Skip to main content

Key Product Details

Species Reactivity

Validated:

Mouse

Cited:

Human, Mouse, Rat

Applications

Validated:

Immunohistochemistry, Western Blot, ELISA Capture (Matched Antibody Pair), Neutralization

Cited:

Immunohistochemistry, Immunohistochemistry-Paraffin, Immunohistochemistry-Frozen, Western Blot, Neutralization, Flow Cytometry, ELISA Development, Luminex Development

Label

Unconjugated

Antibody Source

Polyclonal Goat IgG

Product Specifications

Immunogen

E. coli-derived recombinant mouse CCL11/Eotaxin
His24-Pro97
Accession # P48298

Specificity

Detects mouse CCL11/Eotaxin in ELISAs and Western blots. In direct ELISAs, approximately 20% cross-reactivity with recombinant human CCL11/Eotaxin is observed, and less than 5% cross-reactivity with recombinant mouse JE is observed.

Clonality

Polyclonal

Host

Goat

Isotype

IgG

Endotoxin Level

<0.10 EU per 1 μg of the antibody by the LAL method.

Scientific Data Images for Mouse CCL11/Eotaxin Antibody

Chemotaxis Induced by CCL11/Eotaxin and Neutral-ization by Mouse CCL11/ Eotaxin Antibody.

Chemotaxis Induced by CCL11/Eotaxin and Neutral-ization by Mouse CCL11/ Eotaxin Antibody.

Recombinant Mouse CCL11/ Eotaxin (Catalog # 420-ME) chemoattracts the BaF3 mouse pro-B cell line transfected with mouse CCR3 in a dose-dependent manner (orange line). The amount of cells that migrated through to the lower chemotaxis chamber was measured by Resazurin (Catalog # AR002). Chemotaxis elicited by Recombinant Mouse CCL11/ Eotaxin (10 ng/mL) is neutralized (green line) by increasing concentrations of Goat Anti-Mouse CCL11/Eotaxin Antigen Affinity-purified Polyclonal Antibody (Catalog # AF-420-NA). The ND50 is typically 0.1-0.5 µg/mL.
CCL11/Eotaxin antibody in Mouse Thymus by Immunohistochemistry (IHC-Fr).

CCL11/Eotaxin in Mouse Thymus.

CCL11/Eotaxin was detected in perfusion fixed frozen sections of mouse thymus using Goat Anti-Mouse CCL11/Eotaxin Antigen Affinity-purified Polyclonal Antibody (Catalog # AF-420-NA) at 5 µg/mL overnight at 4 °C. Tissue was stained using the NorthernLights™ 557-conjugated Anti-Goat IgG Secondary Antibody (red; Catalog # NL001) and counterstained with DAPI (blue). Specific staining was localized to cytoplasm. View our protocol for Fluorescent IHC Staining of Frozen Tissue Sections.
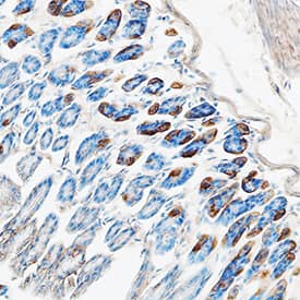
CCL11/Eotaxin antibody in Mouse Colon by Immunohistochemistry (IHC-Fr).

CCL11/Eotaxin in Mouse Colon.

CCL11/Eotaxin was detected in perfusion fixed frozen sections of mouse colon using Goat Anti-Mouse CCL11/Eotaxin Antigen Affinity-purified Polyclonal Antibody (Catalog # AF-420-NA) at 15 µg/mL overnight at 4 °C. Tissue was stained using the Anti-Goat HRP-DAB Cell & Tissue Staining Kit (brown; Catalog # CTS008) and counterstained with hematoxylin (blue). Specific staining was localized to cytoplasm. View our protocol for Chromogenic IHC Staining of Frozen Tissue Sections.

