Skip to main content

Key Product Details

Species Reactivity

Validated:

Mouse

Cited:

Mouse

Applications

Validated:

Immunohistochemistry, Western Blot, Neutralization, Dual RNAscope ISH-IHC Compatible

Cited:

Immunohistochemistry, Immunohistochemistry-Frozen, Western Blot, Neutralization, Flow Cytometry, Immunocytochemistry, ELISA Development

Label

Unconjugated

Antibody Source

Polyclonal Goat IgG

Product Specifications

Immunogen

E. coli-derived recombinant mouse IL-15
Asn49-Ser162
Accession # P48346

Specificity

Detects mouse IL-15 in direct ELISAs and Western blots. In direct ELISAs, approximately 15% cross-reactivity with recombinant human IL‑15 is observed.

Clonality

Polyclonal

Host

Goat

Isotype

IgG

Endotoxin Level

<0.10 EU per 1 μg of the antibody by the LAL method.

Scientific Data Images for Mouse IL-15 Antibody

Cell Proliferation Induced by IL‑15 and Neutralization by Mouse IL‑15 Antibody.

Cell Proliferation Induced by IL‑15 and Neutralization by Mouse IL‑15 Antibody.

Recombinant Mouse IL-15 (Catalog # 447-ML) stimulates proliferation in the CTLL-2 mouse cytotoxic T cell line in a dose-dependent manner (orange line) as measured by Resazurin (Catalog # AR002). Proliferation elicited by Recombinant Mouse IL-15 (30 ng/mL) is neutralized (green line) by increasing concentrations of Goat Anti-Mouse IL-15 Antigen Affinity-purified Polyclonal Antibody (Catalog # AF447). The ND50 is typically 0.4-2.4 µg/mL.
IL-15 antibody in Mouse Intestine by Immunohistochemistry (IHC-Fr).

IL-15 in Mouse Intestine.

IL-15 was detected in immersion fixed frozen sections of mouse intestine (Peyer patch) using Goat Anti-Mouse IL-15 Antigen Affinity-purified Polyclonal Antibody (Catalog # AF447) at 15 µg/mL overnight at 4 °C. Tissue was stained using the Anti-Goat HRP-DAB Cell & Tissue Staining Kit (brown; Catalog # CTS008) and counterstained with hematoxylin (blue). Specific labeling was localized to the cytoplasm of lymphocytes in villi. View our protocol for Chromogenic IHC Staining of Frozen Tissue Sections.

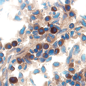
Detection of IL-15 in Mouse Intestine.

Formalin-fixed paraffin-embedded tissue sections of mouse intestine were probed for IL-15 mRNA (ACD RNAScope Probe, catalog # 440651; Fast Red chromogen, ACD catalog # 322360). Adjacent tissue section was processed for immunohistochemistry using goat anti-mouse IL-15 polyclonal antibody (R&D Systems catalog # AF447) at 1ug/mL with overnight incubation at 4 degrees Celsius followed by incubation with anti-goat IgG VisUCyte HRP Polymer Antibody (Catalog # VC004) and DAB chromogen (yellow-brown). Tissue was counterstained with hematoxylin (blue). Specific staining was localized to glandular cells.

Applications for Mouse IL-15 Antibody

Application
Recommended Usage

Dual RNAscope ISH-IHC Compatible

5-15 µg/mL
Sample: Immersion fixed paraffin-embedded sections of mouse intestine

Immunohistochemistry

5-15 µg/mL
Sample: Perfusion fixed frozen sections of mouse intestine (Peyer patch)

Western Blot

0.1 µg/mL
Sample: Recombinant Mouse IL-15 (Catalog # 447-ML)

Neutralization

Measured by its ability to neutralize IL‑15-induced proliferation in the CTLL‑2 mouse cytotoxic T cell line. Avanzi, G. et al. (1988) Br. J. Haematol. 69:359. The Neutralization Dose (ND50) is typically 0.4-2.4 µg/mL in the presence of 30 ng/mL Recombinant Mouse IL‑15.

Formulation, Preparation, and Storage

Purification

Antigen Affinity-purified

Reconstitution

Reconstitute at 0.2 mg/mL in sterile PBS. For liquid material, refer to CoA for concentration.

Reconstitution Buffer Available:
Size / Price
Qty
Loading...

