Skip to main content

mitochondrial ribosomal protein L30 Antibody - BSA Free

Novus Biologicals, part of Bio-Techne | Catalog # NBP3-05921

Novus Biologicals, part of Bio-Techne

Key Product Details

Species Reactivity

Human

Applications

Immunohistochemistry-Paraffin, Immunoprecipitation, Western Blot

Label

Unconjugated

Antibody Source

Polyclonal Rabbit IgG

Format

BSA Free

Concentration

Please see the vial label for concentration. If unlisted please contact technical services.

Product Specifications

Immunogen

Produced in rabbits immunized with E. coli-derived Human mitochondrial ribosomal protein L30 fragment.

Clonality

Polyclonal

Host

Rabbit

Isotype

IgG

Description

This antibody can be stored at 2C-8C for one month without detectable loss of activity. Antibody products are stable for twelve months from date of receipt when stored at -20C to -80C. Avoid repeated freeze-thaw cycles.

Scientific Data Images for mitochondrial ribosomal protein L30 Antibody - BSA Free

Western Blot: mitochondrial ribosomal protein L30 Antibody [NBP3-05921]

Western Blot: mitochondrial ribosomal protein L30 Antibody [NBP3-05921]

Western Blot: mitochondrial ribosomal protein L30 Antibody [NBP3-05921] - Lane A: A375 Whole Cell LysateLane B: HeLa Whole Cell LysateLysates/proteins at 30 ug per lane.SecondaryGoat Anti-Rabbit IgG (H+L)/HRP at 1/10000 dilution.Developed using the ECL technique.Performed under reducing conditions.Predicted band size:19 kDaObserved band size:19 kDa(We are unsure as to the identity of these extra bands.)
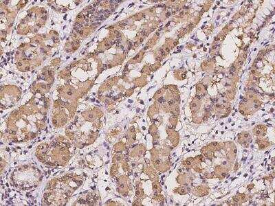
Immunohistochemistry-Paraffin: mitochondrial ribosomal protein L30 Antibody [NBP3-05921]

Immunohistochemistry-Paraffin: mitochondrial ribosomal protein L30 Antibody [NBP3-05921]

Immunohistochemistry-Paraffin: mitochondrial ribosomal protein L30 Antibody [NBP3-05921] - Staining of human MRPL30 in human stomach with rabbit polyclonal antibody at 1:100 dilution.
Immunoprecipitation: mitochondrial ribosomal protein L30 Antibody [NBP3-05921]

Immunoprecipitation: mitochondrial ribosomal protein L30 Antibody [NBP3-05921]

Immunoprecipitation: mitochondrial ribosomal protein L30 Antibody [NBP3-05921] - Lane A:0.5 mg HeLa Whole Cell Lysate4 uL anti-MRPL30 rabbit polyclonal antibody and 60 ug of Immunomagnetic beads Protein A/G.Primary antibody:Anti-MRPL30 rabbit polyclonal antibody,at 1:100 dilution Secondary antibody:Goat Anti-Rabbit IgG (H+L)/HRP at 1/10000 dilutionDeveloped using the ECL technique.Performed under reducing conditions.Predicted band size: 19 kDaObserved band size :19 kDa

Applications for mitochondrial ribosomal protein L30 Antibody - BSA Free

Application
Recommended Usage

Immunohistochemistry-Paraffin

1:50-1:200

Immunoprecipitation

1-5uL/mg of lysate

Western Blot

1:500-1:2000

Formulation, Preparation, and Storage

Purification

Antigen and protein A Affinity-purified

Formulation

PBS

Format

BSA Free

Preservative

0.03% Proclin 300

Concentration

Please see the vial label for concentration. If unlisted please contact technical services.

Shipping

The product is shipped with polar packs. Upon receipt, store it immediately at the temperature recommended below.

Stability & Storage

Store at 4C short term. Aliquot and store at -20C long term. Avoid freeze-thaw cycles.

Background: mitochondrial ribosomal protein L30

MRPL30, also known as 39 S ribosomal protein L30, mitochondrial, consists of three isoforms of sizes 18.5 kDa, 21.8 kDa, and 15.2 kDa and is involved in translations as a part of mitochondrial ribosomes. Currently, there is no research being conducted to link the protein to diseases. The protein interacts with WNK1 in translation pathways.

Alternate Names

39S ribosomal protein L30, mitochondrial, L28mt, L30mt, mitochondrial ribosomal protein L30, MRP-L28FLJ44438, MRPL28MGC3314,39S ribosomal protein L28, mitochondrial, MRP-L30, RPML28MGC24095

Gene Symbol

MRPL30

Additional mitochondrial ribosomal protein L30 Products

Product Documents for mitochondrial ribosomal protein L30 Antibody - BSA Free

Certificate of Analysis

To download a Certificate of Analysis, please enter a lot number in the search box below.

Product Specific Notices for mitochondrial ribosomal protein L30 Antibody - BSA Free

This product is for research use only and is not approved for use in humans or in clinical diagnosis. Primary Antibodies are guaranteed for 1 year from date of receipt.

Loading...
Loading...
Loading...
Loading...