of Human bladder tissue. (Heat-induced epitope retrieval by Tris-EDTA, pH8.0)
Immunohistochemistry: MRG15 Antibody (OTI5D2) [NBP2-45908]

Immunohistochemistry: MRG15 Antibody (OTI5D2) [NBP2-45908]

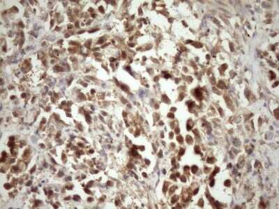
Immunohistochemistry: MRG15 Antibody (5D2) [NBP2-45908] - Analysis of Carcinoma of Human prostate tissue. (Heat-induced epitope retrieval by Tris-EDTA, pH8.0)

Applications for MRG15 Antibody (OTI5D2)

Application
Recommended Usage

Immunohistochemistry

1:150

Western Blot

1:2000

Formulation, Preparation, and Storage

Purification

Immunogen affinity purified

Formulation

PBS (pH 7.3), 1.0% BSA and 50% Glycerol

Preservative

0.02% Sodium Azide

Concentration

1 mg/ml

Shipping

The product is shipped with polar packs. Upon receipt, store it immediately at the temperature recommended below.

Stability & Storage

Store at -20C. Avoid freeze-thaw cycles.

Background: MRG15

MRG15 is a component of the NuA4 histone acetyltransferase (HAT) complex which is involved in transcriptional activation of select genes principally by acetylation of nucleosomal histones H4 and H2A. This modification may both alter nucleosome - DNA interactions and

Alternate Names

Eaf3, Esa1p-associated factor 3 homolog, HsT17725, MEAF3, MGC10631, MORF-related gene on chromosome 15, MORFRG15, mortality factor 4 like 1, mortality factor 4-like protein 1, MRG15MORF-related gene 15 protein, Protein MSL3-1, S863-6, Transcription factor-like protein MRG15

Gene Symbol

MORF4L1

Additional MRG15 Products

Product Documents for MRG15 Antibody (OTI5D2)

Certificate of Analysis

To download a Certificate of Analysis, please enter a lot number in the search box below.

Product Specific Notices for MRG15 Antibody (OTI5D2)

This product is for research use only and is not approved for use in humans or in clinical diagnosis. Primary Antibodies are guaranteed for 1 year from date of receipt.

Loading...
Loading...
Loading...
Loading...