Skip to main content

Mineralocorticoid R/NR3C2 Antibody (H10E4C9F) - BSA Free

Novus Biologicals, part of Bio-Techne | Catalog # NB300-562

Novus Biologicals, part of Bio-Techne
Catalog #
Availability
Size / Price
Qty
Loading...
NB300-562-0.025ml
NB300-562

Key Product Details

Species Reactivity

Validated:

Human, Mouse, Rat, Chicken, Rabbit, Sheep

Cited:

Mouse, Rat

Applications

Validated:

Immunohistochemistry, Immunohistochemistry-Paraffin, Western Blot, Block/Neutralize, Flow Cytometry, Immunocytochemistry/ Immunofluorescence

Cited:

Western Blot, IF/IHC

Label

Unconjugated

Antibody Source

Monoclonal Mouse IgG1 Clone # H10E4C9F

Format

BSA Free

Concentration

1.4 mg/ml

Product Specifications

Immunogen

Aldosterone-3

Reactivity Notes

Mouse reactivity reported in scientific literature (PMID: 12198239). Sheep reactivity reported in scientific literature (PMID: 5695102).

Specificity

Detects mineralocorticoid receptor (MR).

Clonality

Monoclonal

Host

Mouse

Isotype

IgG1

Description

Novus Biologicals Mouse Mineralocorticoid R/NR3C2 Antibody (H10E4C9F) - BSA Free (NB300-562) is a monoclonal antibody validated for use in IHC, WB, Flow and ICC/IF. Anti-Mineralocorticoid R/NR3C2 Antibody: Cited in 2 publications. All Novus Biologicals antibodies are covered by our 100% guarantee.

Scientific Data Images for Mineralocorticoid R/NR3C2 Antibody (H10E4C9F) - BSA Free

Western Blot: Mineralocorticoid R/NR3C2 Antibody (H10E4C9F)BSA Free [NB300-562]

Western Blot: Mineralocorticoid R/NR3C2 Antibody (H10E4C9F)BSA Free [NB300-562]

Western Blot: Mineralocorticoid R/NR3C2 Antibody (H10E4C9F) [NB300-562] - Analysis of Mineralocorticoid Receptor.
Immunocytochemistry/ Immunofluorescence: Mineralocorticoid R/NR3C2 Antibody (H10E4C9F) - BSA Free [NB300-562]

Immunocytochemistry/ Immunofluorescence: Mineralocorticoid R/NR3C2 Antibody (H10E4C9F) - BSA Free [NB300-562]

Immunocytochemistry/Immunofluorescence: Mineralocorticoid R/NR3C2 Antibody (H10E4C9F) [NB300-562] - Mineralocorticoid Receptor staining (green), F-Actin staining with Phalloidin (red) and nuclei with DAPI (blue) is shown. Cells were grown on chamber slides and fixed with formaldehyde prior to staining. Cells were probed without (control) or with or an antibody recognizing Mineralocorticoid Receptor at a dilution of 1:20-1:200 over night at 4C, washed with PBS and incubated with a DyLight-488 conjugated.
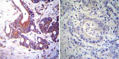
Immunohistochemistry-Paraffin: Mineralocorticoid R/NR3C2 Antibody (H10E4C9F) - BSA Free [NB300-562]

Immunohistochemistry-Paraffin: Mineralocorticoid R/NR3C2 Antibody (H10E4C9F) - BSA Free [NB300-562]

Immunohistochemistry-Paraffin: Mineralocorticoid R/NR3C2 Antibody (H10E4C9F) [NB300-562] - Both normal and cancer biopsies of deparaffinized Human colon carcinoma tissues.

Applications for Mineralocorticoid R/NR3C2 Antibody (H10E4C9F) - BSA Free

Application
Recommended Usage

Flow Cytometry

1:20

Immunocytochemistry/ Immunofluorescence

1:100 - 1:200

Immunohistochemistry

1:100

Immunohistochemistry-Paraffin

1:100

Western Blot

1:1000
Application Notes
Useful in IHC, ICC, and WB. Not suitable for IP. WB: Detects an approx. 116 kDa protein representing MR in rat heart homogenate. IHC: Staining of MR in rabbit atrium with NB300-562 results in strong staining of myocytes and endothelial cells. IHC: Staining with NB300-562 is blocked by pre-incubating the sample with aldosterone. NB300-562 can also be used in formalin-fixed, paraffin-embedded sections. Due to the extremely low levels of MR expressed in native tissues, it is recommended that enhanced detection systems be used for WBting such as enhanced chemiluminescence. NB300-562 blocks the binding of aldosterone since it is directed against the steroid binding domain of the mineralocorticoid receptor.

Formulation, Preparation, and Storage

Purification

Protein A purified

Formulation

PBS

Format

BSA Free

Preservative

0.05% Sodium Azide

Concentration

1.4 mg/ml

Shipping

The product is shipped with polar packs. Upon receipt, store it immediately at the temperature recommended below.

Stability & Storage

Store at -20C. Avoid freeze-thaw cycles.

Background: Mineralocorticoid R/NR3C2

Steroid receptors are ligand dependent, intracellular proteins that stimulate transcription of specific genes by binding to specific DNA sequences following activation by the appropriate hormone. Mineralocorticoids are a family of steroids, secreted by the adrenal cortex, necessary for the regulation of a number of metabolic processes including electrolyte regulation. These compounds exert their effect through their interaction with the mineralocorticoid receptor and that complex's subsequent association with DNA. Given the function of mineralocorticoids, it is not surprising to find that the kidney is a primary target organ for mineralocorticoids and that this organ has been shown to contain Mineralocorticoid Receptor.

Long Name

Mineralocorticoid Receptor

Alternate Names

MineralocorticoidR, MLR, NR3C2

Entrez Gene IDs

4306 (Human); 25672 (Rat)

Gene Symbol

NR3C2

UniProt

Additional Mineralocorticoid R/NR3C2 Products

Product Documents for Mineralocorticoid R/NR3C2 Antibody (H10E4C9F) - BSA Free

Certificate of Analysis

To download a Certificate of Analysis, please enter a lot number in the search box below.

Product Specific Notices for Mineralocorticoid R/NR3C2 Antibody (H10E4C9F) - BSA Free

This product is for research use only and is not approved for use in humans or in clinical diagnosis. Primary Antibodies are guaranteed for 1 year from date of receipt.

Loading...
Loading...
Loading...
Loading...
Loading...