Skip to main content

Key Product Details

Validated by

Biological Validation

Species Reactivity

Validated:

Mouse

Cited:

Human, Mouse, Transgenic Mouse

Applications

Validated:

Immunohistochemistry, Western Blot, ELISA Capture (Matched Antibody Pair), Neutralization

Cited:

Immunohistochemistry, Immunohistochemistry-Paraffin, Western Blot, Neutralization, Immunocytochemistry, ELISA Development, Proximity Ligation Assay

Label

Unconjugated

Antibody Source

Polyclonal Goat IgG

Product Specifications

Immunogen

Mouse myeloma cell line NS0-derived recombinant mouse TRANCE/TNFSF11/RANK L
Arg72-Asp316
Accession # O35235

Specificity

Detects mouse TRANCE/TNFSF11/RANK L in ELISAs and Western blots.

Clonality

Polyclonal

Host

Goat

Isotype

IgG

Endotoxin Level

<0.10 EU per 1 μg of the antibody by the LAL method.

Scientific Data Images for Mouse TRANCE/TNFSF11/RANK L Antibody

Osteoclast-like Cell Formation Induced by TRANCE/ TNFSF11/RANK L and Neutralization by Mouse TRANCE/TNFSF11/RANK L Antibody.

Osteoclast-like Cell Formation Induced by TRANCE/ TNFSF11/RANK L and Neutralization by Mouse TRANCE/TNFSF11/RANK L Antibody.

In the presence of Recombinant Mouse M-CSF (20 ng/mL, 416-ML), Recombinant Mouse TRANCE/TNFSF11/RANK L (462-TR) induces osteoclast-like cell formation in RAW 264.7 cells in a dose-dependent manner (orange line), as measured by TRAP (tartrate-resistant acid phosphatase) solution assay. Under these conditions, osteoclast-like cell formation elicited by Recombinant Mouse TRANCE/TNFSF11/ RANK L (30 ng/mL) is neutralized (green line) by increasing concentrations of Goat Anti-Mouse TRANCE/TNFSF11/RANK L Antigen Affinity-purified Polyclonal Antibody (Catalog # AF462). The ND50 is typically <0.500 µg/mL.
Detection of Mouse TRANCE/TNFSF11/RANK L by Immunohistochemistry-Paraffin

Detection of Mouse TRANCE/TNFSF11/RANK L by Immunohistochemistry-Paraffin

MMP2, MMP9, and RANKL expression in AAAs.A. Immunohistochemical staining for indicated proteins of serial sections of aortas one week after CaCl2 treatment. Elastic van Gieson staining is also shown. SM alpha-actin and F4/80 were stained to locate SMCs and macrophages, respectively. Shown are representative images of 4 or more samples in each group. Scale bars, 50 µm. B. Relative positive staining area of MMP2, MMP9, and RANKL in sections from control diet and EPA diet groups. n = 4–5. *P<0.05. Image collected and cropped by CiteAb from the following open publication (https://dx.plos.org/10.1371/journal.pone.0096286), licensed under a CC-BY license. Not internally tested by R&D Systems.
Detection of TRANCE/TNFSF11/RANK L by Western Blot

Detection of TRANCE/TNFSF11/RANK L by Western Blot

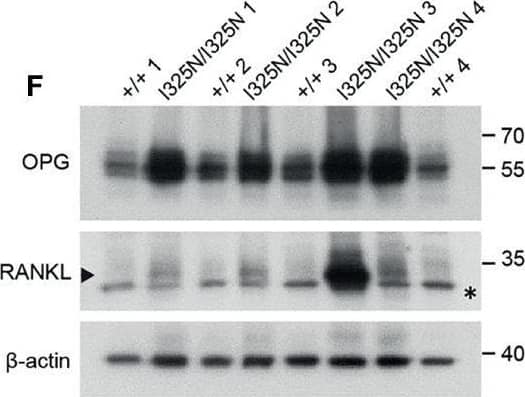
Tnfaip3 I325N mice exhibit impaired mammary development, elevated non-canonical RankL signalling and dampened non-canonical NF-kappa B signalling. (A) Mammary gland whole mounts of the 3rd and 4th mammary gland from 14-week virgin Tnfaip3I325N mice of indicated genotype. * denotes empty fat pad space. LN = lymph node. (B) Representative H&E of mammary gland from does 8.5 days post-partum, and (C) pup weight of resulting pairs, normalised to litter size. (D, E) Quantified positive immunohistochemistry staining for (D) progesterone receptor (PR) or (E) estrogen receptor (ER) (n = 9 Tnfaip3+/+ and 9 Tnfaip3I325N/I325N). (F) 4th Mammary gland from 10-week-old mice were collected and lysed for immunoblot assessment of paracrine hormones OPG and RANKL with Beta-actin used as the loading control.* denotes non-specific band and arrow head denotes specific band. Molecular weight in Kilodaltons is shown to the right of each blot. (G–I) 4th Mammary gland and its lymph node (J–L) from 10-week-old mice were collected for immunoblot (G, J) and densitometry analysis (H, I, K, L) for non-canonical NF-kappa B components NIK, p100/p52 and RelB. Immunoblots are representative of 2 independent experiments with n=6 (H, I) or n = 3 (K, L) biological replicates for both WT and HOM donors. Densitometry values were normalised to the average WT value of each blot to allow cumulative quantification. Error bars represent s.e.m and Student’s T test used for significance analysis * = P < 0.05. Image collected and cropped by CiteAb from the following open publication (https://pubmed.ncbi.nlm.nih.gov/35464428), licensed under a CC-BY license. Not internally tested by R&D Systems.

