Skip to main content

Key Product Details

Species Reactivity

Mouse

Applications

Western Blot

Label

Unconjugated

Antibody Source

Monoclonal Rat IgG2B Clone # 297310

Product Specifications

Immunogen

Mouse myeloma cell line NS0-derived recombinant mouse Osteoactivin/GPNMB
Lys23-Asn502
Accession # NP_444340

Specificity

Detects mouse Osteoactivin/GPNMB in direct ELISAs and Western blots. In direct ELISAs and Western blots, this antibody does not cross-react with recombinant human Osteoactivin.

Clonality

Monoclonal

Host

Rat

Isotype

IgG2B

Scientific Data Images for Mouse Osteoactivin/GPNMB Antibody

Detection of Osteoactivin/GPNMB by Immunohistochemistry

Detection of Osteoactivin/GPNMB by Immunohistochemistry

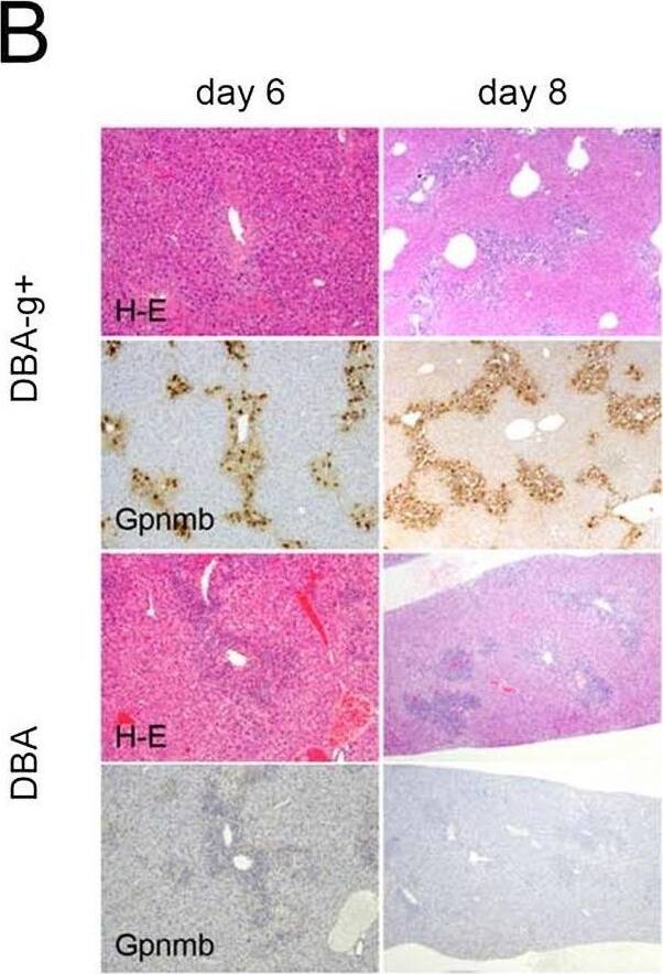
Features of DBA-g+ and DBA mice.(A) Expression of Gpnmb is observed in DBA-g+ but not DBA mice following a single injection of CCl4. However, (B) sequential changes in serum ALT levels and the degree of liver injury are not affected by the lack of Gpnmb-positive macrophages (original magnification, x100). Conversely, (C) the areas of fibrosis and (D) the number of alpha-SMA-positive cells are significantly decreased in the liver tissues of DBA mice compared to DBA-g+ mice (original magnification, x200). Additionally, (E) although lack of Gpnmb-positive macrophages does not affect expression of TGF-beta or Col1 alpha1, expression of MMP-9, MMP-13, and TIMP-1 are significantly decreased in mice lacking Gpnmb expression at six or eight days after single injection of CCl4. Values are mean ± SEM (n = 4). * P < 0.05 (Mann-Whitney U test). Image collected and cropped by CiteAb from the following open publication (https://pubmed.ncbi.nlm.nih.gov/26599547), licensed under a CC-BY license. Not internally tested by R&D Systems.
Detection of Osteoactivin/GPNMB by Western Blot

Detection of Osteoactivin/GPNMB by Western Blot

Features of DBA-g+ and DBA mice.(A) Expression of Gpnmb is observed in DBA-g+ but not DBA mice following a single injection of CCl4. However, (B) sequential changes in serum ALT levels and the degree of liver injury are not affected by the lack of Gpnmb-positive macrophages (original magnification, x100). Conversely, (C) the areas of fibrosis and (D) the number of alpha-SMA-positive cells are significantly decreased in the liver tissues of DBA mice compared to DBA-g+ mice (original magnification, x200). Additionally, (E) although lack of Gpnmb-positive macrophages does not affect expression of TGF-beta or Col1 alpha1, expression of MMP-9, MMP-13, and TIMP-1 are significantly decreased in mice lacking Gpnmb expression at six or eight days after single injection of CCl4. Values are mean ± SEM (n = 4). * P < 0.05 (Mann-Whitney U test). Image collected and cropped by CiteAb from the following open publication (https://pubmed.ncbi.nlm.nih.gov/26599547), licensed under a CC-BY license. Not internally tested by R&D Systems.
Detection of Osteoactivin/GPNMB by Immunohistochemistry

