Skip to main content

Key Product Details

Species Reactivity

Validated:

Mouse

Cited:

Mouse, Rat

Applications

Validated:

Immunohistochemistry, Western Blot, Immunocytochemistry

Cited:

Immunohistochemistry, Western Blot

Label

Unconjugated

Antibody Source

Recombinant Monoclonal Rabbit IgG Clone # 2139B

Product Specifications

Immunogen

Mouse myeloma cell line NS0-derived recombinant mouse Osteopontin/OPN
Leu17-Asn294
Accession # Q547B5

Specificity

Detects mouse Osteopontin /OPN in direct ELISAs.

Clonality

Monoclonal

Host

Rabbit

Isotype

IgG

Scientific Data Images for Mouse Osteopontin/OPN Antibody

Detection of Mouse Osteopontin/OPN antibody by Western Blot.

Detection of Mouse Osteopontin/OPN by Western Blot.

Western blot shows conditioned media from Neuro-2A mouse neuroblastoma cell line (negative control) and L-929 mouse fibroblast cell line. PVDF membrane was probed with 1 µg/mL of Rabbit Anti-Mouse Osteopontin/OPN Monoclonal Antibody (Catalog # MAB808) followed by HRP-conjugated Anti-Rabbit IgG Secondary Antibody (Catalog # HAF008). A specific band was detected for Osteopontin/OPN at approximately 50 kDa (as indicated). This experiment was conducted under reducing conditions and using Immunoblot Buffer Group 1.
Osteopontin/OPN antibody in RAW 264 by Immunocytochemistry (ICC).7 Mouse Cell Line by Immunocytochemistry (ICC).

Osteopontin/OPN in RAW 264.7 Mouse Cell Line.

Osteopontin/OPN was detected in immersion fixed RAW 264.7 mouse monocyte/macrophage cell line using Rabbit Anti-Mouse Osteopontin/OPN Monoclonal Antibody (Catalog # MAB808) at 3 µg/mL for 3 hours at room temperature. Cells were stained using the NorthernLights™ 557-conjugated Anti-Rabbit IgG Secondary Antibody (red; Catalog # NL004) and counterstained with DAPI (blue). Specific staining was localized to cytoplasm. View our protocol for Fluorescent ICC Staining of Non-adherent Cells.
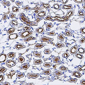
Osteopontin/OPN antibody in Mouse Kidney by Immunohistochemistry (IHC-Fr).

Osteopontin/OPN in Mouse Kidney.

Osteopontin/OPN was detected in perfusion fixed frozen sections of mouse kidney using Rabbit Anti-Mouse Osteopontin/OPN Monoclonal Antibody (Catalog # MAB808) at 3 µg/mL for 1 hour at room temperature followed by incubation with the Anti-Rabbit IgG VisUCyte™ HRP Polymer Antibody (Catalog # VC003). Tissue was stained using DAB (brown) and counterstained with hematoxylin (blue). Specific staining was localized to convoluted tubules. View our protocol for IHC Staining with VisUCyte HRP Polymer Detection Reagents.

Applications for Mouse Osteopontin/OPN Antibody

Application
Recommended Usage

Immunocytochemistry

3-25 µg/mL
Sample: Immersion fixed RAW264.7 mouse monocyte/macrophage cell line

Immunohistochemistry

3-25 µg/mL
Sample: Perfusion fixed frozen sections of mouse kidney

Western Blot

1 µg/mL
Sample: L‑929 mouse fibroblast cell line

Formulation, Preparation, and Storage

Purification

Protein A or G purified from cell culture supernatant

Reconstitution

Reconstitute at 0.5 mg/mL in sterile PBS. For liquid material, refer to CoA for concentration.

Reconstitution Buffer Available:
Size / Price
Qty
Loading...

Formulation

Lyophilized from a 0.2 μm filtered solution in PBS with Trehalose. *Small pack size (SP) is supplied either lyophilized or as a 0.2 µm filtered solution in PBS.

