Skip to main content

Methylmalonyl Coenzyme A mutase Antibody (S05-3G4)

Novus Biologicals, part of Bio-Techne | Catalog # NBP3-19689

Recombinant Monoclonal Antibody
Novus Biologicals, part of Bio-Techne
Catalog #
Availability
Size / Price
Qty
Loading...
NBP3-19689-100ul
NBP3-19689-50ul

Key Product Details

Species Reactivity

Human, Mouse, Rat

Applications

Immunohistochemistry, Immunohistochemistry-Paraffin, Western Blot

Label

Unconjugated

Antibody Source

Recombinant Monoclonal Rabbit IgG Clone # S05-3G4 expressed in HEK293

Concentration

0.3 mg/ml

Product Specifications

Immunogen

A synthetic peptide of human Methylmalonyl Coenzyme A mutase (Uniprot # P22033)

Clonality

Monoclonal

Host

Rabbit

Isotype

IgG

Theoretical MW

83 kDa.
Disclaimer note: The observed molecular weight of the protein may vary from the listed predicted molecular weight due to post translational modifications, post translation cleavages, relative charges, and other experimental factors.

Description

Novus Biologicals Rabbit Methylmalonyl Coenzyme A mutase Antibody (S05-3G4) (NBP3-19689) is a recombinant monoclonal antibody validated for use in IHC and WB. All Novus Biologicals antibodies are covered by our 100% guarantee.

Scientific Data Images for Methylmalonyl Coenzyme A mutase Antibody (S05-3G4)

Western Blot: Methylmalonyl Coenzyme A mutase Antibody (S05-3G4) [NBP3-19689]

Western Blot: Methylmalonyl Coenzyme A mutase Antibody (S05-3G4) [NBP3-19689]

Western Blot: Methylmalonyl Coenzyme A mutase Antibody (S05-3G4) [NBP3-19689] - Western blot detection of Methylmalonyl Coenzyme A mutase in Hela, Rat Brain lysates using NBP3-19689 (1:500 diluted). Predicted band size: 83kDa. Observed band size: 83kDa.
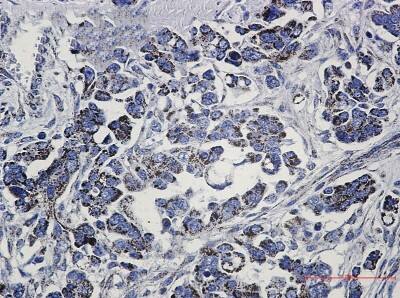
Immunohistochemistry-Paraffin: Methylmalonyl Coenzyme A mutase Antibody (S05-3G4) [NBP3-19689]

Immunohistochemistry-Paraffin: Methylmalonyl Coenzyme A mutase Antibody (S05-3G4) [NBP3-19689]

Immunohistochemistry-Paraffin: Methylmalonyl Coenzyme A mutase Antibody (S05-3G4) [NBP3-19689] - Immunohistochemistry of Methylmalonyl Coenzyme A mutase in paraffin-embedded Human Cholangiocarcinoma using NBP3-19689 at dilution 1/50

Applications for Methylmalonyl Coenzyme A mutase Antibody (S05-3G4)

Application
Recommended Usage

Immunohistochemistry

1/20

Western Blot

1/1000

Formulation, Preparation, and Storage

Purification

Affinity purified

Formulation

50mM Tris-Glycine(pH 7.4), 0.15M NaCl, 40% Glycerol, 0.05% BSA

Preservative

0.01% Sodium Azide

Concentration

0.3 mg/ml

Shipping

The product is shipped with polar packs. Upon receipt, store it immediately at the temperature recommended below.

Stability & Storage

Store at 4C short term. Aliquot and store at -20C long term. Avoid freeze-thaw cycles.

Background: Methylmalonyl Coenzyme A mutase

Methylmalonyl Coenzyme A mutase encodes the mitochondrial enzyme methylmalonyl Coenzyme A mutase. In humans, the product of this gene is a vitamin B12-dependent enzyme which catalyzes the isomerization of methylmalonyl-CoA to succinyl-CoA, while in other species this enzyme may have different functions. Mutations in this gene may lead to various types of methylmalonic aciduria. [provided by RefSeq]

Alternate Names

EC 5.4.99.2, MCMmethylmalonyl Coenzyme A mutase, methylmalonyl CoA mutase, Methylmalonyl-CoA isomerase, methylmalonyl-CoA mutase, mitochondrial

Gene Symbol

MMUT

Additional Methylmalonyl Coenzyme A mutase Products

Product Documents for Methylmalonyl Coenzyme A mutase Antibody (S05-3G4)

Certificate of Analysis

To download a Certificate of Analysis, please enter a lot number in the search box below.

Product Specific Notices for Methylmalonyl Coenzyme A mutase Antibody (S05-3G4)

This product is for research use only and is not approved for use in humans or in clinical diagnosis. Primary Antibodies are guaranteed for 1 year from date of receipt.

Loading...
Loading...
Loading...
Loading...