Applications for Mouse CCL11/Eotaxin Antibody

Application
Recommended Usage

Immunohistochemistry

5-15 µg/mL
Sample: Perfusion fixed frozen sections of mouse thymus and mouse colon

Western Blot

0.1 µg/mL
Sample: Recombinant Mouse CCL11/Eotaxin (Catalog # 420-ME)

Neutralization

Measured by its ability to neutralize CCL11/Eotaxin-induced chemotaxis in the BaF3 mouse pro-B cell line transfected with mouse CCR3. The Neutralization Dose (ND50) is typically 0.1-0.5 µg/mL in the presence of 10 ng/mL Recombinant Mouse CCL11/Eotaxin.

Mouse CCL11/Eotaxin Sandwich Immunoassay

ELISA Capture (Matched Antibody Pair)
Recommended Concentration: 0.2-0.8 µg/mL
Use in combination with these reagents:
  • Detection Reagent: Mouse CCL11/Eotaxin Biotinylated Antibody (Catalog # BAF420)
  • Standard: Recombinant Mouse CCL11/Eotaxin Protein (Catalog # 420-ME)
Please Note: Optimal dilutions of this antibody should be experimentally determined.

Reviewed Applications

Read 3 reviews rated 4.7 using AF-420-NA in the following applications:

Formulation, Preparation, and Storage

Purification

Antigen Affinity-purified

Reconstitution

Reconstitute at 0.2 mg/mL in sterile PBS. For liquid material, refer to CoA for concentration.

Reconstitution Buffer Available:
Size / Price
Qty
Loading...

Formulation

Lyophilized from a 0.2 μm filtered solution in PBS with Trehalose. *Small pack size (SP) is supplied either lyophilized or as a 0.2 µm filtered solution in PBS.

Shipping

Lyophilized product is shipped at ambient temperature. Liquid small pack size (-SP) is shipped with polar packs. Upon receipt, store immediately at the temperature recommended below.

Stability & Storage

Use a manual defrost freezer and avoid repeated freeze-thaw cycles.
  • 12 months from date of receipt, -20 to -70 °C as supplied.
  • 1 month, 2 to 8 °C under sterile conditions after reconstitution.
  • 6 months, -20 to -70 °C under sterile conditions after reconstitution.

Background: CCL11/Eotaxin

CCL11 is a potent eosinophil chemoattractant that was originally purified from bronchoalveolar lavage fluid of guinea pigs sensitized by aerosol challenge with ovalbumin. Microsequencing of the purified protein revealed the guinea pig CCL11 to be a member of the beta (CC) chemokine family of inflammatory and immunoregulatory cytokines. cDNA clones for guinea pig, mouse and human CCL11 have been isolated. Mouse CCL11 cDNA encodes a 97 amino acid residue precursor protein from which the amino-terminal 23 amino acid residues are cleaved to generate the 74 amino acid residue mature mouse CCL11. At the protein sequence level, mature mouse CCL11 is approximately 60% identical to mature human and guinea pig CCL11. In addition, mouse CCL11 also shows high amino acid sequence identity to members of the MCP family. Mouse CCL11 is chemotactic for eosinophils, but not mononuclear cells or neutrophils. CCL11 mRNA is expressed in a variety of tissues. The expression of CCL11 mRNA is induced in cultured endothelial cells in response to IFN-gamma. In addition, CCL11 mRNA is also induced in response to the transplantation of IL-4-secreting tumor cells. The CC chemokine receptor 3 (CCR3) has now been identified to be a specific human CCL11 receptor.

References

  1. Rothenberg, M.E. et al. (1995) Proc. Natl. Acad. Sci. USA 92:8960.
  2. Kitaura, M. et al. (1996) J. Biol. Chem 271:7725.
  3. Garcia-Zepeda, E.A. et al. (1996) Nature Medicine 2:449.
  4. Ponath, P.D. et al. (1996) J. Clin. Invest. 97:604.

Alternate Names

Eotaxin

Entrez Gene IDs

6356 (Human); 20292 (Mouse)

Gene Symbol

CCL11

UniProt

Additional CCL11/Eotaxin Products

Product Documents for Mouse CCL11/Eotaxin Antibody

Certificate of Analysis

To download a Certificate of Analysis, please enter a lot number in the search box below.

Note: Certificate of Analysis not available for kit components.

Product Specific Notices for Mouse CCL11/Eotaxin Antibody

For research use only

Loading...
Loading...
Loading...
Loading...