Applications for Mouse TRANCE/TNFSF11/RANK L Antibody

Application
Recommended Usage

Immunohistochemistry

0.25-25 µg/mL
Sample: Immersion fixed paraffin-embedded sections of mouse spleen

Western Blot

0.1 µg/mL
Sample: Recombinant Mouse TRANCE/TNFSF11/RANK L (Catalog # 462-TR)

Neutralization

Measured by its ability to neutralize TRANCE/TNFSF11/RANK L-induced osteoclast-like cell formation in RAW 264.7 cells. Nakagawa, N. et al. (1998) Biochim. Biophys. Res. Commun. 253:395. The Neutralization Dose (ND50) is typically <0.500 µg/mL in the presence of 30 ng/mL Recombinant Mouse TRANCE/TNFSF11/RANK L.

Mouse TRANCE/TNFSF11/RANK L Sandwich Immunoassay

ELISA Capture (Matched Antibody Pair)
Recommended Concentration: 0.2-0.8 µg/mL
Use in combination with these reagents:
  • Detection Reagent: Mouse TRANCE/TNFSF11/RANK L Biotinylated Antibody (Catalog # BAF462)
  • Standard: Recombinant Mouse TRANCE/RANK L/TNFSF11 Protein (Catalog # 462-TR)
Please Note: Optimal dilutions of this antibody should be experimentally determined.

Reviewed Applications

Read 2 reviews rated 5 using AF462 in the following applications:

Formulation, Preparation, and Storage

Purification

Antigen Affinity-purified

Reconstitution

Reconstitute at 0.2 mg/mL in sterile PBS. For liquid material, refer to CoA for concentration.

Reconstitution Buffer Available:
Size / Price
Qty
Loading...

Formulation

Lyophilized from a 0.2 μm filtered solution in PBS with Trehalose. See Certificate of Analysis for details.
*Small pack size (-SP) is supplied either lyophilized or as a 0.2 µm filtered solution in PBS.

Shipping

Lyophilized product is shipped at ambient temperature. Liquid small pack size (-SP) is shipped with polar packs. Upon receipt, store immediately at the temperature recommended below.

Stability & Storage

Use a manual defrost freezer and avoid repeated freeze-thaw cycles.
  • 12 months from date of receipt, -20 to -70 °C as supplied.
  • 1 month, 2 to 8 °C under sterile conditions after reconstitution.
  • 6 months, -20 to -70 °C under sterile conditions after reconstitution.

Background: TRANCE/TNFSF11/RANK L

TRANCE (receptor activator of NF-kappa B ligand [RANK L], also called TNF-related activation-induced cytokines, osteoprotegerin ligand [OPGL], and osteoclast differentiation factor [ODF]), is a member of the tumor necrosis factor (TNF) family. In the TNF superfamily nomenclature, TRANCE is referred to as TNFSF11. TRANCE was originally identified as an immediate early gene upregulated by T cell receptor stimulation. The murine TRANCE cDNA encodes a type II transmembrane protein of 316 amino acids with a predicted cytoplasmic domain of 48 amino acids and an extracellular domain of 247 amino acids. The extracellular domain contains two potential N-linked glycosylation sites. Mouse and human TRANCE share 85% amino acid identity. TRANCE is primarily expressed in T cells and T cell rich organs, such as thymus and lymph nodes. The multi-functions of TRANCE include induction of activation of the c-jun N-terminal kinase, enhancement of T cell growth and dendritic cell function, induction of osteoclastogenesis, and lymph node organogenesis. RANK is the cell surface signaling receptor of TRANCE. RANK has been shown to undergo receptor clustering during signal transduction. Osteoprotegerin, a soluble member of the TNF receptor family which binds TRANCE, is a naturally occurring decoy receptor that counterbalances the effects of TRANCE.

References

  1. Wong, B.R. et al. (1997) J. Biol. Chem. 272:25190.
  2. Anderson, D.M. et al. (1997) Nature 390:175.
  3. Nakagawa, N. et al. (1998) Biochem. Biophys. Res. Commun. 245:382.
  4. Kong, Y-Y. et al. (1999) Nature 397:315.

Long Name

TNF-related Activation-induced Cytokine

Alternate Names

CD254, ODF, OPGL, RANK L, RANKL, TNFSF11

Entrez Gene IDs

8600 (Human); 21943 (Mouse); 117516 (Rat); 102137946 (Cynomolgus Monkey)

Gene Symbol

TNFSF11

UniProt

Additional TRANCE/TNFSF11/RANK L Products

Product Documents for Mouse TRANCE/TNFSF11/RANK L Antibody

Certificate of Analysis

To download a Certificate of Analysis, please enter a lot number in the search box below.

Note: Certificate of Analysis not available for kit components.

Product Specific Notices for Mouse TRANCE/TNFSF11/RANK L Antibody

For research use only

Loading...
Loading...
Loading...
Loading...