Formulation

Lyophilized from a 0.2 μm filtered solution in PBS with Trehalose. See Certificate of Analysis for details.
*Small pack size (-SP) is supplied either lyophilized or as a 0.2 µm filtered solution in PBS.

Shipping

Lyophilized product is shipped at ambient temperature. Liquid small pack size (-SP) is shipped with polar packs. Upon receipt, store immediately at the temperature recommended below.

Stability & Storage

Use a manual defrost freezer and avoid repeated freeze-thaw cycles.
  • 12 months from date of receipt, -20 to -70 °C as supplied.
  • 1 month, 2 to 8 °C under sterile conditions after reconstitution.
  • 6 months, -20 to -70 °C under sterile conditions after reconstitution.

Background: IL-15

Interleukin 15 (IL-15) is a widely expressed 14 kDa cytokine that is structurally and functionally related to IL-2 (1-3). Mature mouse IL-15 shares 70% and 96% amino acid sequence identity with human and rat IL-15, respectively. Alternate splicing generates isoforms of IL-15 with either a long or short signal peptide (LSP or SSP), and the SSP isoform is retained intracellularly (4). IL-15 binds with high affinity to IL-15 R alpha (5). It binds with lower affinity to a complex of IL-2 R beta and the common gamma chain ( gammac) which are also subunits of the IL-2 receptor complex (1, 6). IL-15 associates with IL-15 R alpha in the endoplasmic reticulum, and this complex is expressed on the cell surface (7, 8). The dominant mechanism of IL-15 action is known as transpresentation in which IL-15 and IL-15 R alpha are coordinately expressed on the surface of one cell and interact with complexes of IL-2 R beta/ gammac on adjacent cells (9). This enables cells to respond to IL-15 even if they do not express IL-15 R alpha (8, 10). Soluble IL-15-binding forms of IL-15 R alpha can be generated by proteolytic shedding or alternate splicing (11-13). These molecules retain the ability to bind tightly to IL-15 and can either inhibit or augment IL-15 function (5, 12, 13). Consistent with its shared use of IL-2 receptor subunits, IL-15 induces IL-2-like effects in lymphocyte development and homeostasis (3). It is particularly important for the maintenance and activation of NK cells and CD8+ memory T cells (3). IL-15 also exerts pleiotropic effects on other hematopoietic cells and non-immune cells (2). Ligation of membrane-associated IL-15/IL-15 R alpha complexes induces reverse signaling that promotes cellular adhesion, tyrosine phosphorylation of intracellular proteins, and cytokine secretion by the IL-15/IL-15 R alpha expressing cells (14, 15).

References

  1. Grabstein, K. et al. (1994) Science 264:965.
  2. Budagian, V. et al. (2006) Cytokine Growth Factor Rev. 17:259.
  3. Ma, A. et al. (2006) Annu. Rev. Immunol. 24:657.
  4. Tagaya, Y. et al. (1997) Proc. Natl. Acad. Sci. USA 94:14444.
  5. Giri, J.G. et al. (1995) EMBO 14:3654.
  6. Giri, J. et al. (1994) EMBO J. 13:2822.
  7. Duitman, E.H. et al. (2008) Mol. Cell. Biol. 28:4851.
  8. Dubois, S. et al. (2002) Immunity 17:537.
  9. Stonier, S.W. and K.S. Schluns (2010) Immunol. Lett. 127:85.
  10. Burkett, P.R. et al. (2004) J. Exp. Med. 200:825.
  11. Budagian, V. et al. (2004) J. Biol. Chem. 279:40368.
  12. Mortier, E. et al. (2004) J. Immunol. 173:1681.
  13. Bulanova, E. et al. (2007) J. Biol. Chem. 282:13167.
  14. Budagian, V. et al. (2004) J. Biol. Chem. 279:42192.
  15. Neely, G.G. et al. (2004) J. Immunol. 172:4225.

Long Name

Interleukin 15

Alternate Names

IL15

Entrez Gene IDs

3600 (Human); 16168 (Mouse); 25670 (Rat); 102119613 (Cynomolgus Monkey); 493682 (Feline)

Gene Symbol

IL15

UniProt

Additional IL-15 Products

Product Documents for Mouse IL-15 Antibody

Certificate of Analysis

To download a Certificate of Analysis, please enter a lot number in the search box below.

Note: Certificate of Analysis not available for kit components.

Product Specific Notices for Mouse IL-15 Antibody

For research use only

Loading...
Loading...
Loading...
Loading...