Detection of Osteoactivin/GPNMB by Immunohistochemistry

Sequential changes in and localization of Gpnmb expression. Gpnmb expression is enhanced in the recovery phase (A) in whole liver as determined by Western blotting and (B) in isolated hepatic macrophages as determined by quantitative real-time polymerase chain reaction (n = 5 at each day). (C) Moreover, Gpnmb expression is observed immunohistochemically around injured lesions in a pattern similar to that in F4/80-positive macrophages, and Gpnmb-positive cells exhibit partial phagocytosis. Image collected and cropped by CiteAb from the following open publication (https://pubmed.ncbi.nlm.nih.gov/26599547), licensed under a CC-BY license. Not internally tested by R&D Systems.

Applications for Mouse Osteoactivin/GPNMB Antibody

Application
Recommended Usage

Western Blot

1 µg/mL
Sample: Recombinant Mouse Osteoactivin/GPNMB Fc Chimera (Catalog # 2330-AC)

Formulation, Preparation, and Storage

Purification

Protein A or G purified from hybridoma culture supernatant

Reconstitution

Reconstitute at 0.5 mg/mL in sterile PBS. For liquid material, refer to CoA for concentration.

Reconstitution Buffer Available:
Size / Price
Qty
Loading...

Formulation

Lyophilized from a 0.2 μm filtered solution in PBS with Trehalose. *Small pack size (SP) is supplied either lyophilized or as a 0.2 µm filtered solution in PBS.

Shipping

Lyophilized product is shipped at ambient temperature. Liquid small pack size (-SP) is shipped with polar packs. Upon receipt, store immediately at the temperature recommended below.

Stability & Storage

Use a manual defrost freezer and avoid repeated freeze-thaw cycles.
  • 12 months from date of receipt, -20 to -70 °C as supplied.
  • 1 month, 2 to 8 °C under sterile conditions after reconstitution.
  • 6 months, -20 to -70 °C under sterile conditions after reconstitution.

Background: Osteoactivin/GPNMB

Osteoactivin (also named GPNMB and DC-HIL) is a 125 kDa, intracellular glycoprotein that is associated with cell endosomal/lysosomal compartments (1, 2). Mouse osteoactivin is synthesized as a type I, transmembrane, 574 amino acid (aa) precursor that contains a 22 aa signal sequence, a 478 aa luminal/extracellular domain, a 23 aa transmembrane segment and a 51 aa cytoplasmic tail. The luminal region contains an N-terminal heparin-binding motif, multiple glycosylation sites, an RGD motif and a 130 aa PKD domain. The intracellular tail also has an RGD motif, plus an ITAM (Y-x-x-I) and lysosomal targeting (L-L) motif. The extracellular/luminal region is 89% and 74% aa identical to the equivalent regions in rat and human, respectively. Cells known to express osteoactivin include osteoblasts, dendritic cells, and melanocytes, plus fetal chondrocytes and stratum basale keratinocytes (2, 3). Osteoactivin is reported to bind to heparan sulfate-proteoglycan, possibly on the surface of fibroblasts and endothelial cells (2). It may also interact with integrins.

References

  1. Bachner, D. et al. (2002) Gene Exp. Patterns 1:159.
  2. Shikano, S. et al. (2001) J. Biol. Chem. 276:8125.
  3. Owen, T.A. et al. (2003) Crit. Rev. Eukaryot. Gene Expr. 13:205.

Long Name

Glycoprotein Non-Metastatic Melanoma Protein B

Alternate Names

DC-HIL, GPNMB, HGFIN

Entrez Gene IDs

10457 (Human); 93695 (Mouse); 113955 (Rat); 102133517 (Cynomolgus Monkey)

Gene Symbol

GPNMB

UniProt

Additional Osteoactivin/GPNMB Products

Product Documents for Mouse Osteoactivin/GPNMB Antibody

Certificate of Analysis

To download a Certificate of Analysis, please enter a lot number in the search box below.

Note: Certificate of Analysis not available for kit components.

Product Specific Notices for Mouse Osteoactivin/GPNMB Antibody

For research use only

Loading...
Loading...
Loading...
Loading...
Loading...