Shipping

Lyophilized product is shipped at ambient temperature. Liquid small pack size (-SP) is shipped with polar packs. Upon receipt, store immediately at the temperature recommended below.

Stability & Storage

Use a manual defrost freezer and avoid repeated freeze-thaw cycles.
  • 12 months from date of receipt, -20 to -70 °C as supplied.
  • 1 month, 2 to 8 °C under sterile conditions after reconstitution.
  • 6 months, -20 to -70 °C under sterile conditions after reconstitution.

Background: Osteopontin/OPN

Osteopontin (OPN), previously called SPP1 (secreted phosphoprotein 1), Eta-1 (early T lymphocyte activation 1) or BSP (bone sialoprotein), is a secreted molecule in the SIBLING (small integrin-binding ligand N-linked glycoprotein) family of non-collagenous matricellular proteins (1-3). Mouse OPN is synthesized as a 294 amino acid (aa) precursor protein with a 16 aa signal peptide and a 278 aa mature protein (3). Mature mouse OPN shares 79% and 64% aa sequence identity with rat and human OPN, respectively. OPN is highly acidic and has 26 potential Ser/Thr phosphorylation sites and a C‑terminal CD44 binding site (1-4). Depending on tissue-specific modification by O- and N-glycosylation, sulfation, phosphorylation and transglutamination, OPN can be detected at 45-75 kDa (5, 6). The central region of OPN contains RGD and non-RGD binding sites for multiple integrins (3, 4). Adjacent to the RGD motif is the sequence SLAYGLR (SVVYGLR in human) which serves as a cryptic binding site for additional integrins: it is masked in full length OPN but is exposed following OPN cleavage by thrombin in tumors and sites of tissue injury
(6-8). OPN can also be cleaved by MMP-3, -7, -9, and -12 within the SLAYGLR motif and at sites closer to the C-terminus (8, 9). OPN is widely expressed and is prominent in mineralized tissues. It inhibits bone mineralization and kidney stone formation, and promotes inflammation and cell ad­hesion and migration (1, 2, 4, 6). Its expression is up-regulat­ed during inflammation, obesity, atherosclerosis, cancer, and tissue damage, and contributes to the pathophysiology of these conditions (1, 2, 6, 9, 10).

References

  1. Scatena, M. et al. (2007) Arterioscler. Thromb. Vasc. Biol. 27:2302.
  2. Rangaswami, H. et al. (2006) Trends Cell Biol. 16:79.
  3. Miyazaki, Y. et al. (1990) J. Biol. Chem. 265:14432.
  4. Weber, G.F. et al. (2002) J. Leukoc. Biol. 72:752.
  5. Keykhosravani, M. et al. (2005) Biochemistry 44:6990.
  6. Kazanecki, C.C. et al. (2007) J. Cell. Biochem. 102:912.
  7. Senger, D.R. et al. (1994) Mol. Biol. Cell 5:565.
  8. Yokosaki, Y. et al. (2005) Matrix Biol. 24:418.
  9. Takafuji, V. et al. (2007) Oncogene 26:6361.
  10. Kiefer, F.W. et al. (2010) Diabetes 59:935.

Long Name

Secreted Phosphoprotein 1 [BNSP]

Alternate Names

Eta-1, OPN, Spp1

Entrez Gene IDs

6696 (Human); 20750 (Mouse); 25353 (Rat); 281499 (Bovine)

Gene Symbol

SPP1

UniProt

Additional Osteopontin/OPN Products

Product Documents for Mouse Osteopontin/OPN Antibody

Certificate of Analysis

To download a Certificate of Analysis, please enter a lot number in the search box below.

Note: Certificate of Analysis not available for kit components.

Product Specific Notices for Mouse Osteopontin/OPN Antibody

For research use only

Loading...
Loading...
Loading...
Loading...